• 文献检索
  • 文档翻译
  • 深度研究
  • 学术资讯
  • Suppr Zotero 插件Zotero 插件
  • 邀请有礼
  • 套餐&价格
  • 历史记录
应用&插件
Suppr Zotero 插件Zotero 插件浏览器插件Mac 客户端Windows 客户端微信小程序
定价
高级版会员购买积分包购买API积分包
服务
文献检索文档翻译深度研究API 文档MCP 服务
关于我们
关于 Suppr公司介绍联系我们用户协议隐私条款
关注我们

Suppr 超能文献

核心技术专利:CN118964589B侵权必究
粤ICP备2023148730 号-1Suppr @ 2026

文献检索

告别复杂PubMed语法,用中文像聊天一样搜索,搜遍4000万医学文献。AI智能推荐,让科研检索更轻松。

立即免费搜索

文件翻译

保留排版,准确专业,支持PDF/Word/PPT等文件格式,支持 12+语言互译。

免费翻译文档

深度研究

AI帮你快速写综述,25分钟生成高质量综述,智能提取关键信息,辅助科研写作。

立即免费体验

运动中下肢应力性骨折:优化其管理与预后

Lower limb stress fractures in sport: Optimising their management and outcome.

作者信息

Robertson Greg A J, Wood Alexander M

机构信息

Greg A J Robertson, Edinburgh Orthopaedic Trauma Unit, Royal Infirmary of Edinburgh, Edinburgh, Scotland EH16 4SA, United Kingdom.

出版信息

World J Orthop. 2017 Mar 18;8(3):242-255. doi: 10.5312/wjo.v8.i3.242.

DOI:10.5312/wjo.v8.i3.242
PMID:28361017
原文链接:https://pmc.ncbi.nlm.nih.gov/articles/PMC5359760/
Abstract

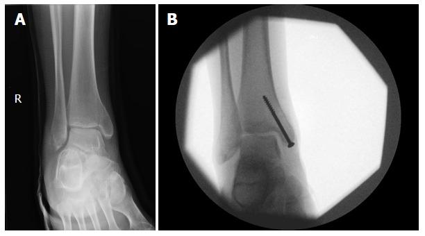
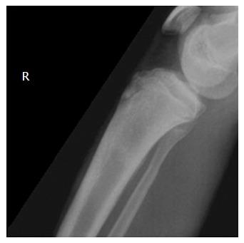
Stress fractures in sport are becoming increasing more common, comprising up to 10% of all of sporting injuries. Around 90% of such injuries are located in the lower limb. This articles aims to define the optimal management of lower limb stress fractures in the athlete, with a view to maximise return rates and minimise return times to sport. Treatment planning of this condition is specific to the location of the injury. However, there remains a clear division of stress fractures by "high" and "low" risk. "Low risk" stress fractures are those with a low probability of fracture propagation, delayed union, or non-union, and so can be managed reliably with rest and exercise limitation. These include stress fractures of the Postero-Medial Tibial Diaphysis, Metatarsal Shafts, Distal Fibula, Medial Femoral Neck, Femoral Shaft and Calcaneus. "High risk" stress fractures, in contrast, have increased rates of fracture propagation, displacement, delayed and non-union, and so require immediate cessation of activity, with orthopaedic referral, to assess the need for surgical intervention. These include stress fractures of the Anterior Tibial Diaphysis, Fifth Metatarsal Base, Medial Malleolus, Lateral Femoral Neck, Tarsal Navicular and Great Toe Sesamoids. In order to establish the optimal methods for managing these injuries, we present and review the current evidence which guides the treatment of stress fractures in athletes. From this, we note an increased role for surgical management of certain high risk stress fractures to improve return times and rates to sport. Following this, key recommendations are provided for the management of the common stress fracture types seen in the athlete. Five case reports are also presented to illustrate the application of sport-focussed lower limb stress fracture treatment in the clinical setting.

摘要

运动中的应力性骨折正变得越来越常见,占所有运动损伤的10%。此类损伤约90%位于下肢。本文旨在确定运动员下肢应力性骨折的最佳管理方法,以提高恢复率并缩短重返运动的时间。这种情况的治疗计划因损伤部位而异。然而,应力性骨折仍明显分为“高”风险和“低”风险。“低风险”应力性骨折是指骨折扩展、延迟愈合或不愈合概率较低的骨折,因此通过休息和限制运动即可可靠地进行处理。这些包括胫骨干后内侧、跖骨干、腓骨远端、股骨颈内侧、股骨干和跟骨的应力性骨折。相比之下,“高风险”应力性骨折的骨折扩展、移位、延迟愈合和不愈合发生率更高,因此需要立即停止活动,并转诊至骨科,以评估是否需要手术干预。这些包括胫骨干前侧、第五跖骨基底、内踝、股骨颈外侧、舟骨和拇趾籽骨的应力性骨折。为了确定管理这些损伤的最佳方法,我们展示并回顾了指导运动员应力性骨折治疗的现有证据。据此,我们注意到某些高风险应力性骨折的手术管理在缩短重返运动时间和提高恢复率方面的作用有所增加。在此之后,针对运动员常见应力性骨折类型的管理提供了关键建议。还给出了五个病例报告,以说明以运动为重点的下肢应力性骨折治疗在临床中的应用。

