Suppr超能文献

颈段迷走神经鞘瘤:麻醉相关问题

Cervical Vagal Schwannoma: Anesthetic Concerns.

作者信息

Saini Suman, Sabharwal Nikki, Agrawal Nidhi, Singh Bhupender

机构信息

Department of Anaesthesia, Vardhman Mahaveer Medical College and Safdarjung Hospital, New Delhi, India.

出版信息

Anesth Essays Res. 2017 Jan-Mar;11(1):254-256. doi: 10.4103/0259-1162.183163.

Abstract

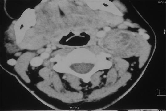
Schwannomas arising from cervical vagus nerve is an extremely rare benign neoplasm. The majority of patients present with insidiously growing lateral neck mass without neurological deficit. We report a case of symptomatic cervical vagal nerve schwannoma in a 32-year-old female. Complete surgical resection is the treatment of choice. However, anesthetic management of these tumors can be challenging. We describe here the complications experienced during the management of the patient.

摘要

起源于颈迷走神经的神经鞘瘤是一种极其罕见的良性肿瘤。大多数患者表现为隐匿性生长的颈部外侧肿块,无神经功能缺损。我们报告一例32岁女性有症状的颈迷走神经神经鞘瘤病例。完整的手术切除是首选治疗方法。然而,这些肿瘤的麻醉管理可能具有挑战性。我们在此描述该患者治疗过程中所经历的并发症。

https://cdn.ncbi.nlm.nih.gov/pmc/blobs/ebd9/5341630/8599f85a3fb3/AER-11-254-g001.jpg

相似文献

1
Cervical Vagal Schwannoma: Anesthetic Concerns.
Anesth Essays Res. 2017 Jan-Mar;11(1):254-256. doi: 10.4103/0259-1162.183163.
2
A Rare Case of Cervical Vagal Nerve Schwannoma in a 30-Year-Old Ethiopian Man.
Int Med Case Rep J. 2023 Mar 11;16:141-151. doi: 10.2147/IMCRJ.S401858. eCollection 2023.
3
A cervical vagal schwannoma mimicking a parathyroid cyst.
Clin Exp Otorhinolaryngol. 2014 Jun;7(2):153-6. doi: 10.3342/ceo.2014.7.2.153. Epub 2014 May 21.
4
A rare association of Vagus Nerve Schwannoma and Pheochromocytoma: A case report.
Ann Med Surg (Lond). 2022 Mar 4;76:103475. doi: 10.1016/j.amsu.2022.103475. eCollection 2022 Apr.
5
A literature review on surgery for cervical vagal schwannomas.
World J Surg Oncol. 2015 Mar 29;13:130. doi: 10.1186/s12957-015-0541-6.
6
Head and Neck Schwannomas: A Surgical Challenge-A Series of 5 Cases.
Case Rep Otolaryngol. 2018 Mar 4;2018:4074905. doi: 10.1155/2018/4074905. eCollection 2018.
7
Vagus Nerve Schwannoma Mimicking a Lateral Neck Cyst.
J Craniofac Surg. 2018 Nov;29(8):e827-e828. doi: 10.1097/SCS.0000000000005006.
8
Neurogenic tumors of the cervical vagus nerve: report of four cases and review of the literature.
Neurosurgery. 2000 Jun;46(6):1498-503. doi: 10.1097/00006123-200006000-00036.
9
Diagnosis and management of pediatric cervical vagal schwannoma.
Int J Pediatr Otorhinolaryngol. 2018 Nov;114:9-14. doi: 10.1016/j.ijporl.2018.08.021. Epub 2018 Aug 23.
10
A Rare Case of Vagus Nerve Schwannoma Presenting as a Neck Mass.
Am J Case Rep. 2017 Aug 21;18:908-911. doi: 10.12659/ajcr.904084.

引用本文的文献

2
Cervical Vagal Schwannoma: A Case Report and Literature Review.
Clin Case Rep. 2025 Mar 14;13(3):e70320. doi: 10.1002/ccr3.70320. eCollection 2025 Mar.
3
Postcarotid Endarterectomy Hematoma Induced Arrhythmia: Report of a Rare Case.
Case Rep Vasc Med. 2023 Dec 4;2023:4633731. doi: 10.1155/2023/4633731. eCollection 2023.
4
Anaesthetic management of a patient for cervical sympathetic chain schwannoma excision.
Indian J Anaesth. 2022 Nov;66(11):804-805. doi: 10.4103/ija.ija_532_22. Epub 2022 Nov 18.
5
[A case report of giant vagal schwannoma in the right neck and literature review].
Lin Chuang Er Bi Yan Hou Tou Jing Wai Ke Za Zhi. 2022 Dec;36(12):960-963. doi: 10.13201/j.issn.2096-7993.2022.12.014.
6
Cervical vagal nerve schwannoma induced arrhythmia: a rare case report and literature review.
BMC Neurol. 2022 Dec 14;22(1):480. doi: 10.1186/s12883-022-03016-2.

本文引用的文献

1
Anesthetic management of schwannoma mimicking carotid body tumor.
Int Med Case Rep J. 2012 Aug 29;5:55-8. doi: 10.2147/IMCRJ.S35093. Print 2012.
3
Cervical vagal schwannoma. A case report.
Acta Otorhinolaryngol Ital. 2009 Feb;29(1):33-5.
5
Extracranial head and neck schwannomas: a review of 8 years experience.
Acta Otolaryngol. 2002 Jun;122(4):435-7. doi: 10.1080/00016480260000157.
6
Neurogenic tumors of the cervical vagus nerve: report of four cases and review of the literature.
Neurosurgery. 2000 Jun;46(6):1498-503. doi: 10.1097/00006123-200006000-00036.
7
Schwannoma of the vagus nerve.
Anaesthesia. 1986 Nov;41(11):1130-2. doi: 10.1111/j.1365-2044.1986.tb12963.x.
8
Neurilemmoma of the vagus nerve: a case report.
J Laryngol Otol. 1979 Feb;93(2):187-92. doi: 10.1017/s0022215100086928.

文献AI研究员

20分钟写一篇综述,助力文献阅读效率提升50倍。

立即体验

用中文搜PubMed

大模型驱动的PubMed中文搜索引擎

马上搜索

文档翻译

学术文献翻译模型,支持多种主流文档格式。

立即体验