• 文献检索
  • 文档翻译
  • 深度研究
  • 学术资讯
  • Suppr Zotero 插件Zotero 插件
  • 邀请有礼
  • 套餐&价格
  • 历史记录
应用&插件
Suppr Zotero 插件Zotero 插件浏览器插件Mac 客户端Windows 客户端微信小程序
定价
高级版会员购买积分包购买API积分包
服务
文献检索文档翻译深度研究API 文档MCP 服务
关于我们
关于 Suppr公司介绍联系我们用户协议隐私条款
关注我们

Suppr 超能文献

核心技术专利:CN118964589B侵权必究
粤ICP备2023148730 号-1Suppr @ 2026

文献检索

告别复杂PubMed语法,用中文像聊天一样搜索,搜遍4000万医学文献。AI智能推荐,让科研检索更轻松。

立即免费搜索

文件翻译

保留排版,准确专业,支持PDF/Word/PPT等文件格式,支持 12+语言互译。

免费翻译文档

深度研究

AI帮你快速写综述,25分钟生成高质量综述,智能提取关键信息,辅助科研写作。

立即免费体验

肝星状细胞通过孤儿受体内皮细胞唾液酸糖蛋白 1 限制肝细胞癌的进展。

Hepatic stellate cells limit hepatocellular carcinoma progression through the orphan receptor endosialin.

机构信息

Division of Vascular Oncology and Metastasis, German Cancer Research Center Heidelberg (DKFZ-ZMBH Alliance), Heidelberg, Germany.

Institute of Pathology, Heidelberg University, Heidelberg, Germany.

出版信息

EMBO Mol Med. 2017 Jun;9(6):741-749. doi: 10.15252/emmm.201607222.

DOI:10.15252/emmm.201607222
PMID:28373218
原文链接:https://pmc.ncbi.nlm.nih.gov/articles/PMC5452049/
Abstract

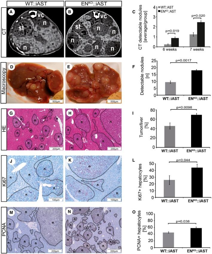
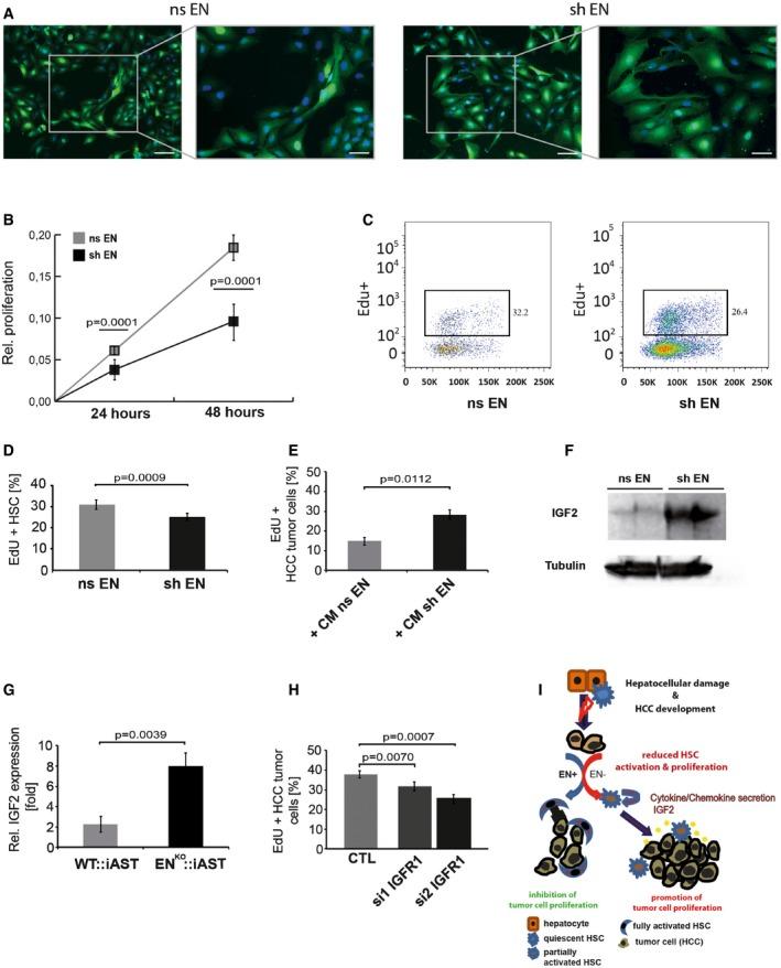
Hepatocellular carcinoma (HCC) is among the most common and deadliest cancers worldwide. A major contributor to HCC progression is the cross talk between tumor cells and the surrounding stroma including activated hepatic stellate cells (HSC). Activation of HSC during liver damage leads to upregulation of the orphan receptor endosialin (CD248), which contributes to regulating the balance of liver regeneration and fibrosis. Based on the established role of endosialin in regulating HSC/hepatocyte cross talk, we hypothesized that HSC-expressed endosialin might similarly affect cell proliferation during hepatocarcinogenesis. Indeed, the histological analysis of human HCC samples revealed an inverse correlation between tumor cell proliferation and stromal endosialin expression. Correspondingly, global genetic inactivation of endosialin resulted in accelerated tumor growth in an inducible mouse HCC model. A candidate-based screen of tumor lysates and differential protein arrays of cultured HSC identified several established hepatotropic cytokines, including IGF2, RBP4, DKK1, and CCL5 as being negatively regulated by endosialin. Taken together, the experiments identify endosialin-expressing HSC as a negative regulator of HCC progression.

