• 文献检索
  • 文档翻译
  • 深度研究
  • 学术资讯
  • Suppr Zotero 插件Zotero 插件
  • 邀请有礼
  • 套餐&价格
  • 历史记录
应用&插件
Suppr Zotero 插件Zotero 插件浏览器插件Mac 客户端Windows 客户端微信小程序
定价
高级版会员购买积分包购买API积分包
服务
文献检索文档翻译深度研究API 文档MCP 服务
关于我们
关于 Suppr公司介绍联系我们用户协议隐私条款
关注我们

Suppr 超能文献

核心技术专利:CN118964589B侵权必究
粤ICP备2023148730 号-1Suppr @ 2026

文献检索

告别复杂PubMed语法,用中文像聊天一样搜索,搜遍4000万医学文献。AI智能推荐,让科研检索更轻松。

立即免费搜索

文件翻译

保留排版,准确专业,支持PDF/Word/PPT等文件格式,支持 12+语言互译。

免费翻译文档

深度研究

AI帮你快速写综述,25分钟生成高质量综述,智能提取关键信息,辅助科研写作。

立即免费体验

抗结核药物超敏反应综合征合并耐甲氧西林金黄色葡萄球菌感染的困难临床处理:一例报告

Difficult clinical management of antituberculosis DRESS syndrome complicated by MRSA infection: A case report.

作者信息

Wang Li, Li Lin-Feng

机构信息

Department of Dermatology, Allergy and Clinical Immunology Centre, Beijing Friendship Hospital, Capital Medical University, Beijing, China.

出版信息

Medicine (Baltimore). 2017 Mar;96(11):e6346. doi: 10.1097/MD.0000000000006346.

DOI:10.1097/MD.0000000000006346
PMID:28296768
原文链接:https://pmc.ncbi.nlm.nih.gov/articles/PMC5369923/
Abstract

RATIONALE

Drug reaction with eosinophilia and systemic symptoms (DRESS) syndrome is a severe drug-induced hypersensitivity reaction characterized by skin rash, fever, blood abnormalities, and multiple organ involvement. The diagnosis of DRESS syndrome is often delayed because of its variable presentation. Prompt withdrawal of the culprit drug is the definitive treatment. DRESS syndrome induced by antituberculosis drugs has rarely been reported.

PATIENT CONCERNS

A 50-year-old man admitted to our hospital with recurrent episodes of progressive rash, fever, eosinophilia, lymphadenopathy, hepatic, and pulmonary involvement were experienced after repeat trials of the same antituberculosis drugs.

DIAGNOSES

We diagnosed it as DRESS caused by antituberculosis drugs.

INTERVENTIONS

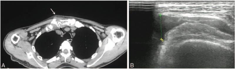
The case responded well to treatment with systemic corticosteroids and intravenous immunoglobulins. However, repeated bouts of infection with methicillin-resistant Staphylococcus aureus occurred during treatment (clavicular osteomyelitis and knee septic arthritis). He was cured after treatment with linezolid.

OUTCOMES

The patient was discharged on day 112. At 8-month follow-up, there was no relapse of drug eruption and joint swelling.

LESSONS

Early diagnosis and prompt withdrawal of all suspected drugs is a key tenet of the treatment of DRESS. Our case report highlights the risks inherent in delayed diagnosis of DRESS and the challenges in the clinical management of this condition. Pulmonary manifestations with radiological changes on chest X-ray and CT can be seen in DRESS. These changes need to be differentiated from those caused by pulmonary infections. Clavicular osteomyelitis infected with MRSA may be caused by iatrogenic injury during subclavian vein catheterization. This type of MRSA infections should be treated for 4 to 6 weeks. Blood eosinophilia could be a useful marker of disease progression and treatment response in patients with DRESS. However, more experience and clinical evidence is needed to confirm this.

