Suppr超能文献

活性氧在电离辐射诱导人单核细胞表面Toll样受体2和4表达上调中的作用

Involvement of reactive oxygen species in ionizing radiation-induced upregulation of cell surface Toll-like receptor 2 and 4 expression in human monocytic cells.

作者信息

Yoshino Hironori, Kashiwakura Ikuo

机构信息

Department of Radiation Science, Hirosaki University Graduate School of Health Sciences, 66-1 Hon-cho, Hirosaki, Aomori 036-8564, Japan.

出版信息

J Radiat Res. 2017 Sep 1;58(5):626-635. doi: 10.1093/jrr/rrx011.

Abstract

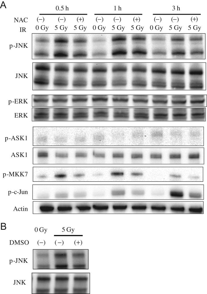
Toll-like receptors (TLRs) are pattern recognition receptors that recognize pathogen-associated molecular patterns and are indispensable for antibacterial and antiviral immunity. Our previous report showed that ionizing radiation increases the cell surface expressions of TLR2 and TLR4 and enhances their responses to agonists in human monocytic THP1 cells. The present study investigated how ionizing radiation increases the cell surface expressions of TLR2 and TLR4 in THP1 cells. The THP1 cells treated or not treated with pharmaceutical agents such as cycloheximide and N-acetyl-L-cysteine (NAC) were exposed to X-ray irradiation, following which the expressions of TLRs and mitogen-activated protein kinase were analyzed. X-ray irradiation increased the mRNA expressions of TLR2 and TLR4, and treatment with a protein synthesis inhibitor cycloheximide abolished the radiation-induced upregulation of their cell surface expressions. These results indicate that radiation increased those receptors through de novo protein synthesis. Furthermore, treatment with an antioxidant NAC suppressed not only the radiation-induced upregulation of cell surface expressions of TLR2 and TLR4, but also the radiation-induced activation of the c-Jun N-terminal kinase (JNK) pathway. Since it has been shown that the inhibitor for JNK can suppress the radiation-induced upregulation of TLR expression, the present results suggest that ionizing radiation increased the cell surface expressions of TLR2 and TLR4 through reactive oxygen species-mediated JNK activation.

摘要

Toll样受体(TLRs)是识别病原体相关分子模式的模式识别受体,对于抗菌和抗病毒免疫不可或缺。我们之前的报告显示,电离辐射可增加人单核细胞THP1细胞中TLR2和TLR4的细胞表面表达,并增强它们对激动剂的反应。本研究调查了电离辐射如何增加THP1细胞中TLR2和TLR4的细胞表面表达。用诸如环己酰亚胺和N-乙酰-L-半胱氨酸(NAC)等药剂处理或未处理的THP1细胞接受X射线照射,随后分析TLRs和丝裂原活化蛋白激酶的表达。X射线照射增加了TLR2和TLR4的mRNA表达,用蛋白质合成抑制剂环己酰亚胺处理消除了辐射诱导的它们细胞表面表达的上调。这些结果表明,辐射通过从头合成蛋白质增加了这些受体。此外,用抗氧化剂NAC处理不仅抑制了辐射诱导的TLR2和TLR4细胞表面表达的上调,还抑制了辐射诱导的c-Jun氨基末端激酶(JNK)途径的激活。由于已经表明JNK抑制剂可以抑制辐射诱导的TLR表达上调,因此本研究结果表明,电离辐射通过活性氧介导的JNK激活增加了TLR2和TLR4的细胞表面表达。

https://cdn.ncbi.nlm.nih.gov/pmc/blobs/ce95/5737079/ef76f2db90db/rrx011f01.jpg

文献AI研究员

20分钟写一篇综述,助力文献阅读效率提升50倍。

立即体验

用中文搜PubMed

大模型驱动的PubMed中文搜索引擎

马上搜索

文档翻译

学术文献翻译模型,支持多种主流文档格式。

立即体验