• 文献检索
  • 文档翻译
  • 深度研究
  • 学术资讯
  • Suppr Zotero 插件Zotero 插件
  • 邀请有礼
  • 套餐&价格
  • 历史记录
应用&插件
Suppr Zotero 插件Zotero 插件浏览器插件Mac 客户端Windows 客户端微信小程序
定价
高级版会员购买积分包购买API积分包
服务
文献检索文档翻译深度研究API 文档MCP 服务
关于我们
关于 Suppr公司介绍联系我们用户协议隐私条款
关注我们

Suppr 超能文献

核心技术专利:CN118964589B侵权必究
粤ICP备2023148730 号-1Suppr @ 2026

文献检索

告别复杂PubMed语法,用中文像聊天一样搜索,搜遍4000万医学文献。AI智能推荐,让科研检索更轻松。

立即免费搜索

文件翻译

保留排版,准确专业,支持PDF/Word/PPT等文件格式,支持 12+语言互译。

免费翻译文档

深度研究

AI帮你快速写综述,25分钟生成高质量综述,智能提取关键信息,辅助科研写作。

立即免费体验

黄芩根提取物中富含的汉黄芩素通过抑制人 OA 软骨细胞中 IL-1β诱导的 AP-1 激活发挥软骨保护作用。

A wogonin-rich-fraction of Scutellaria baicalensis root extract exerts chondroprotective effects by suppressing IL-1β-induced activation of AP-1 in human OA chondrocytes.

机构信息

Department of Anatomy &Neurobiology, Northeast Ohio Medical University, 4209 St Rt 44, Rootstown, OH 44272, USA.

出版信息

Sci Rep. 2017 Mar 3;7:43789. doi: 10.1038/srep43789.

DOI:10.1038/srep43789
PMID:28256567
原文链接:https://pmc.ncbi.nlm.nih.gov/articles/PMC5335554/
Abstract

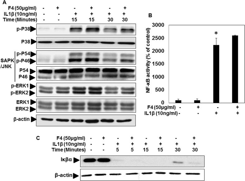
Osteoarthritis (OA) is a common joint disorder with varying degrees of inflammation and sustained oxidative stress. The root extract of Scutellaria baicalensis (SBE) has been used for the treatment of inflammatory and other diseases. Here, we performed activity-guided HPLC-fractionation of SBE, identified the active ingredient(s) and investigated its chondroprotective potential. We found that the Wogonin containing fraction-4 (F4) was the most potent fraction based on its ability to inhibit ROS production and the suppression of catabolic markers including IL-6, COX-2, iNOS, MMP-3, MMP-9, MMP-13 and ADAMTS-4 in IL-1β-treated OA chondrocytes. OA chondrocytes treated with F4 in the presence of IL-1β showed significantly enhanced expression of anabolic genes ACAN and COL2A1. In an in vitro model of cartilage degradation treatment with F4 inhibited s-GAG release from IL-1β-treated human cartilage explants. The inhibitory effect of F4 was not mediated through the inhibition of MAPKs and NF-κB activation but was mediated through the suppression of c-Fos/AP-1 activity at transcriptional and post transcriptional levels in OA chondrocytes. Purified Wogonin mimicked the effects of F4 in IL-1β-stimulated OA chondrocytes. Our data demonstrates that a Wogonin-rich fraction of SBE exert chondroprotective effects through the suppression of c-Fos/AP-1 expression and activity in OA chondrocytes under pathological conditions.

摘要

骨关节炎(OA)是一种常见的关节疾病,具有不同程度的炎症和持续的氧化应激。黄芩的根提取物(SBE)已被用于治疗炎症和其他疾病。在这里,我们对 SBE 进行了基于活性的 HPLC 分级,鉴定了活性成分,并研究了其软骨保护潜力。我们发现,含有黄岑素的 4 号馏分(F4)是最有效的馏分,因为它能够抑制 ROS 产生,并抑制包括 IL-6、COX-2、iNOS、MMP-3、MMP-9、MMP-13 和 ADAMTS-4 在内的分解代谢标志物的表达,这些标志物在 IL-1β 处理的 OA 软骨细胞中表达。在存在 IL-1β 的情况下,用 F4 处理的 OA 软骨细胞显示出显著增强的合成代谢基因 ACAN 和 COL2A1 的表达。在体外软骨降解模型中,F4 抑制了 IL-1β 处理的人软骨外植体中 s-GAG 的释放。F4 的抑制作用不是通过抑制 MAPKs 和 NF-κB 激活来介导的,而是通过在 OA 软骨细胞中在转录和转录后水平上抑制 c-Fos/AP-1 活性来介导的。纯化的黄岑素模拟了 F4 在 IL-1β 刺激的 OA 软骨细胞中的作用。我们的数据表明,SBE 中的黄岑素丰富馏分通过抑制病理条件下 OA 软骨细胞中的 c-Fos/AP-1 表达和活性来发挥软骨保护作用。