摘要

原理

药物超敏反应伴嗜酸性粒细胞增多和全身症状(DRESS)综合征是一种严重的药物性过敏反应,其特征为皮疹、发热、血液异常以及多器官受累。由于其表现多样,DRESS综合征的诊断常常延迟。立即停用致病药物是决定性的治疗方法。由抗结核药物引起的DRESS综合征鲜有报道。

患者情况

一名50岁男性因反复出现进行性皮疹、发热、嗜酸性粒细胞增多、淋巴结病、肝脏和肺部受累而入院,这些症状是在重复使用相同抗结核药物后出现的。

诊断

我们将其诊断为由抗结核药物引起的DRESS综合征。

干预措施

该病例对全身用皮质类固醇和静脉注射免疫球蛋白治疗反应良好。然而,治疗期间反复发生耐甲氧西林金黄色葡萄球菌感染(锁骨骨髓炎和膝关节化脓性关节炎)。使用利奈唑胺治疗后他痊愈了。

结果

患者于第112天出院。在8个月的随访中,药疹和关节肿胀未复发。

经验教训

早期诊断并立即停用所有可疑药物是治疗DRESS的关键原则。我们的病例报告强调了DRESS延迟诊断所固有的风险以及这种疾病临床管理中的挑战。DRESS可出现胸部X线和CT上有放射学改变的肺部表现。这些改变需要与肺部感染引起的改变相鉴别。锁骨下静脉置管期间的医源性损伤可能导致耐甲氧西林金黄色葡萄球菌感染的锁骨骨髓炎。这种类型的耐甲氧西林金黄色葡萄球菌感染应治疗4至6周。血液嗜酸性粒细胞增多可能是DRESS患者疾病进展和治疗反应的有用标志物。然而,需要更多的经验和临床证据来证实这一点。

https://cdn.ncbi.nlm.nih.gov/pmc/blobs/d627/5369923/7e1952491cef/medi-96-e6346-g003.jpg
https://cdn.ncbi.nlm.nih.gov/pmc/blobs/d627/5369923/370f78f3f944/medi-96-e6346-g001.jpg
https://cdn.ncbi.nlm.nih.gov/pmc/blobs/d627/5369923/adf8fbf5988f/medi-96-e6346-g002.jpg
https://cdn.ncbi.nlm.nih.gov/pmc/blobs/d627/5369923/7e1952491cef/medi-96-e6346-g003.jpg
https://cdn.ncbi.nlm.nih.gov/pmc/blobs/d627/5369923/370f78f3f944/medi-96-e6346-g001.jpg
https://cdn.ncbi.nlm.nih.gov/pmc/blobs/d627/5369923/adf8fbf5988f/medi-96-e6346-g002.jpg
https://cdn.ncbi.nlm.nih.gov/pmc/blobs/d627/5369923/7e1952491cef/medi-96-e6346-g003.jpg

