Suppr超能文献

使用聚乙烯醇颗粒进行超选择性经导管栓塞治疗高流量阴茎异常勃起。

High-flow priapism treated with superselective transcatheter embolization using polyvinyl alcohol particles.

作者信息

Sánchez-López Sebastián, González-Gómez Silvia, Di Lizio-Miele Katyna, González-Gómez Joaquín

机构信息

Universidad De Antioquia, Medellin, Colombia.

Fundación Oftalmológica de Santander-FOSCAL, Floridablanca, Colombia.

出版信息

SAGE Open Med Case Rep. 2017 Feb 1;5:2050313X17693179. doi: 10.1177/2050313X17693179. eCollection 2017.

Abstract

OBJECTIVES

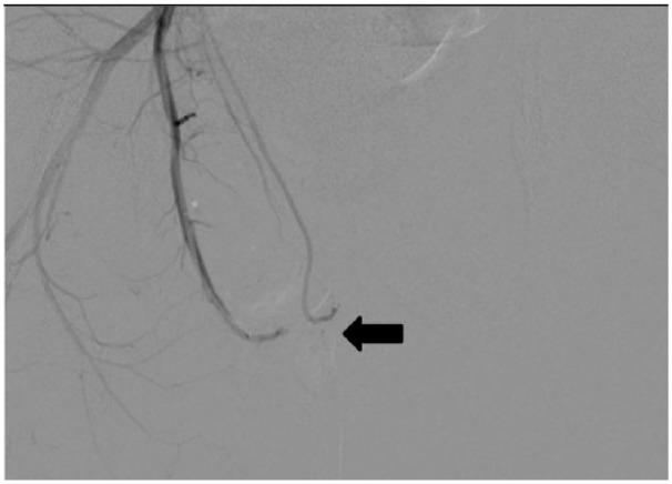
Priapism is a persistent erection of the penis not associated with sexual stimulation. High-flow priapism is caused by unregulated arterial inflow, usually preceded by perineal or penile blunt trauma and formation of an arterial-lacunar fistula. We present a case of high-flow priapism in a 13-year-old patient managed with polyvinyl alcohol particles.

METHODS

After obtaining informed consent of the parents of the minor, diagnosis was made with penile Color Doppler Ultrasound and confirmed with flush angiography. Selective arterial embolization was performed with the use of polyvinyl alcohol particles.

RESULTS

Complete detumescence was achieved without compromising the patient's erectile function.

CONCLUSIONS

The use of permanent occlusive agents like polyvinyl alcohol particles for embolization shows good occlusion rates compared to temporary agents. More studies are needed to find the safer and better agent for the treatment of high flow priapism without compromising erectile function.

摘要

目的

阴茎异常勃起是指阴茎在无性欲刺激情况下的持续性勃起。高流量性阴茎异常勃起是由不受控制的动脉血流引起的,通常在会阴部或阴茎钝性外伤以及动脉-海绵体瘘形成之后出现。我们报告一例13岁高流量性阴茎异常勃起患者,采用聚乙烯醇颗粒进行治疗。

方法

在获得未成年人父母的知情同意后,通过阴茎彩色多普勒超声进行诊断,并通过灌注血管造影术予以证实。使用聚乙烯醇颗粒进行选择性动脉栓塞。

结果

实现了完全消肿,且未损害患者的勃起功能。

结论

与临时性栓塞剂相比,使用聚乙烯醇颗粒等永久性闭塞剂进行栓塞显示出良好的闭塞率。需要开展更多研究,以找到在不损害勃起功能的情况下治疗高流量性阴茎异常勃起更安全、更好的药物。

https://cdn.ncbi.nlm.nih.gov/pmc/blobs/8d01/5315364/f1f9282efeb4/10.1177_2050313X17693179-fig1.jpg

文献检索

告别复杂PubMed语法,用中文像聊天一样搜索,搜遍4000万医学文献。AI智能推荐,让科研检索更轻松。

立即免费搜索

文件翻译

保留排版,准确专业,支持PDF/Word/PPT等文件格式,支持 12+语言互译。

免费翻译文档

深度研究

AI帮你快速写综述,25分钟生成高质量综述,智能提取关键信息,辅助科研写作。

立即免费体验