https://cdn.ncbi.nlm.nih.gov/pmc/blobs/5319/5335554/4d0da772be0a/srep43789-f8.jpg
https://cdn.ncbi.nlm.nih.gov/pmc/blobs/5319/5335554/f92fa8890e57/srep43789-f1.jpg
https://cdn.ncbi.nlm.nih.gov/pmc/blobs/5319/5335554/927879c048af/srep43789-f2.jpg
https://cdn.ncbi.nlm.nih.gov/pmc/blobs/5319/5335554/a4158658cc7f/srep43789-f3.jpg
https://cdn.ncbi.nlm.nih.gov/pmc/blobs/5319/5335554/93e343db025e/srep43789-f4.jpg
https://cdn.ncbi.nlm.nih.gov/pmc/blobs/5319/5335554/99d61ae154b5/srep43789-f5.jpg
https://cdn.ncbi.nlm.nih.gov/pmc/blobs/5319/5335554/5c9d7d59d696/srep43789-f6.jpg
https://cdn.ncbi.nlm.nih.gov/pmc/blobs/5319/5335554/497ee96757f3/srep43789-f7.jpg
https://cdn.ncbi.nlm.nih.gov/pmc/blobs/5319/5335554/4d0da772be0a/srep43789-f8.jpg
https://cdn.ncbi.nlm.nih.gov/pmc/blobs/5319/5335554/f92fa8890e57/srep43789-f1.jpg
https://cdn.ncbi.nlm.nih.gov/pmc/blobs/5319/5335554/927879c048af/srep43789-f2.jpg
https://cdn.ncbi.nlm.nih.gov/pmc/blobs/5319/5335554/a4158658cc7f/srep43789-f3.jpg
https://cdn.ncbi.nlm.nih.gov/pmc/blobs/5319/5335554/93e343db025e/srep43789-f4.jpg
https://cdn.ncbi.nlm.nih.gov/pmc/blobs/5319/5335554/99d61ae154b5/srep43789-f5.jpg
https://cdn.ncbi.nlm.nih.gov/pmc/blobs/5319/5335554/5c9d7d59d696/srep43789-f6.jpg
https://cdn.ncbi.nlm.nih.gov/pmc/blobs/5319/5335554/497ee96757f3/srep43789-f7.jpg
https://cdn.ncbi.nlm.nih.gov/pmc/blobs/5319/5335554/4d0da772be0a/srep43789-f8.jpg

