Suppr超能文献

心脏性头痛

Cardiac Cephalgia.

作者信息

Wassef Nancy, Ali Ali Turab, Katsanevaki Alexia-Zacharoula, Nishtar Salman

机构信息

Birmingham Heartlands Hospital, UK.

Kettering General Hospital, UK.

出版信息

Cardiol Res. 2014 Dec;5(6):195-197. doi: 10.14740/cr361w. Epub 2014 Dec 4.

Abstract

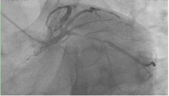
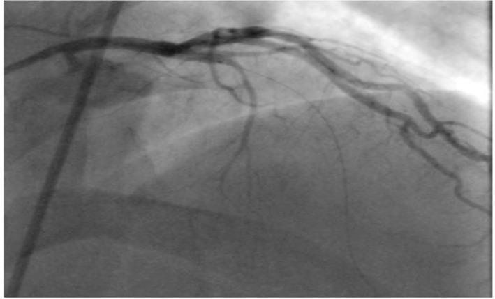
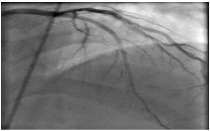
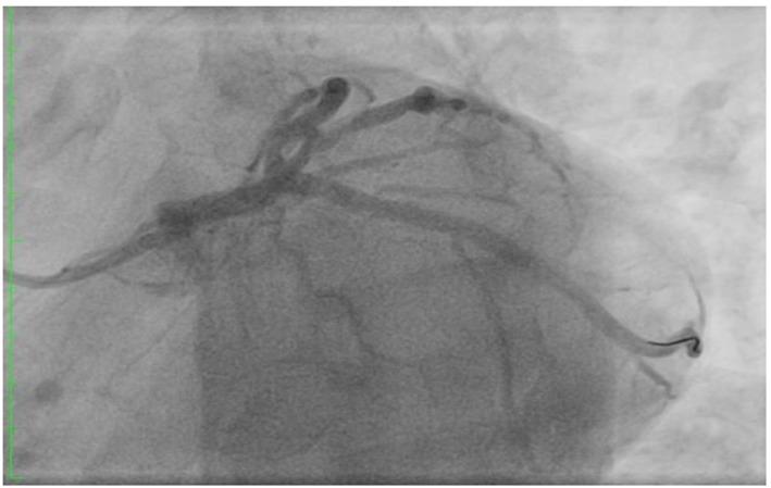
Although most of the patients presenting with ischemic heart disease have chest pains, there are other rare presenting symptoms like cardiac cephalgia. In this report, we present a case of acute coronary syndrome with an only presentation of exertional headache. It was postulated as acute presentation of coronary artery disease, due to previous history of similar presentation associated with some chest pains with previous left coronary artery stenting. We present an unusual case with cardiac cephalgia in a young patient under the age of 50 which was not reported at that age before. There are four suggested mechanisms for this cardiac presentation.

摘要

虽然大多数缺血性心脏病患者会出现胸痛,但也有其他罕见的症状,如心源性头痛。在本报告中,我们介绍了一例急性冠状动脉综合征,其唯一表现为劳力性头痛。由于既往有类似表现且伴有胸痛,曾行左冠状动脉支架置入术,故推测为冠状动脉疾病的急性表现。我们报告了一例50岁以下年轻患者的心源性头痛的罕见病例,此前该年龄段未见报道。关于这种心脏表现有四种推测机制。

https://cdn.ncbi.nlm.nih.gov/pmc/blobs/7dee/5358270/dcf2cda3192c/cr-05-195-g001.jpg

