Suppr超能文献

计算机辅助电磁导航提高了计算机断层扫描引导介入的准确性:一项前瞻性随机临床试验。

Computer assisted electromagnetic navigation improves accuracy in computed tomography guided interventions: A prospective randomized clinical trial.

作者信息

Durand Pierre, Moreau-Gaudry Alexandre, Silvent Anne-Sophie, Frandon Julien, Chipon Emilie, Médici Maud, Bricault Ivan

机构信息

Department of Imaging, Radiology and Medical Imaging, University Hospital, Grenoble, France.

Laboratory of Techniques for biomedical engineering and complexity management - informatics, mathematics and applications, University Grenoble Alpes, Grenoble, France.

出版信息

PLoS One. 2017 Mar 15;12(3):e0173751. doi: 10.1371/journal.pone.0173751. eCollection 2017.

Abstract

PURPOSE

To assess the accuracy and usability of an electromagnetic navigation system designed to assist Computed Tomography (CT) guided interventions.

MATERIALS AND METHODS

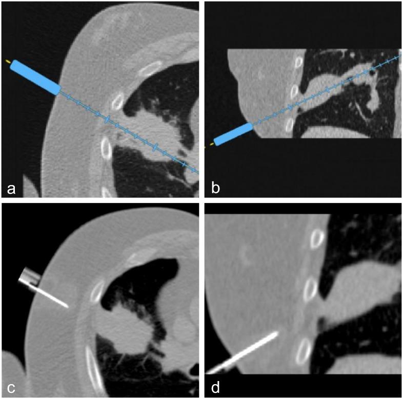
120 patients requiring a percutaneous CT intervention (drainage, biopsy, tumor ablation, infiltration, sympathicolysis) were included in this prospective randomized trial. Nineteen radiologists participated. Conventional procedures (CT group) were compared with procedures assisted by a navigation system prototype using an electromagnetic localizer to track the position and orientation of a needle holder (NAV group). The navigation system displays the needle path in real-time on 2D reconstructed CT images extracted from the 3D CT volume. The regional ethics committee approved this study and all patients gave written informed consent. The main outcome was the distance between the planned trajectory and the achieved needle trajectory calculated from the initial needle placement.

RESULTS

120 patients were analyzable in intention-to-treat (NAV: 60; CT: 60). Accuracy improved when the navigation system was used: distance error (in millimeters: median[P25%; P75%]) with NAV = 4.1[2.7; 9.1], vs. with CT = 8.9[4.9; 15.1] (p<0.001). After the initial needle placement and first control CT, fewer subsequent CT acquisitions were necessary to reach the target using the navigation system: NAV = 2[2; 3]; CT = 3[2; 4] (p = 0.01).

CONCLUSION

The tested system was usable in a standard clinical setting and provided significant improvement in accuracy; furthermore, with the help of navigation, targets could be reached with fewer CT control acquisitions.

摘要

目的

评估一种旨在辅助计算机断层扫描(CT)引导介入的电磁导航系统的准确性和可用性。

材料与方法

120例需要进行经皮CT介入(引流、活检、肿瘤消融、浸润、交感神经溶解)的患者纳入了这项前瞻性随机试验。19名放射科医生参与其中。将传统操作(CT组)与使用电磁定位器跟踪持针器位置和方向的导航系统原型辅助操作(导航组)进行比较。该导航系统在从3D CT容积中提取的2D重建CT图像上实时显示针道。地区伦理委员会批准了本研究,所有患者均签署了书面知情同意书。主要结果是根据最初的针放置计算出的计划轨迹与实际针轨迹之间的距离。

结果

120例患者按意向性分析可进行分析(导航组:60例;CT组:60例)。使用导航系统时准确性有所提高:导航组的距离误差(以毫米计:中位数[第25百分位数;第75百分位数])为4.1[2.7;9.1],而CT组为8.9[4.9;15.1](p<0.001)。在最初的针放置和首次对照CT后,使用导航系统到达目标所需的后续CT采集次数更少:导航组=2[2;3];CT组=3[2;4](p = 0.01)。

结论

所测试的系统可在标准临床环境中使用,并在准确性方面有显著提高;此外,借助导航,可以通过更少的CT对照采集到达目标。

https://cdn.ncbi.nlm.nih.gov/pmc/blobs/117d/5351986/56c979a21a4b/pone.0173751.g001.jpg

文献检索

告别复杂PubMed语法,用中文像聊天一样搜索,搜遍4000万医学文献。AI智能推荐,让科研检索更轻松。

立即免费搜索

文件翻译

保留排版,准确专业,支持PDF/Word/PPT等文件格式,支持 12+语言互译。

免费翻译文档

深度研究

AI帮你快速写综述,25分钟生成高质量综述,智能提取关键信息,辅助科研写作。

立即免费体验