Sandhu Arjun Singh, Kumar Ameet, Kumar Bharath N
Department of Urology, Army Hospital Research and Referral, New Delhi, India.
Department of Surgery, Command Hospital Air Force, Bangalore, Karnataka, India.
J Minim Access Surg. 2017 Apr-Jun;13(2):139-142. doi: 10.4103/0972-9941.195579.
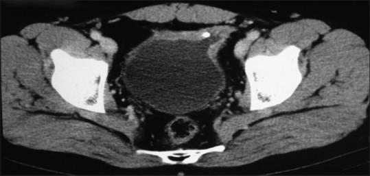
Along with advantages, evolving surgical techniques bring unique complications. A young male developed urinary symptoms a few months after undergoing laparoscopic inguinal hernia repair. On evaluation, mesh erosion into the urinary bladder was found. Removal of mesh with repair of bladder was done. A vesico-cutaneous fistula resulted which was managed with repeat surgery. We review all such cases reported in literature; discuss the etiopathogenesis, presentation, management and possible preventive measures. To the best of our knowledge, this is only the 12th case being reported.
随着手术技术的不断发展,在带来优势的同时也带来了独特的并发症。一名年轻男性在接受腹腔镜腹股沟疝修补术后几个月出现了泌尿系统症状。经评估,发现补片侵蚀进入膀胱。遂进行了补片取出及膀胱修补手术。但随后出现了膀胱皮肤瘘,通过再次手术进行了处理。我们回顾了文献中报道的所有此类病例;讨论了其病因、临床表现、治疗方法及可能的预防措施。据我们所知,这是第12例报告病例。