• 文献检索
  • 文档翻译
  • 深度研究
  • 学术资讯
  • Suppr Zotero 插件Zotero 插件
  • 邀请有礼
  • 套餐&价格
  • 历史记录
应用&插件
Suppr Zotero 插件Zotero 插件浏览器插件Mac 客户端Windows 客户端微信小程序
定价
高级版会员购买积分包购买API积分包
服务
文献检索文档翻译深度研究API 文档MCP 服务
关于我们
关于 Suppr公司介绍联系我们用户协议隐私条款
关注我们

Suppr 超能文献

核心技术专利:CN118964589B侵权必究
粤ICP备2023148730 号-1Suppr @ 2026

文献检索

告别复杂PubMed语法,用中文像聊天一样搜索,搜遍4000万医学文献。AI智能推荐,让科研检索更轻松。

立即免费搜索

文件翻译

保留排版,准确专业,支持PDF/Word/PPT等文件格式,支持 12+语言互译。

免费翻译文档

深度研究

AI帮你快速写综述,25分钟生成高质量综述,智能提取关键信息,辅助科研写作。

立即免费体验

鲤鱼视网膜中用于对其膜蛋白进行蛋白质组学分析的视锥细胞外段的纯化。

Purification of cone outer segment for proteomic analysis on its membrane proteins in carp retina.

作者信息

Fukagawa Takashi, Takafuji Kazuaki, Tachibanaki Shuji, Kawamura Satoru

机构信息

Graduate School of Frontier Biosciences, Osaka University, Suita, Osaka, Japan.

Center of Medical Innovation and Translational Research, Graduate School of Medicine, Osaka University, Suita, Osaka, Japan.

出版信息

PLoS One. 2017 Mar 14;12(3):e0173908. doi: 10.1371/journal.pone.0173908. eCollection 2017.

DOI:10.1371/journal.pone.0173908
PMID:28291804
原文链接:https://pmc.ncbi.nlm.nih.gov/articles/PMC5349680/
Abstract

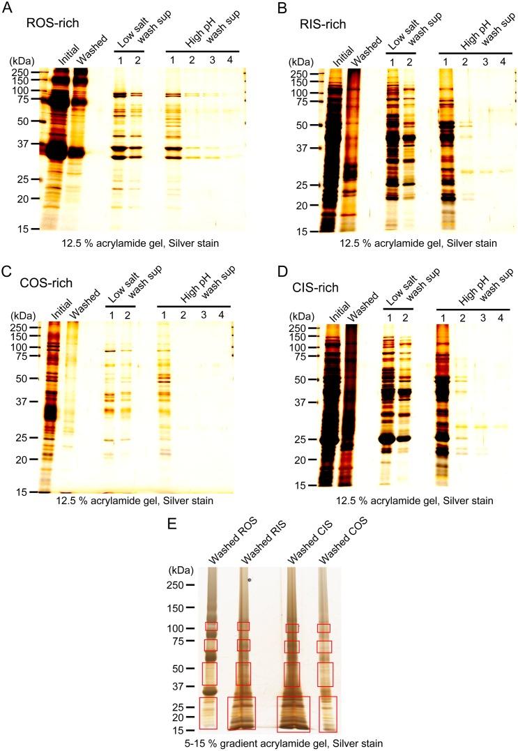
Rods and cones are both photoreceptors in the retina, but they are different in many aspects including the light response characteristics and, for example, cell morphology and metabolism. These differences would be caused by differences in proteins expressed in rods and cones. To understand the molecular bases of these differences between rods and cones, one of the ways is to compare proteins expressed in rods and cones, and to find those expressed specifically or dominantly. In the present study, we are interested in proteins in the outer segment (OS), the site responsible for generation of rod- or cone-characteristic light responses and also the site showing different morphology between rods and cones. For this, we established a method to purify the OS and the inner segment (IS) of rods and also of cones from purified carp rods and cones, respectively, using sucrose density gradient. In particular, we were interested in proteins tightly bound to the membranes of cone OS. To identify these proteins, we analyzed proteins in some selected regions of an SDS-gel of washed membranes of the OS and the IS obtained from both rods and cones, with Liquid Chromatography-tandem Mass Spectrometry (LC-MS/MS) using a protein database constructed from carp retina. By comparing the lists of the proteins found in the OS and the IS of both rods and cones, we found some proteins present in cone OS membranes specifically or dominantly, in addition to the proteins already known to be present specifically in cone OS.

