Taniguchi Tomoki, Takahashi Yoshito, Taniguchi Mitsuhiro, Yamada Toru, Ishida Kenichiro
Department of Urology, Gifu Prefectural General Medical Center, 4-6-1 Noishiki, Gifu 500-8717, Japan.
Case Rep Urol. 2017;2017:3935082. doi: 10.1155/2017/3935082. Epub 2017 Mar 15.
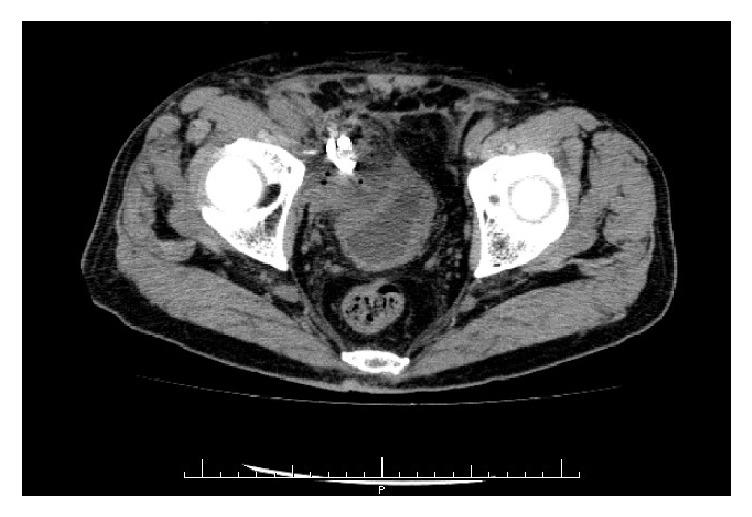
Pelvic lymphoceles are an infrequent complication after pelvic surgery and develop shortly after the surgery in most cases. We experienced a case of delayed infection of a lymphocele 6 months after robot-assisted radical prostatectomy (RARP) and pelvic lymphadenectomy. In this case, antimicrobial chemotherapy and percutaneous drainage were effective, and there was no recurrence of the disease. Most urologists do not recognize that infected lymphoceles can develop a long time after surgery; thus, infected lymphoceles should be kept in mind in patients with nonspecific infectious symptoms, regardless of the length of time after surgery.
盆腔淋巴囊肿是盆腔手术后罕见的并发症,多数情况下在术后不久就会出现。我们遇到一例在机器人辅助根治性前列腺切除术(RARP)和盆腔淋巴结清扫术后6个月发生的淋巴囊肿延迟感染病例。在该病例中,抗菌化疗和经皮引流有效,且疾病未复发。大多数泌尿外科医生并未认识到感染性淋巴囊肿可在手术后很长时间才出现;因此,对于有非特异性感染症状的患者,无论术后时间长短,都应考虑到感染性淋巴囊肿的可能。