摘要

肝细胞癌(HCC)是全球最常见和致命的癌症之一。肿瘤细胞与周围基质之间的串扰是 HCC 进展的主要原因之一,包括激活的肝星状细胞(HSC)。肝损伤期间 HSC 的激活导致孤儿受体内皮细胞唾液酸糖蛋白 1(endosialin,CD248)的上调,这有助于调节肝再生和纤维化的平衡。基于 endosialin 在调节 HSC/肝细胞串扰中的既定作用,我们假设 HSC 表达的 endosialin 可能同样会影响肝癌发生过程中的细胞增殖。事实上,对人类 HCC 样本的组织学分析显示,肿瘤细胞增殖与基质 endosialin 表达呈负相关。相应地,在诱导型小鼠 HCC 模型中,endosialin 的全局遗传失活导致肿瘤生长加速。对肿瘤裂解物的基于候选的筛选和培养的 HSC 的差异蛋白阵列分析鉴定出几种已建立的嗜肝细胞细胞因子,包括 IGF2、RBP4、DKK1 和 CCL5,它们受 endosialin 负调控。总之,这些实验确定表达 endosialin 的 HSC 是 HCC 进展的负调节剂。

https://cdn.ncbi.nlm.nih.gov/pmc/blobs/e57b/5452049/0971b4a6f426/EMMM-9-741-g006.jpg
https://cdn.ncbi.nlm.nih.gov/pmc/blobs/e57b/5452049/e2f490cc838c/EMMM-9-741-g002.jpg
https://cdn.ncbi.nlm.nih.gov/pmc/blobs/e57b/5452049/7255e771c8bd/EMMM-9-741-g004.jpg
https://cdn.ncbi.nlm.nih.gov/pmc/blobs/e57b/5452049/fa1d6bb6db43/EMMM-9-741-g003.jpg
https://cdn.ncbi.nlm.nih.gov/pmc/blobs/e57b/5452049/8ac445fe1489/EMMM-9-741-g005.jpg
https://cdn.ncbi.nlm.nih.gov/pmc/blobs/e57b/5452049/641bfa28e9b7/EMMM-9-741-g007.jpg
https://cdn.ncbi.nlm.nih.gov/pmc/blobs/e57b/5452049/0971b4a6f426/EMMM-9-741-g006.jpg
https://cdn.ncbi.nlm.nih.gov/pmc/blobs/e57b/5452049/e2f490cc838c/EMMM-9-741-g002.jpg
https://cdn.ncbi.nlm.nih.gov/pmc/blobs/e57b/5452049/7255e771c8bd/EMMM-9-741-g004.jpg
https://cdn.ncbi.nlm.nih.gov/pmc/blobs/e57b/5452049/fa1d6bb6db43/EMMM-9-741-g003.jpg
https://cdn.ncbi.nlm.nih.gov/pmc/blobs/e57b/5452049/8ac445fe1489/EMMM-9-741-g005.jpg
https://cdn.ncbi.nlm.nih.gov/pmc/blobs/e57b/5452049/641bfa28e9b7/EMMM-9-741-g007.jpg
https://cdn.ncbi.nlm.nih.gov/pmc/blobs/e57b/5452049/0971b4a6f426/EMMM-9-741-g006.jpg

