• 文献检索
  • 文档翻译
  • 深度研究
  • 学术资讯
  • Suppr Zotero 插件Zotero 插件
  • 邀请有礼
  • 套餐&价格
  • 历史记录
应用&插件
Suppr Zotero 插件Zotero 插件浏览器插件Mac 客户端Windows 客户端微信小程序
定价
高级版会员购买积分包购买API积分包
服务
文献检索文档翻译深度研究API 文档MCP 服务
关于我们
关于 Suppr公司介绍联系我们用户协议隐私条款
关注我们

Suppr 超能文献

核心技术专利:CN118964589B侵权必究
粤ICP备2023148730 号-1Suppr @ 2026

文献检索

告别复杂PubMed语法,用中文像聊天一样搜索,搜遍4000万医学文献。AI智能推荐,让科研检索更轻松。

立即免费搜索

文件翻译

保留排版,准确专业,支持PDF/Word/PPT等文件格式,支持 12+语言互译。

免费翻译文档

深度研究

AI帮你快速写综述,25分钟生成高质量综述,智能提取关键信息,辅助科研写作。

立即免费体验

感染性盆腔淋巴囊肿与乙状结肠之间形成瘘管:盆腔淋巴结清扫术的一种罕见并发症。

Fistula formation between infected pelvic lymphocele and sigmoid colon: A rare complication of pelvic lymphadenectomy.

作者信息

Allioui Soukaina, Sninate Sanae, Jerguigue Hounayda, Latib Rachida, Omor Youssef

机构信息

Radiology Department, National Institute of Oncology, Mohammed V University in Rabat, Rabat, Morocco.

出版信息

Radiol Case Rep. 2021 Jan 12;16(3):707-709. doi: 10.1016/j.radcr.2021.01.001. eCollection 2021 Mar.

DOI:10.1016/j.radcr.2021.01.001
PMID:33488904
原文链接:https://pmc.ncbi.nlm.nih.gov/articles/PMC7807091/
Abstract

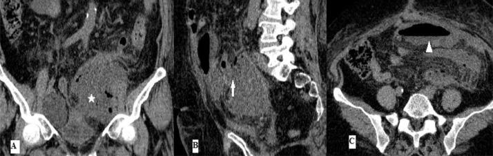
Lymphocele formation following pelvic lymphadenectomy is a well-known complication. In this article, we report a 56 years old female patient with a pelvic infected lymphocele fistulised in the sigmoid discovered in imaging 2 months after pelvic surgery. Lymphocele complications are rare and their diagnosis is based on imaging. However, lymphocele as a potential cause for fistula in the bowel as a particular new case has not been found in literature search.

摘要

盆腔淋巴结清扫术后淋巴囊肿形成是一种众所周知的并发症。在本文中,我们报告了一名56岁女性患者,她在盆腔手术后2个月的影像学检查中发现盆腔感染性淋巴囊肿与乙状结肠形成瘘管。淋巴囊肿并发症较为罕见,其诊断基于影像学检查。然而,在文献检索中未发现淋巴囊肿作为肠道瘘管潜在病因这一特殊新病例。

https://cdn.ncbi.nlm.nih.gov/pmc/blobs/12e5/7807091/50ca4c2eaef7/gr3.jpg
https://cdn.ncbi.nlm.nih.gov/pmc/blobs/12e5/7807091/c2ed73be0e73/gr1.jpg
https://cdn.ncbi.nlm.nih.gov/pmc/blobs/12e5/7807091/c96c4eb4772d/gr2.jpg
https://cdn.ncbi.nlm.nih.gov/pmc/blobs/12e5/7807091/50ca4c2eaef7/gr3.jpg
https://cdn.ncbi.nlm.nih.gov/pmc/blobs/12e5/7807091/c2ed73be0e73/gr1.jpg
https://cdn.ncbi.nlm.nih.gov/pmc/blobs/12e5/7807091/c96c4eb4772d/gr2.jpg
https://cdn.ncbi.nlm.nih.gov/pmc/blobs/12e5/7807091/50ca4c2eaef7/gr3.jpg