相似文献

1
A wogonin-rich-fraction of Scutellaria baicalensis root extract exerts chondroprotective effects by suppressing IL-1β-induced activation of AP-1 in human OA chondrocytes.黄芩根提取物中富含的汉黄芩素通过抑制人 OA 软骨细胞中 IL-1β诱导的 AP-1 激活发挥软骨保护作用。
Sci Rep. 2017 Mar 3;7:43789. doi: 10.1038/srep43789.
2
Wogonin, a plant derived small molecule, exerts potent anti-inflammatory and chondroprotective effects through the activation of ROS/ERK/Nrf2 signaling pathways in human Osteoarthritis chondrocytes.汉黄芩素,一种源自植物的小分子,通过激活人骨关节炎软骨细胞中的ROS/ERK/Nrf2信号通路发挥强大的抗炎和软骨保护作用。
Free Radic Biol Med. 2017 May;106:288-301. doi: 10.1016/j.freeradbiomed.2017.02.041. Epub 2017 Feb 22.
3
Harpagoside suppresses IL-6 expression in primary human osteoarthritis chondrocytes.哈帕苷抑制原代人骨关节炎软骨细胞中白细胞介素-6的表达。
J Orthop Res. 2017 Feb;35(2):311-320. doi: 10.1002/jor.23262. Epub 2016 May 4.
4
Effect of a Herbal-Leucine mix on the IL-1β-induced cartilage degradation and inflammatory gene expression in human chondrocytes.草本亮氨酸混合物对人软骨细胞中 IL-1β 诱导的软骨降解和炎症基因表达的影响。
BMC Complement Altern Med. 2011 Aug 19;11:66. doi: 10.1186/1472-6882-11-66.
5
Chondroprotective effects of aqueous extract of Anthriscus sylvestris leaves on osteoarthritis in vitro and in vivo through MAPKs and NF-κB signaling inhibition.通过抑制 MAPKs 和 NF-κB 信号通路,西洋野芫荽叶水提物对体外和体内骨关节炎的软骨保护作用。
Biomed Pharmacother. 2018 Jul;103:1202-1211. doi: 10.1016/j.biopha.2018.04.183. Epub 2018 May 7.
6
A standardized extract of Butea monosperma (Lam.) flowers suppresses the IL-1β-induced expression of IL-6 and matrix-metalloproteases by activating autophagy in human osteoarthritis chondrocytes.一种标准化的黄杞花提取物通过激活人骨关节炎软骨细胞中的自噬来抑制 IL-1β 诱导的 IL-6 和基质金属蛋白酶的表达。
Biomed Pharmacother. 2017 Dec;96:198-207. doi: 10.1016/j.biopha.2017.09.140. Epub 2017 Oct 6.
7
Wogonin, a natural flavonoid, intercalates with genomic DNA and exhibits protective effects in IL-1β stimulated osteoarthritis chondrocytes.汉黄芩素是一种天然黄酮类化合物,可嵌入基因组DNA,并在白细胞介素-1β刺激的骨关节炎软骨细胞中发挥保护作用。
Chem Biol Interact. 2017 Aug 25;274:13-23. doi: 10.1016/j.cbi.2017.06.025. Epub 2017 Jul 5.
8
A Polyphenol-rich Pomegranate Fruit Extract Suppresses NF-κB and IL-6 Expression by Blocking the Activation of IKKβ and NIK in Primary Human Chondrocytes.富含多酚的石榴果实提取物通过阻断原代人软骨细胞中IKKβ和NIK的激活来抑制NF-κB和IL-6的表达。
Phytother Res. 2017 May;31(5):778-782. doi: 10.1002/ptr.5799. Epub 2017 Mar 9.
9
Mori folium inhibits interleukin-1β-induced expression of matrix metalloproteinases and inflammatory mediators by suppressing the activation of NF-κB and p38 MAPK in SW1353 human chondrocytes.桑白皮通过抑制 NF-κB 和 p38 MAPK 的激活抑制白细胞介素-1β诱导的 SW1353 人软骨细胞基质金属蛋白酶和炎症介质的表达。
Int J Mol Med. 2016 Feb;37(2):452-60. doi: 10.3892/ijmm.2015.2443. Epub 2015 Dec 23.
10
Butein Activates Autophagy Through AMPK/TSC2/ULK1/mTOR Pathway to Inhibit IL-6 Expression in IL-1β Stimulated Human Chondrocytes.白杨素通过AMPK/TSC2/ULK1/mTOR途径激活自噬以抑制白细胞介素-1β刺激的人软骨细胞中白细胞介素-6的表达。
Cell Physiol Biochem. 2018;49(3):932-946. doi: 10.1159/000493225. Epub 2018 Sep 5.

引用本文的文献

1
Programmable DNA-based biomaterials for bone tissue engineering.用于骨组织工程的可编程DNA基生物材料。
Fundam Res. 2025 Jan 2;5(4):1384-1400. doi: 10.1016/j.fmre.2024.12.015. eCollection 2025 Jul.
2
Nutritional Epigenomics: Bioactive Dietary Compounds in the Epigenetic Regulation of Osteoarthritis.营养表观基因组学:生物活性膳食化合物在骨关节炎表观遗传调控中的作用
Pharmaceuticals (Basel). 2024 Aug 30;17(9):1148. doi: 10.3390/ph17091148.
3
The Effect of the Extraction Conditions on the Antioxidant Activity and Bioactive Compounds Content in Ethanolic Extracts of Root.