相似文献

1
Cardiac Cephalgia.
Cardiol Res. 2014 Dec;5(6):195-197. doi: 10.14740/cr361w. Epub 2014 Dec 4.
2
Cardiac cephalgia: a diagnostic headache.
Intern Med J. 2016 Oct;46(10):1219-1221. doi: 10.1111/imj.13217.
3
Cardiac cephalgia.
Curr Pain Headache Rep. 2015 Apr;19(4):14. doi: 10.1007/s11916-015-0481-4.
4
Cardiac cephalgia: A headache of the heart.
J Cardiol Cases. 2015 Feb 27;11(5):139-141. doi: 10.1016/j.jccase.2015.02.002. eCollection 2015 May.
5
Acute coronary syndromes can be a headache.
Emerg Med J. 2011 Jan;28(1):71-3. doi: 10.1136/emj.2009.082271. Epub 2010 Oct 20.
6
Heart Attack Causes Head-Ache - Cardiac Cephalalgia.
Acta Cardiol Sin. 2016 Mar;32(2):239-42. doi: 10.6515/acs20150628a.
7
Congenital Absence of Left Circumflex Presenting After an Emotional Stressor.
Pol J Radiol. 2015 Dec 5;80:529-31. doi: 10.12659/PJR.895872. eCollection 2015.
8
Coronary artery fistula with associated Takotsubo cardiomyopathy: a case report.
J Med Case Rep. 2018 Mar 30;12(1):86. doi: 10.1186/s13256-018-1567-5.
9
[Prevalence and determinants of atypical presentation of acute coronary syndrome].
Acta Med Port. 2011 Dec;24 Suppl 2:307-18. Epub 2011 Dec 31.
10
[Pulmonary thromboembolism. A clinical case with unusual presentation].
Minerva Cardioangiol. 1995 Nov-Dec;43(11-12):493-9.

引用本文的文献

1
Ischaemic Heart Disease Masquerading as Headache: A Case Series.
Catheter Cardiovasc Interv. 2025 Jun;105(7):1726-1729. doi: 10.1002/ccd.31521. Epub 2025 Mar 28.
2
Prevalence and risk factors of headache in Chinese with stroke: a cross-sectional study based on CHARLS.
J Headache Pain. 2024 Dec 18;25(1):217. doi: 10.1186/s10194-024-01930-z.
3
Cardiac cephalalgia: a narrative review and ICHD-3 criteria evaluation.
J Headache Pain. 2022 Oct 20;23(1):136. doi: 10.1186/s10194-022-01508-7.
4
Cardiac cephalalgia: a case series of four patients and updated literature review.
Int J Emerg Med. 2022 Jul 29;15(1):33. doi: 10.1186/s12245-022-00436-2.
5
Headache and sick sinus syndrome: A case report.
World J Clin Cases. 2020 Jun 26;8(12):2629-2633. doi: 10.12998/wjcc.v8.i12.2629.

本文引用的文献

1
Cardiac cephalgia.
J Headache Pain. 2009 Feb;10(1):3-9. doi: 10.1007/s10194-008-0087-x. Epub 2009 Jan 13.
2
Severe explosive headache: a sole presentation of acute myocardial infarction in a young man.
Am J Emerg Med. 2007 Feb;25(2):250-1. doi: 10.1016/j.ajem.2006.11.014.
4
Headache angina.
Lancet. 2001 Jan 6;357(9249):72. doi: 10.1016/S0140-6736(05)71575-0.
5
Angina pectoris: a headache.
Lancet. 2000 Sep 16;356(9234):998. doi: 10.1016/S0140-6736(00)02718-5.
6
Cardiac cephalgia: a treatable form of exertional headache.
Neurology. 1997 Sep;49(3):813-6. doi: 10.1212/wnl.49.3.813.
7
Anginal headache and its basis.
Cephalalgia. 1997 May;17(3):195-6. doi: 10.1046/j.1468-2982.1997.1703195.x.
8
Headache caused by raised intracranial pressure and intracranial hypotension.
Curr Opin Neurol. 1996 Jun;9(3):214-8. doi: 10.1097/00019052-199606000-00011.

文献AI研究员

20分钟写一篇综述,助力文献阅读效率提升50倍。

立即体验

用中文搜PubMed

大模型驱动的PubMed中文搜索引擎

马上搜索

文档翻译

学术文献翻译模型,支持多种主流文档格式。

立即体验