https://cdn.ncbi.nlm.nih.gov/pmc/blobs/3cd3/5359760/46ba3f1626d2/WJO-8-242-g005.jpg
https://cdn.ncbi.nlm.nih.gov/pmc/blobs/3cd3/5359760/f478f2878837/WJO-8-242-g001.jpg
https://cdn.ncbi.nlm.nih.gov/pmc/blobs/3cd3/5359760/28397f203523/WJO-8-242-g002.jpg
https://cdn.ncbi.nlm.nih.gov/pmc/blobs/3cd3/5359760/e95056639147/WJO-8-242-g003.jpg
https://cdn.ncbi.nlm.nih.gov/pmc/blobs/3cd3/5359760/dd6ee0b3ac30/WJO-8-242-g004.jpg
https://cdn.ncbi.nlm.nih.gov/pmc/blobs/3cd3/5359760/46ba3f1626d2/WJO-8-242-g005.jpg
https://cdn.ncbi.nlm.nih.gov/pmc/blobs/3cd3/5359760/f478f2878837/WJO-8-242-g001.jpg
https://cdn.ncbi.nlm.nih.gov/pmc/blobs/3cd3/5359760/28397f203523/WJO-8-242-g002.jpg
https://cdn.ncbi.nlm.nih.gov/pmc/blobs/3cd3/5359760/e95056639147/WJO-8-242-g003.jpg
https://cdn.ncbi.nlm.nih.gov/pmc/blobs/3cd3/5359760/dd6ee0b3ac30/WJO-8-242-g004.jpg
https://cdn.ncbi.nlm.nih.gov/pmc/blobs/3cd3/5359760/46ba3f1626d2/WJO-8-242-g005.jpg

相似文献

1
Lower limb stress fractures in sport: Optimising their management and outcome.运动中下肢应力性骨折:优化其管理与预后
World J Orthop. 2017 Mar 18;8(3):242-255. doi: 10.5312/wjo.v8.i3.242.
2
Stress Reaction and Fractures应激反应与骨折
3
High-Risk Stress Fractures: Diagnosis and Management.高危应力性骨折:诊断与管理
PM R. 2016 Mar;8(3 Suppl):S113-24. doi: 10.1016/j.pmrj.2015.09.019.
4
Fractures in sport: Optimising their management and outcome.运动中的骨折:优化其管理与治疗效果
World J Orthop. 2015 Dec 18;6(11):850-63. doi: 10.5312/wjo.v6.i11.850.
5
Stress fractures of the foot and ankle, part 2: site-specific etiology, imaging, and treatment, and differential diagnosis.足踝应力性骨折,第2部分:特定部位的病因、影像学、治疗及鉴别诊断。
Skeletal Radiol. 2017 Sep;46(9):1165-1186. doi: 10.1007/s00256-017-2632-7. Epub 2017 Mar 25.
6
Femoral Neck Stress Fractures in Sport: A Current Concepts Review.运动中的股骨颈应力性骨折:当前概念综述
Sports Med Int Open. 2017 Mar 15;1(2):E58-E68. doi: 10.1055/s-0043-103946. eCollection 2017 Feb.
7
High-risk stress fractures: evaluation and treatment.高危应力性骨折:评估与治疗
J Am Acad Orthop Surg. 2000 Nov-Dec;8(6):344-53. doi: 10.5435/00124635-200011000-00002.
8
Return to sport following scaphoid fractures: A systematic review and meta-analysis.舟骨骨折后恢复运动:一项系统评价与荟萃分析。
World J Orthop. 2019 Feb 18;10(2):101-114. doi: 10.5312/wjo.v10.i2.101.
9
Return to Sport After Tibial Shaft Fractures: A Systematic Review.胫骨干骨折后的运动恢复:一项系统综述
Sports Health. 2016 Jul;8(4):324-30. doi: 10.1177/1941738115601425. Epub 2015 Aug 18.
10
[Stress fractures].[应力性骨折]
Arh Hig Rada Toksikol. 2001 Dec;52(4):471-82.

引用本文的文献

1
Calcaneus and Traumatic Stress Fracture.跟骨与创伤性应力性骨折
J Orthop Case Rep. 2025 Sep;15(9):185-187. doi: 10.13107/jocr.2025.v15.i09.6062.
2
Gender Differences in the Incidence and Types of Sports Injuries Among Female Athletes: A Scoping Review.女运动员运动损伤发生率及类型的性别差异:一项范围综述
J Nurs Manag. 2025 Aug 30;2025:6416101. doi: 10.1155/jonm/6416101. eCollection 2025.
3
Influence of Manipulating Running Foot Strike Angle on Internal Loading of the Tibia.改变跑步着地角度对胫骨内部负荷的影响。