本文引用的文献

1
Harpagoside suppresses IL-6 expression in primary human osteoarthritis chondrocytes.哈帕苷抑制原代人骨关节炎软骨细胞中白细胞介素-6的表达。
J Orthop Res. 2017 Feb;35(2):311-320. doi: 10.1002/jor.23262. Epub 2016 May 4.
2
ROS/oxidative stress signaling in osteoarthritis.骨关节炎中的ROS/氧化应激信号传导
Biochim Biophys Acta. 2016 Apr;1862(4):576-591. doi: 10.1016/j.bbadis.2016.01.003. Epub 2016 Jan 6.
3
Chondroprotective Effects of Wogonin in Experimental Models of Osteoarthritis in vitro and in vivo.汉黄芩素在骨关节炎体内外实验模型中的软骨保护作用
提取条件对根的醇提物抗氧化活性和生物活性化合物含量的影响。
Molecules. 2024 Sep 1;29(17):4153. doi: 10.3390/molecules29174153.
4
Efficacy of Tounongsan decoction on pyogenic liver abscess: network pharmacology and clinical trial validation.通脑三方汤治疗化脓性肝脓肿的疗效:网络药理学和临床试验验证。
J Tradit Chin Med. 2024 Feb;44(1):145-155. doi: 10.19852/j.cnki.jtcm.20231110.006.
5
pH-sensing G protein-coupled orphan receptor is expressed in human cartilage and correlates with degradation of extracellular matrix during OA progression.pH 敏感 G 蛋白偶联孤儿受体在人软骨中表达,并与 OA 进展过程中细胞外基质的降解相关。
PeerJ. 2023 Dec 5;11:e16553. doi: 10.7717/peerj.16553. eCollection 2023.
6
Biotechnological strategies for controlled accumulation of flavones in hairy root culture of Scutellaria lateriflora L.黄芩发根培养中黄酮类化合物可控积累的生物技术策略
Sci Rep. 2023 Nov 21;13(1):20422. doi: 10.1038/s41598-023-47757-7.
7
Polyphenols Targeting MAPK Mediated Oxidative Stress and Inflammation in Rheumatoid Arthritis.多酚通过 MAPK 靶向治疗类风湿性关节炎中的氧化应激和炎症。
Molecules. 2021 Oct 30;26(21):6570. doi: 10.3390/molecules26216570.
8
The Therapeutic Potential of Wogonin Observed in Preclinical Studies.前临床研究中观察到的汉黄芩素的治疗潜力。
Evid Based Complement Alternat Med. 2021 Jun 15;2021:9935451. doi: 10.1155/2021/9935451. eCollection 2021.
9
Cardamonin Attenuates Inflammation and Oxidative Stress in Interleukin-1β-Stimulated Osteoarthritis Chondrocyte through the Nrf2 Pathway.小豆蔻明通过Nrf2途径减轻白细胞介素-1β刺激的骨关节炎软骨细胞中的炎症和氧化应激。
Antioxidants (Basel). 2021 May 27;10(6):862. doi: 10.3390/antiox10060862.
10
Role of Physical Exercise and Nutraceuticals in Modulating Molecular Pathways of Osteoarthritis.体育锻炼和营养保健品在调节骨关节炎分子途径中的作用。
Int J Mol Sci. 2021 May 27;22(11):5722. doi: 10.3390/ijms22115722.
Biomol Ther (Seoul). 2015 Sep;23(5):442-8. doi: 10.4062/biomolther.2015.045. Epub 2015 Sep 1.
4
Baicalein Inhibits MMPs Expression via a MAPK-Dependent Mechanism in Chondrocytes.黄芩素通过丝裂原活化蛋白激酶(MAPK)依赖机制抑制软骨细胞中基质金属蛋白酶(MMPs)的表达。
Cell Physiol Biochem. 2015;36(1):325-33. doi: 10.1159/000374075. Epub 2015 May 5.
5
Emerging targets in osteoarthritis therapy.骨关节炎治疗中的新兴靶点。
Curr Opin Pharmacol. 2015 Jun;22:51-63. doi: 10.1016/j.coph.2015.03.004. Epub 2015 Apr 10.
6
Biologic basis of osteoarthritis: state of the evidence.骨关节炎的生物学基础:证据状况
Curr Opin Rheumatol. 2015 May;27(3):289-94. doi: 10.1097/BOR.0000000000000162.
7
Chondroprotective potential of Phyllanthus amarus Schum. & Thonn. in experimentally induced cartilage degradation in the explants culture model.余甘子(Phyllanthus amarus Schum. & Thonn.)在体外培养模型中对实验性诱导的软骨降解的软骨保护潜力。
In Vitro Cell Dev Biol Anim. 2015 Apr;51(4):336-44. doi: 10.1007/s11626-014-9846-y. Epub 2014 Dec 17.
8
Baicalein ameliorates inflammatory-related apoptotic and catabolic phenotypes in human chondrocytes.黄芩苷改善人软骨细胞中与炎症相关的凋亡和分解代谢表型。
Int Immunopharmacol. 2014 Aug;21(2):301-8. doi: 10.1016/j.intimp.2014.05.006. Epub 2014 May 22.
9
A combination of Scutellaria baicalensis and Acacia catechu extracts for short-term symptomatic relief of joint discomfort associated with osteoarthritis of the knee.黄芩和阿拉伯胶提取物的组合,可短期缓解与膝骨关节炎相关的关节不适症状。
J Med Food. 2014 Jun;17(6):707-13. doi: 10.1089/jmf.2013.0010. Epub 2014 Mar 10.
10
Ginkgo biloba extract individually inhibits JNK activation and induces c-Jun degradation in human chondrocytes: potential therapeutics for osteoarthritis.银杏叶提取物单独抑制人软骨细胞中JNK的激活并诱导c-Jun降解:骨关节炎的潜在治疗方法。
PLoS One. 2013 Dec 11;8(12):e82033. doi: 10.1371/journal.pone.0082033. eCollection 2013.