相似文献

1
Hepatic stellate cells limit hepatocellular carcinoma progression through the orphan receptor endosialin.肝星状细胞通过孤儿受体内皮细胞唾液酸糖蛋白 1 限制肝细胞癌的进展。
EMBO Mol Med. 2017 Jun;9(6):741-749. doi: 10.15252/emmm.201607222.
2
Hepatic stellate cell-expressed endosialin balances fibrogenesis and hepatocyte proliferation during liver damage.肝星状细胞表达的内涎蛋白在肝损伤期间平衡纤维化和肝细胞增殖。
EMBO Mol Med. 2015 Mar;7(3):332-8. doi: 10.15252/emmm.201404246.
3
Interaction with CD68 and Regulation of GAS6 Expression by Endosialin in Fibroblasts Drives Recruitment and Polarization of Macrophages in Hepatocellular Carcinoma.内皮细胞唾液酸糖蛋白受体与 CD68 相互作用并调控成纤维细胞中生长停滞特异性 6 基因表达,从而促进肝癌中巨噬细胞的募集和极化。
Cancer Res. 2020 Sep 15;80(18):3892-3905. doi: 10.1158/0008-5472.CAN-19-2691. Epub 2020 Jun 26.
4
Endosialin-positive CAFs promote hepatocellular carcinoma progression by suppressing CD8 T cell infiltration.内皮细胞黏附分子阳性成纤维细胞通过抑制 CD8+T 细胞浸润促进肝细胞癌进展。
J Immunother Cancer. 2024 Sep 10;12(9):e009111. doi: 10.1136/jitc-2024-009111.
5
CTGF Mediates Tumor-Stroma Interactions between Hepatoma Cells and Hepatic Stellate Cells to Accelerate HCC Progression.CTGF 介导肝癌细胞与肝星状细胞之间的肿瘤-基质相互作用,加速 HCC 进展。
Cancer Res. 2018 Sep 1;78(17):4902-4914. doi: 10.1158/0008-5472.CAN-17-3844. Epub 2018 Jul 2.
6
Activated hepatic stellate cells promote tumorigenicity of hepatocellular carcinoma.活化的肝星状细胞促进肝细胞癌的致瘤性。
Cancer Sci. 2009 Apr;100(4):646-53. doi: 10.1111/j.1349-7006.2009.01087.x. Epub 2009 Jan 21.
7
Periostin involved in the activated hepatic stellate cells-induced progression of residual hepatocellular carcinoma after sublethal heat treatment: its role and potential for therapeutic inhibition.骨桥蛋白参与亚致死热疗后激活的肝星状细胞诱导残余肝细胞癌的进展:其作用和治疗抑制的潜力。
J Transl Med. 2018 Nov 6;16(1):302. doi: 10.1186/s12967-018-1676-3.
8
Fibroblast Growth Factor 9 is expressed by activated hepatic stellate cells and promotes progression of hepatocellular carcinoma.成纤维细胞生长因子 9 由活化的肝星状细胞表达,并促进肝细胞癌的进展。
Sci Rep. 2020 Mar 11;10(1):4546. doi: 10.1038/s41598-020-61510-4.
9
Opposing roles of hepatic stellate cell subpopulations in hepatocarcinogenesis.肝星状细胞亚群在肝癌发生中的相反作用。
Nature. 2022 Oct;610(7931):356-365. doi: 10.1038/s41586-022-05289-6. Epub 2022 Oct 5.
10
Hypoxia-inducible Factor may Induce the Development of Liver Fibrosis in Budd-Chiari Syndrome by Regulating CD248/endosialin Expression: A Hypothesis.缺氧诱导因子可能通过调节CD248/内涎蛋白表达诱导布加综合征肝纤维化的发生:一种假说
J Transl Int Med. 2018 Jun 26;6(2):66-69. doi: 10.2478/jtim-2018-0018. eCollection 2018 Jun.

