Suppr超能文献

使用异戊基 2-氰基丙烯酸酯(生物粘附材料)和丝线缝合线进行牙周瓣手术后愈合情况的比较评估:一项双侧对照临床研究。

Comparative evaluation of healing after periodontal flap surgery using isoamyl 2-cyanoacrylate (bioadhesive material) and silk sutures: A split-mouth clinical study.

作者信息

Khurana Jyotsana Veneet, Mali Amita Milind, Mali Rohini Salil, Chaudhari Amit Ulhas

机构信息

Department of Periodontology, Bharati Vidyapeeth Deemed University Dental College and Hospital, Pune, Maharashtra, India.

出版信息

J Indian Soc Periodontol. 2016 Jul-Aug;20(4):417-422. doi: 10.4103/0972-124X.194267.

Abstract

BACKGROUND

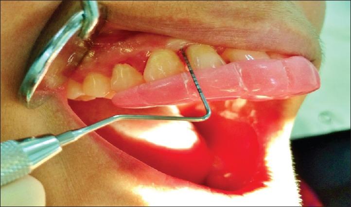
Many factors contribute to uneventful and healthy postoperative healing. Hence, closure of periodontal flap postsurgery for the attainment of primary union between flap margins is of utmost importance. Isoamyl 2-cyanoacrylate is a tissue adhesive, which can be used for the closure of elevated flaps to overcome the problems associated with conventional suture material like silk.

AIM

This study aims to compare healing after periodontal flap surgery using isoamyl 2-cyanoacrylate (bioadhesive material) and silk sutures.

MATERIALS AND METHODS

The study was carried out on twenty patients who needed flap surgical procedure for pocket therapy.

STATISTICAL ANALYSIS USED

Results were subjected to statistical analysis. Paired -test was used for intragroup postprocedure improvement in each parameter, and independent sample -test was used for intergroup comparison.

RESULTS

Early healing was seen with isoamyl 2-cyanoacrylate during the 1 week when compared with silk. However, no significant difference was seen in the 2 week when both the materials were compared.

CONCLUSIONS

It can be concluded that cyanoacrylate aids in early initial healing.

摘要

背景

许多因素有助于术后顺利且健康地愈合。因此,牙周瓣手术后的关闭对于实现瓣边缘之间的一期愈合至关重要。异戊基2-氰基丙烯酸酯是一种组织粘合剂,可用于关闭掀起的瓣,以克服与传统缝线材料(如丝线)相关的问题。

目的

本研究旨在比较使用异戊基2-氰基丙烯酸酯(生物粘合材料)和丝线缝合进行牙周瓣手术后的愈合情况。

材料与方法

该研究针对20名需要进行瓣手术以治疗牙周袋的患者开展。

所用统计分析方法

对结果进行统计分析。配对t检验用于各参数组内术后改善情况,独立样本t检验用于组间比较。

结果

与丝线相比,异戊基2-氰基丙烯酸酯在1周时可见早期愈合。然而,在2周时比较两种材料时未发现显著差异。

结论

可以得出结论,氰基丙烯酸酯有助于早期初始愈合。

https://cdn.ncbi.nlm.nih.gov/pmc/blobs/66e1/5341317/0b740ce733e4/JISP-20-417-g001.jpg

文献检索

告别复杂PubMed语法,用中文像聊天一样搜索,搜遍4000万医学文献。AI智能推荐,让科研检索更轻松。

立即免费搜索

文件翻译

保留排版,准确专业,支持PDF/Word/PPT等文件格式,支持 12+语言互译。

免费翻译文档

深度研究

AI帮你快速写综述,25分钟生成高质量综述,智能提取关键信息,辅助科研写作。

立即免费体验