本文引用的文献

1
Stress fractures of the femoral neck in runners: a review.跑步者股骨颈的应力性骨折:综述。
Res Sports Med. 2016 Jul-Sep;24(3):185-99. doi: 10.1080/15438627.2016.1191489. Epub 2016 Jun 6.
2
Femoral Neck Stress Fracture: Can MRI Grade Help Predict Return-to-Running Time?股骨颈应力性骨折:MRI分级能否帮助预测恢复跑步的时间?
Am J Sports Med. 2016 Aug;44(8):2122-9. doi: 10.1177/0363546516648319. Epub 2016 Jun 3.
3
High-Risk Stress Fractures: Diagnosis and Management.高危应力性骨折:诊断与管理
Scand J Med Sci Sports. 2025 May;35(5):e70066. doi: 10.1111/sms.70066.
4
Application of Wearable Insole Sensors in In-Place Running: Estimating Lower Limb Load Using Machine Learning.可穿戴鞋垫传感器在原地跑步中的应用:使用机器学习估计下肢负荷
Biosensors (Basel). 2025 Feb 1;15(2):83. doi: 10.3390/bios15020083.
5
Recurrent Medial Malleolar Stress Fracture: A Case Report and Discussion of Risk Factors.复发性内踝应力性骨折:一例病例报告及危险因素讨论
Cureus. 2024 Oct 15;16(10):e71533. doi: 10.7759/cureus.71533. eCollection 2024 Oct.
6
Stress Fracture after Arthroscopic Lesser Trochanter Resection: Diagnosis and Therapy.关节镜下小转子切除术后应力性骨折:诊断与治疗
Hip Pelvis. 2024 Mar 1;36(1):70-75. doi: 10.5371/hp.2024.36.1.70.
7
Evaluation of Low-Intensity Pulsed Ultrasound on Stress Fractures to Reduce the Time to Return to Sport or Activity in the Physically Active Population: A Systematic Review.低强度脉冲超声对应力性骨折的评估,以减少体育活动人群恢复运动或活动的时间:一项系统评价
Cureus. 2023 Nov 20;15(11):e49129. doi: 10.7759/cureus.49129. eCollection 2023 Nov.
8
The Role of Footwear, Foot Orthosis, and Training-Related Strategies in the Prevention of Bone Stress Injuries: A Systematic Review and Meta-Analysis.鞋类、足部矫形器及训练相关策略在预防应力性骨损伤中的作用:一项系统评价与Meta分析
Int J Exerc Sci. 2023 Jun 1;16(3):721-743. doi: 10.70252/ZNRS2138. eCollection 2023.
9
Return to sport following toe phalanx fractures: A systematic review.趾骨骨折后恢复运动:一项系统评价
World J Orthop. 2023 Jun 18;14(6):471-484. doi: 10.5312/wjo.v14.i6.471.
10
[High-risk stress fractures in competitive athletes].[竞技运动员中的高危应力性骨折]
Unfallchirurgie (Heidelb). 2023 Nov;126(11):848-855. doi: 10.1007/s00113-023-01339-4. Epub 2023 Jun 21.
PM R. 2016 Mar;8(3 Suppl):S113-24. doi: 10.1016/j.pmrj.2015.09.019.
4
Fatigue Fracture of the Calcaneus: From Early Diagnosis to Treatment: A Case Report of a Triathlon Athlete.跟骨疲劳性骨折:从早期诊断到治疗——一名铁人三项运动员的病例报告
Am J Phys Med Rehabil. 2016 Jun;95(6):e79-83. doi: 10.1097/PHM.0000000000000457.
5
Observed Rates of Lower Extremity Stress Fractures After Implementation of the Army Physical Readiness Training Program at JBSA Fort Sam Houston.在圣安东尼奥联合基地萨姆休斯顿堡实施陆军体能训练计划后下肢应力性骨折的观察发生率
US Army Med Dep J. 2016 Jan-Mar:6-9.
6
Stress fractures of the foot and ankle.足踝部应力性骨折
Injury. 2017 Aug;48(8):1722-1726. doi: 10.1016/j.injury.2015.06.015. Epub 2015 Sep 15.
7
Return to sports after stress fractures of the tibial diaphysis: a systematic review.胫骨骨干应力性骨折后重返运动:系统评价。
Br Med Bull. 2015 Jun;114(1):95-111. doi: 10.1093/bmb/ldv006. Epub 2015 Feb 21.
8
The pathophysiology, diagnosis, and management of foot stress fractures.足部应力性骨折的病理生理学、诊断和治疗。
Phys Sportsmed. 2014 Nov;42(4):87-99. doi: 10.3810/psm.2014.11.2095.
9
The treatment and outcomes of medial malleolar stress fractures: a systematic review of the literature.内侧踝骨应力性骨折的治疗与结果:文献系统回顾。
Sports Health. 2014 Nov;6(6):527-30. doi: 10.1177/1941738114546089.
10
Stress fractures of the foot and ankle in athletes.运动员的足部和踝部应力性骨折。
Sports Health. 2014 Nov;6(6):481-91. doi: 10.1177/1941738113486588.