引用本文的文献

1
Decreased proliferation of HepG2 liver cancer cells in vitro and exhibited proteomic changes in vivo in subjects with metabolic syndrome and metabolic dysfunction-associated steatotic liver disease who performed four-week dawn-to-dusk dry fasting.在进行了为期四周从黎明到黄昏的完全禁食的代谢综合征和代谢功能障碍相关脂肪性肝病患者体内,体外培养的HepG2肝癌细胞增殖减少,并表现出蛋白质组学变化。
Clin Proteomics. 2025 Jun 24;22(1):25. doi: 10.1186/s12014-025-09547-3.
2
Role of the RAB27/SYTL Axis in Tumor Microenvironment Construction.RAB27/SYTL轴在肿瘤微环境构建中的作用。
Cancer Sci. 2025 Jul;116(7):1815-1822. doi: 10.1111/cas.70096. Epub 2025 May 4.
3

本文引用的文献

1
The Role of Cancer-Associated Fibroblasts and Fibrosis in Liver Cancer.癌症相关成纤维细胞和纤维化在肝癌中的作用
Annu Rev Pathol. 2017 Jan 24;12:153-186. doi: 10.1146/annurev-pathol-052016-100322. Epub 2016 Dec 5.
2
Endosialin-Expressing Pericytes Promote Metastatic Dissemination.内皮细胞唾液酸糖蛋白受体阳性的周细胞促进转移灶的扩散。
Cancer Res. 2016 Sep 15;76(18):5313-25. doi: 10.1158/0008-5472.CAN-16-0932.
3
"Fibrous nests" in human hepatocellular carcinoma express a Wnt-induced gene signature associated with poor clinical outcome.
POU6F2 promotes liver metastasis of gastric adenocarcinoma by dual mechanism of transcriptional upregulation of SNAI1 and IGF2/PI3K/AKT signaling-induced conversion of hepatic stellate cells into cancer-associated fibroblasts.
POU6F2通过SNAI1转录上调和IGF2/PI3K/AKT信号诱导肝星状细胞转化为癌症相关成纤维细胞的双重机制促进胃腺癌的肝转移。
Br J Cancer. 2025 Apr 29. doi: 10.1038/s41416-025-03017-1.
4
Hepatocellular Carcinoma: Old and Emerging Therapeutic Targets.肝细胞癌:既往及新出现的治疗靶点
Cancers (Basel). 2024 Feb 23;16(5):901. doi: 10.3390/cancers16050901.
5
ASPSCR1::TFE3 orchestrates the angiogenic program of alveolar soft part sarcoma.ASPSCR1::TFE3 调控肺泡软组织肉瘤的血管生成程序。
Nat Commun. 2023 Apr 7;14(1):1957. doi: 10.1038/s41467-023-37049-z.
6
The tumor microenvironment of hepatocellular carcinoma and its targeting strategy by CAR-T cell immunotherapy.肝细胞癌的肿瘤微环境及其通过 CAR-T 细胞免疫治疗的靶向策略。
Front Endocrinol (Lausanne). 2022 Aug 25;13:918869. doi: 10.3389/fendo.2022.918869. eCollection 2022.
7
Novel Nanotechnology Approaches to Overcome Drug Resistance in the Treatment of Hepatocellular Carcinoma: Glypican 3 as a Useful Target for Innovative Therapies.新型纳米技术方法克服肝癌治疗中的药物耐药性:Glypican 3 作为创新疗法的有用靶点。
