Suppr超能文献

毛发-牙齿-骨综合征与乳牙早萌

Tricho-dento-osseous syndrome and precocious eruption.

作者信息

Jain Parul, Kaul Rahul, Saha Subrata, Sarkar Subir

机构信息

Post Graduate Student, Department of Pedodontics and Preventive Dentistry, Dr. R. Ahmed Dental College and Hospital, Kolkata, West Bengal, India.

Professor, Department of Pedodontics and Preventive Dentistry, Dr. R. Ahmed Dental College and Hospital, Kolkata, West Bengal, India.

出版信息

J Clin Exp Dent. 2017 Mar 1;9(3):e494-e497. doi: 10.4317/jced.53348. eCollection 2017 Mar.

Abstract

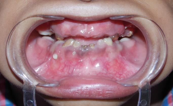
Tricho-dento-osseous syndrome (TDO), an uncommon form of ectodermal dysplasia is an autosomal dominant genetic disorder which is characterized by inherited defects in tissues arising from epithelial-mesenchymal interaction. Genetic studies have revealed that it is caused by mutation in the DLX3 gene. TDO presents with a great phenotypic heterogeneity and studies have suggested that this heterogeneity is the result of environmental factors or other genetic modifiers. In this article, we report a case of TDO in which the child had typical clinical features of hair, teeth and bone defects, as seen in TDO. Parents of the child were unaffected. Genetic analysis of the child revealed mutation in DLX3 gene. The child also showed precocious eruption of the permanent molars, a clinical feature which has been rarely reported. We suggest that the precocious eruption seen in TDO is probably due to a markedly increased osteoblastic activity. Tricho-dento-osseous syndrome, DLX3 gene, precocious eruption.

摘要

毛发-牙齿-骨综合征(TDO)是一种罕见的外胚层发育不良形式,是一种常染色体显性遗传病,其特征是上皮-间充质相互作用产生的组织存在遗传性缺陷。基因研究表明,它是由DLX3基因突变引起的。TDO表现出很大的表型异质性,研究表明这种异质性是环境因素或其他基因修饰因子的结果。在本文中,我们报告了一例TDO病例,该患儿具有TDO典型的毛发、牙齿和骨骼缺陷临床特征。患儿的父母未受影响。对该患儿的基因分析显示DLX3基因发生突变。该患儿还出现了恒牙早萌,这是一种很少有报道的临床特征。我们认为TDO中出现的恒牙早萌可能是由于成骨细胞活性明显增加所致。毛发-牙齿-骨综合征、DLX3基因、恒牙早萌。

https://cdn.ncbi.nlm.nih.gov/pmc/blobs/9278/5347304/bd59756b6086/jced-9-e494-g001.jpg

文献AI研究员

20分钟写一篇综述,助力文献阅读效率提升50倍。

立即体验

用中文搜PubMed

大模型驱动的PubMed中文搜索引擎

马上搜索

文档翻译

学术文献翻译模型,支持多种主流文档格式。

立即体验