Suppr超能文献

肾脏去神经对室性早搏诱发心肌病的有益作用。

Beneficial Effect of Renal Denervation on Ventricular Premature Complex Induced Cardiomyopathy.

机构信息

Division of Cardiology, Department of Medicine, Taipei Veterans General Hospital, Taipei City, Taiwan, R.O.C.

Department of Cardiovascular Medicine, Fukushima Medical University, Fukushima, Japan.

出版信息

J Am Heart Assoc. 2017 Mar 2;6(3):e004479. doi: 10.1161/JAHA.116.004479.

Abstract

BACKGROUND

Frequent ventricular premature complexes (VPCs) can lead to the development of dilated cardiomyopathy and sudden cardiac death. Renal artery sympathetic denervation (RDN) may protect the heart from remodeling. This study aimed to investigate the effect of frequent VPCs on structural and electrical properties and whether RDN can protect the heart from remodeling.

METHODS AND RESULTS

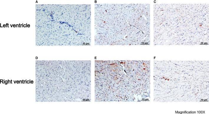
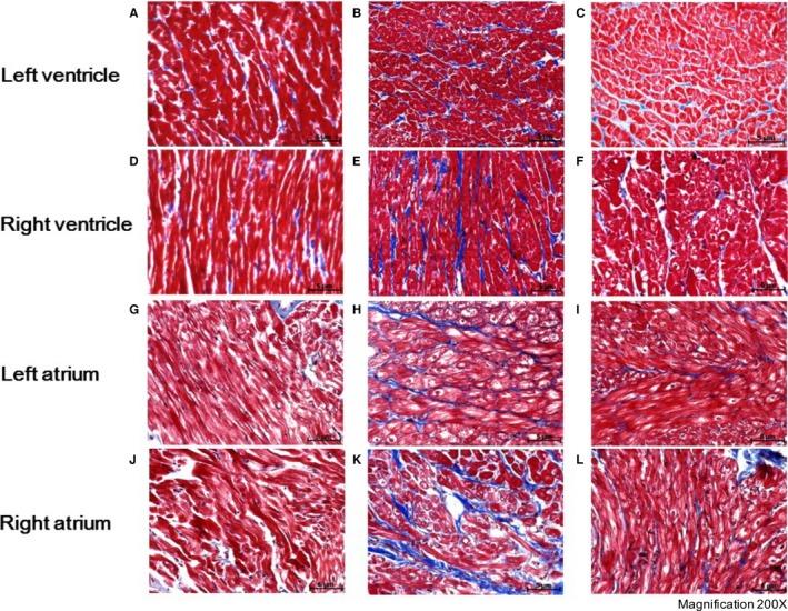
Eighteen rabbits were randomized to control (n=6), VPC (n=6), and VPC-RDN (n=6) groups. Surgical and chemical RDNs were approached through bilateral retroperitoneal flank incisions in the VPC-RDN group. Pacemakers were implanted to the left ventricular apex to produce 50% VPC burden for 5 weeks in the VPC and VPC-RDN groups. In addition, ventricular myocardium was harvested for western blot and trichrome stain. Echocardiographic results showed left ventricular enlargement after 5-week pacing in the VPC group, but not in the VPC-RDN group, when compared to baseline. In biventricles, ion channel protein expressions of Nav1.5, Cav1.2, Kir2.1, and SERCA2 were similar among 3 groups. However, the degree of biventricular fibrosis was extensive in the VPC group, compared to the control and VPC-RDN groups. Importantly, ventricular fibrillation inducibility was higher in the VPC group (41%) when comparing to the control (13%; <0.05) and VPC-RDN groups (13%; <0.05), respectively.

CONCLUSIONS

Frequent VPCs are associated with the development of cardiac structural remodeling and high ventricular fibrillation inducibility. RDN prevents cardiac remodeling and the occurrence of ventricular arrhythmia through antifibrosis.

摘要

背景

频发室性早搏(VPC)可导致扩张型心肌病和心脏性猝死的发生。肾动脉去交感神经支配(RDN)可能对心脏重构起到保护作用。本研究旨在探讨频发 VPC 对心脏结构和电生理的影响,以及 RDN 是否可以保护心脏免受重构。

方法和结果

18 只兔子随机分为对照组(n=6)、VPC 组(n=6)和 VPC-RDN 组(n=6)。VPC-RDN 组通过双侧腹膜后侧腹切口进行手术和化学 RDN。起搏器被植入左心室心尖部,在 VPC 和 VPC-RDN 组中产生 50%的 VPC 负荷 5 周。此外,还采集心室心肌进行 Western blot 和三色染色。超声心动图结果显示,与基线相比,VPC 组在 5 周起搏后左心室扩大,但 VPC-RDN 组没有。在双心室中,Nav1.5、Cav1.2、Kir2.1 和 SERCA2 离子通道蛋白的表达在 3 组之间相似。然而,与对照组和 VPC-RDN 组相比,VPC 组的双心室纤维化程度更广泛。重要的是,与对照组(13%;<0.05)和 VPC-RDN 组(13%;<0.05)相比,VPC 组的心室颤动诱发性更高(41%)。

结论

频发 VPC 与心脏结构重构和高心室颤动诱发性有关。RDN 通过抗纤维化预防心脏重构和室性心律失常的发生。

https://cdn.ncbi.nlm.nih.gov/pmc/blobs/c265/5523999/ac6beaa658d1/JAH3-6-e004479-g001.jpg

文献检索

告别复杂PubMed语法,用中文像聊天一样搜索,搜遍4000万医学文献。AI智能推荐,让科研检索更轻松。

立即免费搜索

文件翻译

保留排版,准确专业,支持PDF/Word/PPT等文件格式,支持 12+语言互译。

免费翻译文档

深度研究

AI帮你快速写综述,25分钟生成高质量综述,智能提取关键信息,辅助科研写作。

立即免费体验