Suppr超能文献

对临床前庭测试的功能性脑激活与平衡相关。

Functional Brain Activation in Response to a Clinical Vestibular Test Correlates with Balance.

作者信息

Noohi Fatemeh, Kinnaird Catherine, DeDios Yiri, Kofman Igor S, Wood Scott, Bloomberg Jacob, Mulavara Ajitkumar, Seidler Rachael

机构信息

School of Kinesiology, University of MichiganAnn Arbor, MI, USA; Department of Psychology, University of MichiganAnn Arbor, MI, USA.

Department of Mechanical Engineering, University of Michigan Ann Arbor, MI, USA.

出版信息

Front Syst Neurosci. 2017 Mar 10;11:11. doi: 10.3389/fnsys.2017.00011. eCollection 2017.

Abstract

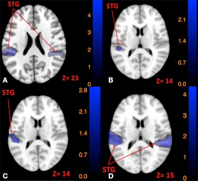
The current study characterizes brain fMRI activation in response to two modes of vestibular stimulation: Skull tap and auditory tone burst. The auditory tone burst has been used in previous studies to elicit either a vestibulo-spinal reflex [saccular-mediated colic Vestibular Evoked Myogenic Potentials (cVEMP)], or an ocular muscle response [utricle-mediated ocular VEMP (oVEMP)]. Research suggests that the skull tap elicits both saccular and utricle-mediated VEMPs, while being faster and less irritating for subjects than the high decibel tones required to elicit VEMPs. However, it is not clear whether the skull tap and auditory tone burst elicit the same pattern of brain activity. Previous imaging studies have documented activity in the anterior and posterior insula, superior temporal gyrus, inferior parietal lobule, inferior frontal gyrus, and the anterior cingulate cortex in response to different modes of vestibular stimulation. Here we hypothesized that pneumatically powered skull taps would elicit a similar pattern of brain activity as shown in previous studies. Our results provide the first evidence of using pneumatically powered skull taps to elicit vestibular activity inside the MRI scanner. A conjunction analysis revealed that skull taps elicit overlapping activation with auditory tone bursts in the canonical vestibular cortical regions. Further, our postural control assessments revealed that greater amplitude of brain activation in response to vestibular stimulation was associated with better balance control for both techniques. Additionally, we found that skull taps elicit more robust vestibular activity compared to auditory tone bursts, with less reported aversive effects, highlighting the utility of this approach for future clinical and basic science research.

摘要

当前的研究描述了大脑功能磁共振成像(fMRI)对两种前庭刺激模式的激活反应:轻敲颅骨和听觉短音。在先前的研究中,听觉短音已被用于引发前庭脊髓反射[球囊介导的绞痛性前庭诱发肌源性电位(cVEMP)]或眼肌反应[椭圆囊介导的眼前庭诱发肌源性电位(oVEMP)]。研究表明,轻敲颅骨可引发球囊和椭圆囊介导的VEMPs,同时与引发VEMPs所需的高分贝音调相比,对受试者来说速度更快且刺激性更小。然而,尚不清楚轻敲颅骨和听觉短音是否会引发相同的大脑活动模式。先前的影像学研究记录了在不同前庭刺激模式下,脑岛前后部、颞上回、顶下小叶、额下回和前扣带回皮质的活动。在此,我们假设气动轻敲颅骨会引发与先前研究中所示类似的大脑活动模式。我们的结果首次证明了在MRI扫描仪内使用气动轻敲颅骨来引发前庭活动。联合分析显示,轻敲颅骨在典型的前庭皮质区域引发与听觉短音重叠的激活。此外,我们的姿势控制评估表明,两种技术中,对前庭刺激反应时大脑激活幅度越大,平衡控制越好。此外,我们发现与听觉短音相比,轻敲颅骨能引发更强健的前庭活动,且报告的厌恶效应更少,这突出了这种方法在未来临床和基础科学研究中的实用性。

https://cdn.ncbi.nlm.nih.gov/pmc/blobs/159f/5344901/9605c143f119/fnsys-11-00011-g0001.jpg

文献检索

告别复杂PubMed语法,用中文像聊天一样搜索,搜遍4000万医学文献。AI智能推荐,让科研检索更轻松。

立即免费搜索

文件翻译

保留排版,准确专业,支持PDF/Word/PPT等文件格式,支持 12+语言互译。

免费翻译文档

深度研究

AI帮你快速写综述,25分钟生成高质量综述,智能提取关键信息,辅助科研写作。

立即免费体验