相似文献

1
Difficult clinical management of antituberculosis DRESS syndrome complicated by MRSA infection: A case report.抗结核药物超敏反应综合征合并耐甲氧西林金黄色葡萄球菌感染的困难临床处理:一例报告
Medicine (Baltimore). 2017 Mar;96(11):e6346. doi: 10.1097/MD.0000000000006346.
2
Antiepileptic drug-induced hypersensitivity syndrome with liver function abnormality and fever as the first manifestation: A case report.以肝功能异常和发热为首发表现的抗癫痫药物诱导的超敏反应综合征:1 例报告。
Medicine (Baltimore). 2023 Jan 20;102(3):e32657. doi: 10.1097/MD.0000000000032657.
3
DRESS syndrome in the setting of oxacillin therapy-a call for better patient preparedness: a case report.苯唑西林治疗相关的药物反应综合征-呼吁更好的患者准备:病例报告。
J Med Case Rep. 2021 Dec 27;15(1):613. doi: 10.1186/s13256-021-03202-9.
4
[DRESS syndrome secondary to antituberculosis drugs: about a case].[抗结核药物继发的药物超敏反应伴嗜酸性粒细胞增多和全身症状综合征:病例报告]
Pan Afr Med J. 2017 May 11;27:37. doi: 10.11604/pamj.2017.27.37.11663. eCollection 2017.
5
Antituberculosis Drug-Associated DRESS: A Case Series.抗结核药物相关性 DRESS:病例系列。
J Allergy Clin Immunol Pract. 2018 Jul-Aug;6(4):1373-1380. doi: 10.1016/j.jaip.2017.11.021. Epub 2017 Dec 20.
6
DRESS syndrome and tuberculosis: Implementation of a desensitization and re-desensitization protocol to recover antituberculosis drugs in a case series at a specialized TB Unit in Lima, Peru.DRESS 综合征与结核病:在秘鲁利马的一个专门结核病单位的病例系列中实施脱敏和再脱敏方案以恢复抗结核药物。
Medicine (Baltimore). 2024 Sep 27;103(39):e39365. doi: 10.1097/MD.0000000000039365.
7
Clinical features of drug reaction with eosinophilia and systemic symptoms (DRESS) syndrome: a study of 25 patients in Korea.药物反应伴嗜酸性粒细胞增多和全身症状(DRESS)综合征的临床特征:韩国 25 例患者的研究。
Int J Dermatol. 2017 Sep;56(9):944-951. doi: 10.1111/ijd.13667. Epub 2017 Jul 18.
8
A typical presentation of moxifloxacin-induced DRESS syndrome with pulmonary involvement: a case report and review of the literature.莫西沙星诱发的伴有肺部受累的药物超敏反应综合征的典型表现:一例病例报告及文献复习
BMC Pulm Med. 2022 Jul 19;22(1):279. doi: 10.1186/s12890-022-02064-1.
9
Drug reaction with eosinophilia and systemic symptoms (DRESS) syndrome caused by first-line antituberculosis drugs: Two case reports and a review of the literature.由一线抗结核药物引起的药物反应伴嗜酸性粒细胞增多和全身症状(DRESS)综合征:两例病例报告及文献复习。
Contact Dermatitis. 2019 Nov;81(5):325-331. doi: 10.1111/cod.13296. Epub 2019 May 22.
10
Adverse reactions to antituberculosis drugs presenting as DRESS syndrome and acute liver failure.抗结核药物引起的以药物超敏反应伴嗜酸性粒细胞增多和系统症状综合征及急性肝衰竭形式出现的不良反应。
Rev Gastroenterol Peru. 2022 Apr-Jun;42(2):136-138.

引用本文的文献

1
Drug reaction with eosinophilia and systemic symptoms (DRESS) syndrome secondary to antimicrobial therapy in pediatric bone and joint infections.儿童骨与关节感染抗菌治疗继发的药物超敏反应伴嗜酸性粒细胞增多和全身症状(DRESS)综合征
World Allergy Organ J. 2024 Feb 7;17(2):100850. doi: 10.1016/j.waojou.2023.100850. eCollection 2024 Feb.
2
Similarities and Differences between Clavicular Bacterial Osteomyelitis and Nonbacterial Osteitis: Comparisons of 327 Reported Cases.锁骨细菌性骨髓炎与非细菌性骨髓炎的异同:327 例报告病例比较。
J Immunol Res. 2021 Jan 26;2021:4634505. doi: 10.1155/2021/4634505. eCollection 2021.
3

