Siddiqui Muhammad Umer, Khan Masroor, Anderson Timithy
Internal Medicine, Mount Sinai Hospital-Englewood program, 151 engle st Apt A11 englewood NJ 07631, USA.
Interventional Cardiology, 10021 S Main St suite B-1 Houston TX 77025, USA.
Cardiol Res. 2013 Oct;4(4-5):165-167. doi: 10.4021/cr293w. Epub 2013 Oct 15.
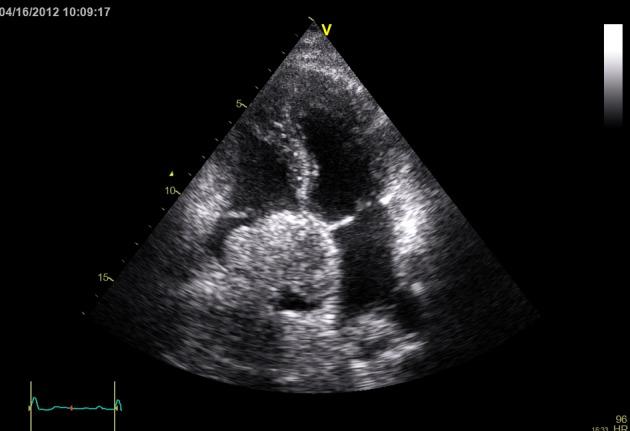
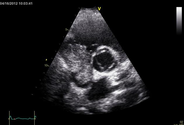
A 41-year-old man presented to the emergency room for evaluation of substernal chest pain, shortness of breath and generalized failure to thrive. Patient had history of hepatitis B and HIV. During recent evaluation of hepatic mass, patient was found to have hepatocellular carcinoma on biopsy. Patient had no history of cirrhosis of the liver in the past. On Echocardiogram patient was noted to have a large mass filling the right atrial cavity. CT scan of abdomen, pelvis and chest showed a diffusely enlarged heterogeneously enhancing liver consistent with large hepatoma, with portal venous and hepatic vein thrombosis. Tumor thrombus extended through the hepatic veins and upper inferior vena cava into the right atrium. There was 6 cm greatest diameter enhancing mass in the right atrium. Patient had primary hepatocellular carcinoma with extensive invasion into vascular structures. His prognosis was poor and patient opted for palliative care only. In conclusion, patients with co-infection of HIV and Hepatitis B are at risk of developing hepatocellular carcinoma with extension into the right atrium and physicians managing these patients should have high suspicion of right atrial involvement with tumor extension and low threshold to order a screening echocardiogram.
一名41岁男性因胸骨后胸痛、呼吸急促和全身发育不良前来急诊室就诊。患者有乙肝和艾滋病毒感染史。近期在评估肝脏肿块时,活检发现患者患有肝细胞癌。患者既往无肝硬化病史。超声心动图显示患者右心房腔内有一个大肿块。腹部、骨盆和胸部的CT扫描显示肝脏弥漫性肿大,强化不均匀,符合大肝癌表现,伴有门静脉和肝静脉血栓形成。肿瘤血栓通过肝静脉和上下腔静脉延伸至右心房。右心房内有一个最大直径为6cm的强化肿块。患者患有原发性肝细胞癌并广泛侵犯血管结构。他的预后很差,患者仅选择了姑息治疗。总之,艾滋病毒和乙肝合并感染的患者有发生肝细胞癌并延伸至右心房的风险,治疗这些患者的医生应高度怀疑肿瘤延伸累及右心房,并应积极进行筛查超声心动图检查。