摘要

视杆细胞和视锥细胞都是视网膜中的光感受器,但它们在许多方面存在差异,包括光反应特性,例如细胞形态和新陈代谢。这些差异是由视杆细胞和视锥细胞中表达的蛋白质差异所导致的。为了理解视杆细胞和视锥细胞之间这些差异的分子基础,一种方法是比较视杆细胞和视锥细胞中表达的蛋白质,并找出那些特异性或优势表达的蛋白质。在本研究中,我们关注的是外段(OS)中的蛋白质,外段是产生视杆细胞或视锥细胞特征性光反应的部位,也是视杆细胞和视锥细胞之间形态不同的部位。为此,我们建立了一种方法,分别从纯化的鲤鱼视杆细胞和视锥细胞中,利用蔗糖密度梯度纯化视杆细胞和视锥细胞的外段及内段(IS)。特别是,我们对紧密结合在视锥细胞外段膜上的蛋白质感兴趣。为了鉴定这些蛋白质,我们使用从鲤鱼视网膜构建的蛋白质数据库,通过液相色谱-串联质谱(LC-MS/MS)分析了从视杆细胞和视锥细胞获得的外段和内段洗涤膜的SDS凝胶中一些选定区域的蛋白质。通过比较视杆细胞和视锥细胞的外段和内段中发现的蛋白质列表,我们发现了一些特异性或优势存在于视锥细胞外段膜上的蛋白质,此外还有已知特异性存在于视锥细胞外段的蛋白质。

https://cdn.ncbi.nlm.nih.gov/pmc/blobs/8093/5349680/0cbc60c4f749/pone.0173908.g006.jpg
https://cdn.ncbi.nlm.nih.gov/pmc/blobs/8093/5349680/a1ced9f5af77/pone.0173908.g001.jpg
https://cdn.ncbi.nlm.nih.gov/pmc/blobs/8093/5349680/7c6f42a3ae65/pone.0173908.g002.jpg
https://cdn.ncbi.nlm.nih.gov/pmc/blobs/8093/5349680/5c79c8044be6/pone.0173908.g003.jpg
https://cdn.ncbi.nlm.nih.gov/pmc/blobs/8093/5349680/621226073c0d/pone.0173908.g004.jpg
https://cdn.ncbi.nlm.nih.gov/pmc/blobs/8093/5349680/a53d73ecf12d/pone.0173908.g005.jpg
https://cdn.ncbi.nlm.nih.gov/pmc/blobs/8093/5349680/0cbc60c4f749/pone.0173908.g006.jpg
https://cdn.ncbi.nlm.nih.gov/pmc/blobs/8093/5349680/a1ced9f5af77/pone.0173908.g001.jpg
https://cdn.ncbi.nlm.nih.gov/pmc/blobs/8093/5349680/7c6f42a3ae65/pone.0173908.g002.jpg
https://cdn.ncbi.nlm.nih.gov/pmc/blobs/8093/5349680/5c79c8044be6/pone.0173908.g003.jpg
https://cdn.ncbi.nlm.nih.gov/pmc/blobs/8093/5349680/621226073c0d/pone.0173908.g004.jpg
https://cdn.ncbi.nlm.nih.gov/pmc/blobs/8093/5349680/a53d73ecf12d/pone.0173908.g005.jpg
https://cdn.ncbi.nlm.nih.gov/pmc/blobs/8093/5349680/0cbc60c4f749/pone.0173908.g006.jpg

相似文献

1
Purification of cone outer segment for proteomic analysis on its membrane proteins in carp retina.鲤鱼视网膜中用于对其膜蛋白进行蛋白质组学分析的视锥细胞外段的纯化。
PLoS One. 2017 Mar 14;12(3):e0173908. doi: 10.1371/journal.pone.0173908. eCollection 2017.
2
Effects of NDRG1 family proteins on photoreceptor outer segment morphology in zebrafish.NDRG1 家族蛋白对斑马鱼光感受器外节形态的影响。
Sci Rep. 2016 Nov 4;6:36590. doi: 10.1038/srep36590.
3
Phosphorylation-independent suppression of light-activated visual pigment by arrestin in carp rods and cones.在鲤鱼视杆和视锥细胞中,抑制蛋白对光激活视色素的非磷酸化依赖性抑制作用。
J Biol Chem. 2015 Apr 10;290(15):9399-411. doi: 10.1074/jbc.M114.634543. Epub 2015 Feb 20.
4
Loss of cone molecular markers in rhodopsin-mutant human retinas with retinitis pigmentosa.患有色素性视网膜炎的视紫红质突变型人类视网膜中视锥细胞分子标记物的丧失。
Mol Vis. 2000 Nov 3;6:204-15.
5
Identification of differentially expressed genes in carp rods and cones.鲤鱼视杆细胞和视锥细胞中差异表达基因的鉴定。
Mol Vis. 2008 Feb 26;14:358-69.
6
Difference in the gain in the phototransduction cascade between rods and cones in carp.鲤鱼视杆细胞和视锥细胞光转导级联反应增益的差异。
J Neurosci. 2014 Oct 29;34(44):14682-6. doi: 10.1523/JNEUROSCI.3389-14.2014.
7
Molecular bases of rod and cone differences.杆状细胞和锥状细胞差异的分子基础。
Prog Retin Eye Res. 2022 Sep;90:101040. doi: 10.1016/j.preteyeres.2021.101040. Epub 2021 Dec 31.
8
Highly efficient retinal metabolism in cones.视锥细胞中高效的视网膜代谢。
Proc Natl Acad Sci U S A. 2008 Oct 14;105(41):16051-6. doi: 10.1073/pnas.0806593105. Epub 2008 Oct 3.
9
Low amplification and fast visual pigment phosphorylation as mechanisms characterizing cone photoresponses.低放大率和快速视觉色素磷酸化作为视锥细胞光反应的特征机制。
Proc Natl Acad Sci U S A. 2001 Nov 20;98(24):14044-9. doi: 10.1073/pnas.241396898. Epub 2001 Nov 13.
10
Diurnal expression of proteins in the retina of the blind cone-rod homeobox (Crx ) mouse and the 129/Sv mouse: a proteomic study.盲性圆锥-杆状同源框(Crx)小鼠和129/Sv小鼠视网膜中蛋白质的昼夜表达:一项蛋白质组学研究。
Acta Ophthalmol. 2017 Nov;95(7):717-726. doi: 10.1111/aos.13429. Epub 2017 Mar 28.