本文引用的文献

1
A Case of the Drug Reaction with Eosinophilia and Systemic Symptom (DRESS) Following Isoniazid Treatment.1例异烟肼治疗后发生的药物超敏反应伴嗜酸性粒细胞增多和全身症状(DRESS)病例。
Tuberc Respir Dis (Seoul). 2015 Jan;78(1):27-30. doi: 10.4046/trd.2015.78.1.27. Epub 2015 Jan 29.
2
Sequelae in 145 patients with drug-induced hypersensitivity syndrome/drug reaction with eosinophilia and systemic symptoms: survey conducted by the Asian Research Committee on Severe Cutaneous Adverse Reactions (ASCAR).145例药物性超敏反应综合征/伴嗜酸性粒细胞增多和全身症状的药物反应患者的后遗症:由亚洲严重皮肤不良反应研究委员会(ASCAR)开展的调查
J Dermatol. 2015 Mar;42(3):276-82. doi: 10.1111/1346-8138.12770. Epub 2015 Jan 27.
3
Antibacterial antibiotic-induced drug reaction with eosinophilia and systemic symptoms (DRESS) syndrome: a literature review.
抗菌抗生素引起的伴嗜酸性粒细胞增多和全身症状(DRESS)综合征:文献综述。
Eur J Clin Pharmacol. 2021 Mar;77(3):275-289. doi: 10.1007/s00228-020-03005-9. Epub 2020 Oct 6.
4
Severe DRESS syndrome after carbamazepine intake in a case with multiple addictions: A case report.一例有多种成瘾问题的患者服用卡马西平后发生严重药物疹伴嗜酸性粒细胞增多和系统症状综合征:病例报告
Exp Ther Med. 2020 Sep;20(3):2377-2380. doi: 10.3892/etm.2020.8894. Epub 2020 Jun 17.
5
Eosinophil Polymorphonuclear Leukocytes in TB: What We Know so Far.结核中的嗜酸性粒细胞性多形核白细胞:目前我们所了解的情况。
Front Immunol. 2019 Nov 14;10:2639. doi: 10.3389/fimmu.2019.02639. eCollection 2019.
6
Pulmonary Manifestations of Drug Reaction with Eosinophilia and Systemic Symptoms (DRESS) Syndrome: A Systematic Review.药物反应伴嗜酸性粒细胞增多和全身症状(DRESS)综合征的肺部表现:系统评价。
Biomed Res Int. 2019 Sep 24;2019:7863815. doi: 10.1155/2019/7863815. eCollection 2019.
Bilateral clavicle osteomyelitis: A case report.
双侧锁骨骨髓炎:一例报告。
Int J Surg Case Rep. 2014;5(12):932-5. doi: 10.1016/j.ijscr.2014.10.056. Epub 2014 Oct 23.
4
Drug reaction with eosinophilia and systemic symptoms syndrome (DRESS) syndrome associated with azithromycin presenting like septic shock: a case report.阿奇霉素相关的伴有嗜酸性粒细胞增多和全身症状的药物反应综合征(DRESS),表现为感染性休克:一例报告
J Med Case Rep. 2014 Oct 8;8:332. doi: 10.1186/1752-1947-8-332.
5
Comparison of diagnostic criteria and determination of prognostic factors for drug reaction with eosinophilia and systemic symptoms syndrome.药物反应伴嗜酸性粒细胞增多和全身性症状综合征的诊断标准比较和预后因素的确定。
Allergy Asthma Immunol Res. 2014 May;6(3):216-21. doi: 10.4168/aair.2014.6.3.216. Epub 2014 Feb 6.
6
Extensive pulmonary involvement with raltegravir-induced DRESS syndrome in a postpartum woman with HIV.一名产后感染艾滋病毒的妇女出现广泛肺部受累的拉替拉韦诱导的药物反应伴嗜酸性粒细胞增多和系统症状综合征。
BMJ Case Rep. 2014 May 5;2014:bcr2013201545. doi: 10.1136/bcr-2013-201545.
7
Drug reaction with eosinophilia and systemic symptoms syndrome associated with antituberculosis medications.药物性嗜酸性粒细胞增多和全身症状综合征与抗结核药物相关。
Pediatr Infect Dis J. 2013 Dec;32(12):1388-90. doi: 10.1097/INF.0b013e3182a09f20.
8
A case of DRESS syndrome induced by the antituberculosis drugs, prothionamide, and para-aminosalycilic acid.1例由抗结核药物丙硫异烟胺和对氨基水杨酸引起的药物超敏反应伴嗜酸性粒细胞增多和系统症状(DRESS)综合征。
Ann Allergy Asthma Immunol. 2013 Feb;110(2):118-9. doi: 10.1016/j.anai.2012.11.008. Epub 2012 Dec 5.
9
Difficult clinical management of anti-tuberculosis DRESS syndrome.抗结核 DRESS 综合征的临床治疗难点。
Int J Tuberc Lung Dis. 2013 Jan;17(1):76-8. doi: 10.5588/ijtld.12.0441. Epub 2012 Oct 30.
10
Drug reaction with Eosinophilia and Systemic Symptoms (DRESS) / Drug-induced Hypersensitivity Syndrome (DIHS): a review of current concepts.药物超敏反应伴嗜酸性粒细胞增多和全身症状(DRESS)/药物性超敏反应综合征(DIHS):当前概念综述
An Bras Dermatol. 2012 May-Jun;87(3):435-49. doi: 10.1590/s0365-05962012000300013.