Suppr超能文献

头部损伤和轻度创伤性脑损伤后脑执行功能障碍——日本行政支持实施的神经影像学及诊断标准

Disorder of Executive Function of the Brain after Head Injury and Mild Traumatic Brain Injury - Neuroimaging and Diagnostic Criteria for Implementation of Administrative Support in Japan.

作者信息

Shinoda Jun, Asano Yoshitaka

机构信息

Chubu Medical Center for Prolonged Traumatic Brain Dysfunction, Kizawa Memorial Hospital.

Department of Clinical Brain Sciences, Gifu University Graduate School of Medicine.

出版信息

Neurol Med Chir (Tokyo). 2017 May 15;57(5):199-209. doi: 10.2176/nmc.ra.2016-0293. Epub 2017 Apr 6.

Abstract

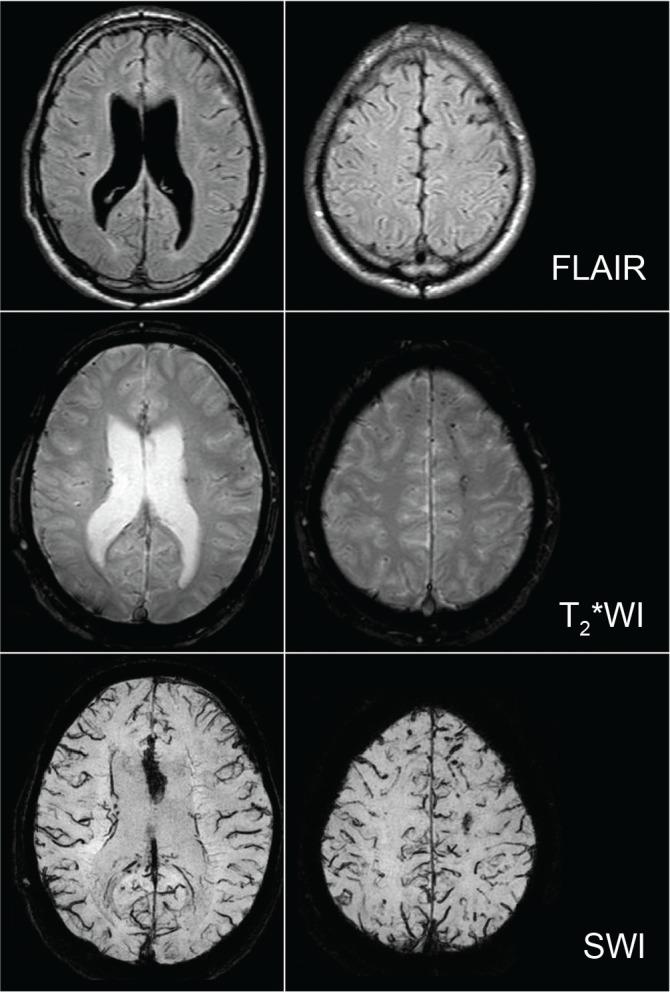
The diagnotic criteria for disorder of the executive function of the brain (DEFB) as a syndrome of sequela were administratively established (ad-DEFB) in Japan in 2006 to support disabled patients whose impairment, limited to cognition (memory, attention, execution, and behavior), emerges after organic brain injuries regardless of physical deficits. However, some patients suffering from traumatic brain injury (TBI) have been excluded from receiving medico-social services. In particular, this tendency is more prominent in patients with mild TBI because no lesions are apparent on conventional computed tomography (CT) or magnetic resonance imaging (MRI) in the chronic phase. Recent development of new MRI neuroimaging modalities and positron emission tomography (PET) imaging makes it possible to detect regions of minute organic lesions and metabolic dysfunction in the brain where organic lesions may be absent or cannot be detected on conventional CT or MRI. In this review, we discuss diagnostic criteria for mild TBI and ad-DEFB, the relationship between the two disorders, characteristic neuroimaging [(MRI and 18F-fluorodeoxyglucose-positron emission tomography (FDG-PET)] of diffuse brain injury including cerebral concussion, which is the principal cause of mild TBI, and suggested pathological mechanisms of ad-DEFB in DBI.

摘要

2006年,日本行政管理部门制定了脑执行功能障碍(DEFB)后遗症综合征的诊断标准(ad-DEFB),以支持那些在器质性脑损伤后出现认知障碍(记忆、注意力、执行能力和行为)但无身体缺陷的残疾患者。然而,一些创伤性脑损伤(TBI)患者被排除在接受医疗社会服务之外。特别是在轻度TBI患者中这种趋势更为明显,因为在慢性期常规计算机断层扫描(CT)或磁共振成像(MRI)上没有明显病变。新的MRI神经成像技术和正电子发射断层扫描(PET)成像的最新发展使得检测大脑中微小器质性病变区域和代谢功能障碍成为可能,而这些区域在常规CT或MRI上可能不存在或无法检测到。在这篇综述中,我们讨论了轻度TBI和ad-DEFB的诊断标准、这两种疾病之间的关系、包括脑震荡(轻度TBI的主要原因)在内的弥漫性脑损伤的特征性神经成像[MRI和18F-氟脱氧葡萄糖-正电子发射断层扫描(FDG-PET)],以及DBI中ad-DEFB的推测病理机制。

https://cdn.ncbi.nlm.nih.gov/pmc/blobs/567c/5447811/16b74f77024e/nmc-57-199-g1.jpg

文献AI研究员

20分钟写一篇综述,助力文献阅读效率提升50倍。

立即体验

用中文搜PubMed

大模型驱动的PubMed中文搜索引擎

马上搜索

文档翻译

学术文献翻译模型,支持多种主流文档格式。

立即体验