引用本文的文献

1
Function of animal rhodopsins and related proteins: Report for the session 9.动物视紫红质及相关蛋白的功能:第9场会议报告
Biophys Physicobiol. 2023 Mar 2;20(Supplemental):e201018. doi: 10.2142/biophysico.bppb-v20.s018. eCollection 2023 Mar 21.
2
Structural Impact of Selected Retinoids on Model Photoreceptor Membranes.所选类视黄醇对模型光感受器膜的结构影响。
Membranes (Basel). 2023 Jun 1;13(6):575. doi: 10.3390/membranes13060575.
3
Phototransduction in retinal cones: Analysis of parameter importance.视网膜锥体中的光转导:参数重要性分析。

本文引用的文献

1
ES1 is a mitochondrial enlarging factor contributing to form mega-mitochondria in zebrafish cones.ES1是一种线粒体增大因子,有助于在斑马鱼视锥细胞中形成巨型线粒体。
Sci Rep. 2016 Mar 1;6:22360. doi: 10.1038/srep22360.
2
Dephosphorylation during bleach and regeneration of visual pigment in carp rod and cone membranes.鲤鱼视杆和视锥膜中视觉色素漂白和再生过程中的去磷酸化作用。
J Biol Chem. 2015 Oct 2;290(40):24381-90. doi: 10.1074/jbc.M115.674101. Epub 2015 Aug 18.
3
Genome sequence and genetic diversity of the common carp, Cyprinus carpio.
PLoS One. 2021 Oct 28;16(10):e0258721. doi: 10.1371/journal.pone.0258721. eCollection 2021.
基因组序列和遗传多样性的鲤鱼,鲤鱼。
Nat Genet. 2014 Nov;46(11):1212-9. doi: 10.1038/ng.3098. Epub 2014 Sep 21.
4
Endocytic trafficking of membrane-bound cargo: a flotillin point of view.膜结合货物的内吞运输:一个网蛋白观点。
Membranes (Basel). 2014 Jul 11;4(3):356-71. doi: 10.3390/membranes4030356.
5
Quantitative aspects of cGMP phosphodiesterase activation in carp rods and cones.鲤鱼视杆和视锥细胞中环鸟苷酸磷酸二酯酶激活的定量方面。
J Biol Chem. 2014 Jan 31;289(5):2651-7. doi: 10.1074/jbc.M113.495325. Epub 2013 Dec 16.
6
Low activation and fast inactivation of transducin in carp cones.鲤鱼锥体中视黄醛脱氢酶的低激活和快速失活。
J Biol Chem. 2012 Nov 30;287(49):41186-94. doi: 10.1074/jbc.M112.403717. Epub 2012 Oct 8.
7
Palmitoylated calnexin is a key component of the ribosome-translocon complex.棕榈酰化钙网蛋白是核糖体转位复合物的关键组成部分。
EMBO J. 2012 Apr 4;31(7):1823-35. doi: 10.1038/emboj.2012.15. Epub 2012 Feb 7.
8
Molecular structure and target recognition of neuronal calcium sensor proteins.神经元钙传感器蛋白的分子结构与靶点识别
Biochim Biophys Acta. 2012 Aug;1820(8):1205-13. doi: 10.1016/j.bbagen.2011.10.003. Epub 2011 Oct 13.
9
Human vitamin K 2,3-epoxide reductase complex subunit 1-like 1 (VKORC1L1) mediates vitamin K-dependent intracellular antioxidant function.人维生素 K 2,3-环氧化物还原酶复合体亚基 1 样 1(VKORC1L1)介导维生素 K 依赖性细胞内抗氧化功能。
J Biol Chem. 2011 Apr 29;286(17):15085-94. doi: 10.1074/jbc.M110.210971. Epub 2011 Mar 2.
10
RD3, the protein associated with Leber congenital amaurosis type 12, is required for guanylate cyclase trafficking in photoreceptor cells.RD3 蛋白与 12 型莱伯先天性黑蒙症相关,是光感受器细胞中鸟苷酸环化酶运输所必需的。
Proc Natl Acad Sci U S A. 2010 Dec 7;107(49):21158-63. doi: 10.1073/pnas.1010460107. Epub 2010 Nov 15.