Suppr超能文献

接受VEGF/mTOR抑制剂治疗的转移性肾细胞癌患者中机化性肺炎的CT表现:一项观察性研究。

CT patterns of organizing pneumonia in patients treated with VEGF/mTOR inhibitors for metastatic renal cell cancer: an observational study.

作者信息

Dettmer Sabine, Grünwald Viktor, Fuehner Thomas, Ganser Arnold, Wacker Frank, Ivanyi Philipp, Rodt Thomas

机构信息

Department of Diagnostic and Interventional Radiology, Hannover Medical School, Hannover, Germany.

Department of Haematology, Haemostasis, Oncology and Stem Cell Transplantation, Hannover Medical School, Hannover, Germany.

出版信息

Acta Radiol Open. 2017 Feb 1;6(2):2058460117694216. doi: 10.1177/2058460117694216. eCollection 2017 Feb.

Abstract

BACKGROUND

Targeted therapies are the standard treatment in patients with metastatic renal cell carcinoma (mRCC) and are known to cause adverse pulmonary events. Organizing pneumonia (OP) with its various manifestations in computed tomography (CT) has therefore lately received more attention.

PURPOSE

To describe the spectrum of CT patterns of OP in patients with mRCC receiving targeted therapies.

MATERIAL AND METHODS

Seventeen patients with known therapy-related OP were analyzed retrospectively by two blinded radiologists in consensus. Images were scored according to OP patterns that have previously been described. Additionally, the distribution and the predominant imaging pattern in each patient were determined.

RESULTS

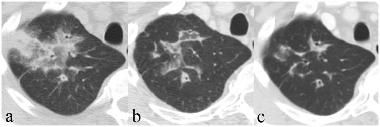
In our cohort, ground glass opacity was the most common imaging pattern (17/17, 100%) in patients with OP followed by a reticular pattern (12/17, 71%), consolidations (10/17, 59%), nodules (7/17, 41%), crazy paving (5/17, 29%), bronchi(ol)ectasis (4/17, 24%), focal mass (3/17, 18%), and reversed halo (1/17, 6%). The most common imaging pattern was changing multifocal consolidations (8/17, 47%). A bronchocentric and a nodular pattern were found in four patients (24%) each, a progressive fibrotic pattern in none patient, and reversed halo/atoll pattern in one (6%) case.

CONCLUSION

OP is the major differential diagnosis to be considered in patients with targeted therapies and pulmonary changes. Knowledge of the variety of imaging findings can facilitate diagnosis.

摘要

背景

靶向治疗是转移性肾细胞癌(mRCC)患者的标准治疗方法,已知会导致不良肺部事件。因此,组织性肺炎(OP)在计算机断层扫描(CT)中的各种表现最近受到了更多关注。

目的

描述接受靶向治疗的mRCC患者中OP的CT表现谱。

材料与方法

由两位不知情的放射科医生对17例已知与治疗相关的OP患者进行回顾性分析并达成共识。根据先前描述的OP表现对图像进行评分,并确定每位患者的分布及主要影像学表现。

结果

在我们的队列中,磨玻璃影(17/17,100%)是OP患者最常见的影像学表现,其次是网状影(12/17,71%)、实变影(10/17,59%)、结节影(7/17,41%)、铺路石征(5/17,29%)、支气管(细支气管)扩张(4/17,24%)、局灶性肿块(3/17,18%)和反晕征(1/17;6%)。最常见的影像学表现是多变性多灶性实变(8/17,47%)。4例患者(24%)出现支气管周围型和结节型表现,无患者出现进行性纤维化型表现;1例患者(6%)出现反晕/环礁征表现。

结论

OP是接受靶向治疗且肺部发生改变患者需要考虑主要鉴别诊断。了解各种影像学表现有助于诊断。

https://cdn.ncbi.nlm.nih.gov/pmc/blobs/fe16/5347262/520368a4c231/10.1177_2058460117694216-fig1.jpg

文献AI研究员

20分钟写一篇综述,助力文献阅读效率提升50倍。

立即体验

用中文搜PubMed

大模型驱动的PubMed中文搜索引擎

马上搜索

文档翻译

学术文献翻译模型,支持多种主流文档格式。

立即体验