相似文献

1
Fistula formation between infected pelvic lymphocele and sigmoid colon: A rare complication of pelvic lymphadenectomy.感染性盆腔淋巴囊肿与乙状结肠之间形成瘘管:盆腔淋巴结清扫术的一种罕见并发症。
Radiol Case Rep. 2021 Jan 12;16(3):707-709. doi: 10.1016/j.radcr.2021.01.001. eCollection 2021 Mar.
2
First case of -infected pelvic lymphocele post-lymphadenectomy for endometrial cancer: A case report.子宫内膜癌淋巴结清扫术后感染性盆腔淋巴囊肿首例病例报告
Heliyon. 2023 Oct 21;9(11):e21396. doi: 10.1016/j.heliyon.2023.e21396. eCollection 2023 Nov.
3
Complications of pelvic lymphadenectomy in 1,380 patients undergoing radical retropubic prostatectomy between 1993 and 2006.1993年至2006年间1380例行根治性耻骨后前列腺切除术患者的盆腔淋巴结清扫并发症。
J Urol. 2008 Mar;179(3):923-8; discussion 928-9. doi: 10.1016/j.juro.2007.10.072. Epub 2008 Jan 22.
4
Delayed infection of a pelvic lymphocele following robotic radical prostatectomy and pelvic lymphadenectomy: two cases.机器人辅助根治性前列腺切除术和盆腔淋巴结清扫术后盆腔淋巴囊肿的延迟感染:两例报告
Urol Int. 2009;83(4):479-81. doi: 10.1159/000251192. Epub 2009 Dec 8.
5
[A case of delayed infection of a pelvic lymphocele following radical prostatectomy 4 months after operation].[1例前列腺癌根治术后4个月发生盆腔淋巴囊肿延迟感染的病例]
Hinyokika Kiyo. 2003 Jul;49(7):419-21.
6
Delayed infection of a pelvic lymphocele following pelvic lymphadenectomy.盆腔淋巴结清扫术后盆腔淋巴囊肿的延迟感染。
Urology. 1996 Jan;47(1):140-2. doi: 10.1016/s0090-4295(99)80402-6.
7
Transvaginal lymphatic embolization of the fistula between a pelvic lymphocele and the vaginal stump following radical hysterectomy and sentinel pelvic lymph node biopsy in a patient with cervical cancer: A case report.宫颈癌患者根治性子宫切除术后盆腔淋巴结清扫及前哨盆腔淋巴结活检后盆腔淋巴囊肿与阴道残端瘘的经阴道淋巴管栓塞术:一例报告
Mol Clin Oncol. 2022 Feb;16(2):49. doi: 10.3892/mco.2021.2482. Epub 2021 Dec 24.
8
An unusual localization of seven months delayed pelvic lymphocele following radical retropubic prostatectomy: Case report and literature review.耻骨后根治性前列腺切除术后七个月延迟出现的盆腔淋巴囊肿的罕见定位:病例报告及文献综述
Int J Surg Case Rep. 2018;44:181-184. doi: 10.1016/j.ijscr.2018.02.036. Epub 2018 Mar 6.
9
A successful case of a para-aortic lymphocele treated with autologous peripheral blood injection.1例经自体外周血注射治疗成功的主动脉旁淋巴管瘤病例。
Radiol Case Rep. 2017 Sep 28;12(4):760-763. doi: 10.1016/j.radcr.2017.08.014. eCollection 2017 Dec.
10
Synthetic cyanoacrylic glue in the prevention of post-operative lymphocele after pelvic lymphadenectomy in patients with uterine malignancies: A prospective, single-blind, preliminary study.合成氰基丙烯酸酯胶在妇科恶性肿瘤患者盆腔淋巴结清扫术后预防淋巴囊肿中的应用:一项前瞻性、单盲、初步研究。
Gynecol Oncol. 2014 Sep;134(3):556-60. doi: 10.1016/j.ygyno.2014.06.015. Epub 2014 Jun 23.

本文引用的文献

1
Risk factors, complications and management of lymphocele formation after radical prostatectomy: A mini-review.根治性前列腺切除术后淋巴囊肿形成的危险因素、并发症及处理:小型综述。
Int J Urol. 2019 Jul;26(7):711-716. doi: 10.1111/iju.13964. Epub 2019 Apr 2.
2
Risk factors and a prediction model for lower limb lymphedema following lymphadenectomy in gynecologic cancer: a hospital-based retrospective cohort study.妇科癌症淋巴结清扫术后下肢淋巴水肿的危险因素及预测模型:一项基于医院的回顾性队列研究。
BMC Womens Health. 2017 Jul 25;17(1):50. doi: 10.1186/s12905-017-0403-1.
3
Delayed Infection of a Lymphocele following RARP in a Patient with Nonspecific Symptoms.
一名有非特异性症状的患者在机器人辅助根治性前列腺切除术后迟发性淋巴囊肿感染
Case Rep Urol. 2017;2017:3935082. doi: 10.1155/2017/3935082. Epub 2017 Mar 15.
4
Delayed complication of pelvic lymphocele: Ileal conduit obstruction.盆腔淋巴囊肿的延迟并发症:回肠膀胱通道梗阻。
Indian J Urol. 2015 Jul-Sep;31(3):254-5. doi: 10.4103/0970-1591.159660.
5
Lymphadenectomy for bladder cancer: indications and controversies.膀胱癌淋巴结切除术:适应证和争议。
Urol Clin North Am. 2011 Nov;38(4):397-405, v. doi: 10.1016/j.ucl.2011.07.011.
6
Lymphoceles, lymphorrhea, and lymphedema after laparoscopic and open endometrial cancer staging.腹腔镜和开腹子宫内膜癌分期手术后的淋巴囊肿、淋巴漏和淋巴水肿。
Ann Surg Oncol. 2012 Jan;19(1):259-67. doi: 10.1245/s10434-011-1854-5. Epub 2011 Jun 22.
7
An analysis of the risk factors and management of lymphocele after pelvic lymphadenectomy in patients with gynecologic malignancies.分析妇科恶性肿瘤患者盆腔淋巴结清扫术后淋巴囊肿的危险因素及处理方法。
Cancer Res Treat. 2004 Dec;36(6):377-83. doi: 10.4143/crt.2004.36.6.377. Epub 2004 Dec 31.
8
CT findings in urinary diversion after radical cystectomy: postsurgical anatomy and complications.根治性膀胱切除术后尿流改道的CT表现:术后解剖结构与并发症
Radiographics. 2009 Mar-Apr;29(2):461-76. doi: 10.1148/rg.292085146.
9
[Post-operative fibrosis: pathophysiological aspects and therapeutical perspectives].[术后纤维化:病理生理学方面及治疗前景]
Chir Main. 2008 Dec;27(6):256-65. doi: 10.1016/j.main.2008.09.003. Epub 2008 Oct 18.
10
Lymphocyst formation following pelvic lymphadenectomy.盆腔淋巴结清扫术后淋巴囊肿形成。
Am J Obstet Gynecol. 1959 Dec;78:1298-300. doi: 10.1016/0002-9378(59)90593-9.