Suppr超能文献

慢性肉芽肿病在一名既往健康的年轻女性中表现为烟曲霉肺炎。

Chronic Granulomatous Disease Presenting as Aspergillus Fumigatus Pneumonia in a Previously Healthy Young Woman.

作者信息

Williams David, Kadaria Dipen, Sodhi Amik, Fox Roy, Williams Glenn, Threlkeld Stephen

机构信息

Department of Pulmonary, Critical Care, and Sleep Medicine, University of Tennessee Health Science Center, Memphis, TN, USA.

Department of Pulmonary Critical Care, Baptist Memorial Health Care, Memphis, TN, USA.

出版信息

Am J Case Rep. 2017 Apr 5;18:351-354. doi: 10.12659/ajcr.902764.

Abstract

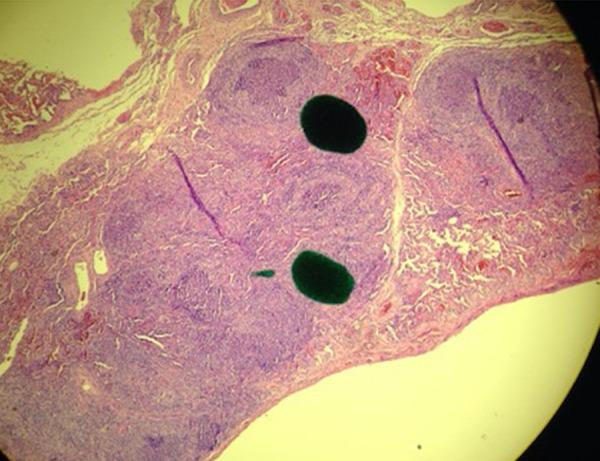
BACKGROUND Chronic Granulomatous Disease (CGD) is a rare immunodeficiency disease caused by a genetic defect in the NADPH (nicotinamide adenine dinucleotide phosphate) oxidase enzyme, resulting in increased susceptibility to bacterial and fungal infections. The inheritance can be X-linked or autosomal recessive. Patients usually present with repeated infections early in life. We present an unusual case of a 23-year-old patient diagnosed with CGD. CASE REPORT A 23-year-old white woman with no previous history of recurrent infections presented with complaints of fever, shortness of breath, and diffuse myalgia. She had been treated twice for similar complaints recently, but without resolution. She was febrile, tachypneic, tachycardic, and hypoxic at presentation. Physical examination revealed diffuse inspiratory rales. Laboratory results showed leukocytosis. Her initial chest X-ray and CT chest showed reticular nodular interstitial lung disease pattern. Despite being on broad-spectrum antibiotics for 5 days, she continued to require supplemental oxygen and continued to be tachypneic, with minimal activity. Initial diagnostic tests, including bronchoscopy with biopsy and lavage, did not reveal a diagnosis. She then underwent a video-assisted thoracoscopic surgery (VATS) lung biopsy. The biopsy slides showed suppurative granulomatous inflammation affecting greater than 50% of the parenchymal lung surface. Fungal hyphae consistent with Aspergillus were present in those granulomas. A diagnosis of CGD was made and she was started on Voriconazole. She improved with treatment. Her neutrophil burst test showed negative burst on stimulation, indicating phagocytic dysfunction consistent with CGD. Autosomal recessive CGD was confirmed by genetic testing. CONCLUSIONS CGD can present in adulthood without any previous symptoms and signs. Clinicians should consider this disease in patients presenting with recurrent or non-resolving infections. Timely treatment and prophylaxis has been shown to reduce serious infections as well as mortality in these patients.

摘要

背景

慢性肉芽肿病(CGD)是一种罕见的免疫缺陷病,由烟酰胺腺嘌呤二核苷酸磷酸(NADPH)氧化酶的基因缺陷引起,导致对细菌和真菌感染的易感性增加。其遗传方式可为X连锁或常染色体隐性遗传。患者通常在生命早期就出现反复感染。我们报告一例23岁被诊断为CGD的不寻常病例。

病例报告

一名23岁无反复感染病史的白人女性,出现发热、呼吸急促和弥漫性肌痛的症状。她最近因类似症状接受过两次治疗,但均未缓解。就诊时发热、呼吸急促、心动过速且缺氧。体格检查发现弥漫性吸气性啰音。实验室检查结果显示白细胞增多。她最初的胸部X线和胸部CT显示为网状结节状间质性肺病模式。尽管使用广谱抗生素治疗了5天,但她仍需持续吸氧,呼吸急促仍未缓解,活动能力极低。包括支气管镜活检和灌洗在内的初步诊断检查未明确诊断。随后她接受了电视辅助胸腔镜手术(VATS)肺活检。活检切片显示化脓性肉芽肿性炎症累及超过50%的肺实质表面。这些肉芽肿中存在与曲霉菌相符的真菌菌丝。诊断为CGD,并开始使用伏立康唑治疗。她的病情经治疗后有所改善。她的中性粒细胞爆发试验显示刺激后爆发为阴性,表明存在与CGD相符的吞噬功能障碍。基因检测证实为常染色体隐性CGD。

结论

CGD可在成年期出现,之前无任何症状和体征。临床医生对于出现反复或未缓解感染的患者应考虑此病。已证明及时治疗和预防可减少这些患者的严重感染及死亡率。

https://cdn.ncbi.nlm.nih.gov/pmc/blobs/3a0c/5388307/2cd210f17fd1/amjcaserep-18-351-g001.jpg

文献检索

告别复杂PubMed语法,用中文像聊天一样搜索,搜遍4000万医学文献。AI智能推荐,让科研检索更轻松。

立即免费搜索

文件翻译

保留排版,准确专业,支持PDF/Word/PPT等文件格式,支持 12+语言互译。

免费翻译文档

深度研究

AI帮你快速写综述,25分钟生成高质量综述,智能提取关键信息,辅助科研写作。

立即免费体验