Int J Mol Sci. 2022 Sep 2;23(17):10038. doi: 10.3390/ijms231710038.
8
Hepatic stellate cell mediates transcription of TNFSF14 in hepatocellular carcinoma cells via HS/CSE-JNK/JunB signaling pathway.肝星状细胞通过 HS/CSE-JNK/JunB 信号通路介导肝癌细胞中 TNFSF14 的转录。
Cell Death Dis. 2022 Mar 15;13(3):238. doi: 10.1038/s41419-022-04678-z.
9
Hepatocellular Carcinoma: Molecular Pathogenesis and Therapeutic Advances.肝细胞癌:分子发病机制与治疗进展
Cancers (Basel). 2022 Jan 26;14(3):621. doi: 10.3390/cancers14030621.
10
Nondegradable Collagen Increases Liver Fibrosis but Not Hepatocellular Carcinoma in Mice.不可降解胶原蛋白增加小鼠肝纤维化但不增加肝癌。
Am J Pathol. 2021 Sep;191(9):1564-1579. doi: 10.1016/j.ajpath.2021.05.019. Epub 2021 Jun 11.
人类肝细胞癌中的“纤维巢”表达与不良临床预后相关的Wnt诱导基因特征。
Int J Biochem Cell Biol. 2016 Dec;81(Pt A):195-207. doi: 10.1016/j.biocel.2016.08.017. Epub 2016 Aug 18.
4
Role of CD248 as a potential severity marker in idiopathic pulmonary fibrosis.CD248作为特发性肺纤维化潜在严重程度标志物的作用。
BMC Pulm Med. 2016 Apr 14;16(1):51. doi: 10.1186/s12890-016-0211-7.
5
CD248/Endosialin: A Novel Pericyte Target in Renal Fibrosis.CD248/内涎蛋白:肾纤维化中的一种新型周细胞靶点。
Nephron. 2015;131(4):262-4. doi: 10.1159/000440890. Epub 2015 Dec 11.
6
Activated hepatic stellate cells promote angiogenesis via interleukin-8 in hepatocellular carcinoma.活化的肝星状细胞通过白细胞介素-8促进肝细胞癌中的血管生成。
J Transl Med. 2015 Nov 22;13:365. doi: 10.1186/s12967-015-0730-7.
7
Targeting endosialin/CD248 through antibody-mediated internalization results in impaired pericyte maturation and dysfunctional tumor microvasculature.通过抗体介导的内化作用靶向endosialin/CD248会导致周细胞成熟受损和肿瘤微血管功能失调。
Oncotarget. 2015 Sep 22;6(28):25429-40. doi: 10.18632/oncotarget.4559.
8
Hepatic stellate cells: central modulators of hepatic carcinogenesis.肝星状细胞:肝癌发生的核心调节因子
BMC Gastroenterol. 2015 May 27;15:63. doi: 10.1186/s12876-015-0291-5.
9
Targeting the tumor stroma in hepatocellular carcinoma.靶向肝细胞癌中的肿瘤基质。
World J Hepatol. 2015 Feb 27;7(2):165-76. doi: 10.4254/wjh.v7.i2.165.
10
Hepatic stellate cell-expressed endosialin balances fibrogenesis and hepatocyte proliferation during liver damage.肝星状细胞表达的内涎蛋白在肝损伤期间平衡纤维化和肝细胞增殖。
EMBO Mol Med. 2015 Mar;7(3):332-8. doi: 10.15252/emmm.201404246.