• 文献检索
  • 文档翻译
  • 深度研究
  • 学术资讯
  • Suppr Zotero 插件Zotero 插件
  • 邀请有礼
  • 套餐&价格
  • 历史记录
应用&插件
Suppr Zotero 插件Zotero 插件浏览器插件Mac 客户端Windows 客户端微信小程序
定价
高级版会员购买积分包购买API积分包
服务
文献检索文档翻译深度研究API 文档MCP 服务
关于我们
关于 Suppr公司介绍联系我们用户协议隐私条款
关注我们

Suppr 超能文献

核心技术专利:CN118964589B侵权必究
粤ICP备2023148730 号-1Suppr @ 2026

文献检索

告别复杂PubMed语法,用中文像聊天一样搜索,搜遍4000万医学文献。AI智能推荐,让科研检索更轻松。

立即免费搜索

文件翻译

保留排版,准确专业,支持PDF/Word/PPT等文件格式,支持 12+语言互译。

免费翻译文档

深度研究

AI帮你快速写综述,25分钟生成高质量综述,智能提取关键信息,辅助科研写作。

立即免费体验

德国西北部圈养平胸鸟(鸵形目)的自发性疾病:一项回顾性研究。

Spontaneous diseases in captive ratites (Struthioniformes) in northwestern Germany: A retrospective study.

作者信息

Bello Aimara, Frei Samuel, Peters Martin, Balkema-Buschmann Anne, Baumgärtner Wolfgang, Wohlsein Peter

机构信息

Department of Pathology, University of Veterinary Medicine Hannover Foundation, Hannover, Lower Saxony, Germany.

Zoo Wuppertal, Wuppertal, North Rhine-Westphalia, Germany.

出版信息

PLoS One. 2017 Apr 12;12(4):e0173873. doi: 10.1371/journal.pone.0173873. eCollection 2017.

DOI:10.1371/journal.pone.0173873
PMID:28403205
原文链接:https://pmc.ncbi.nlm.nih.gov/articles/PMC5389639/
Abstract

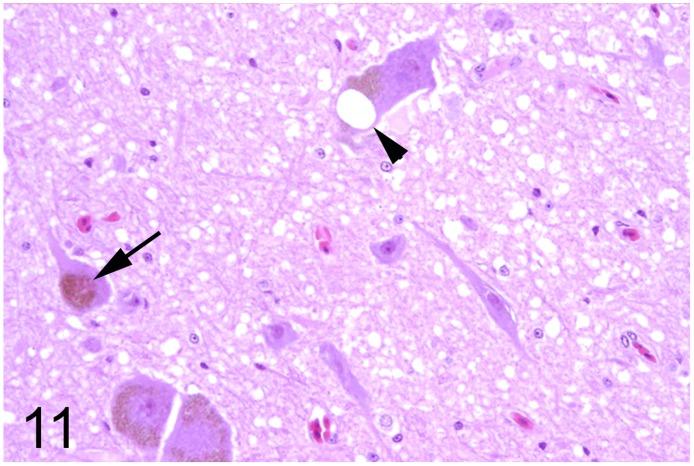
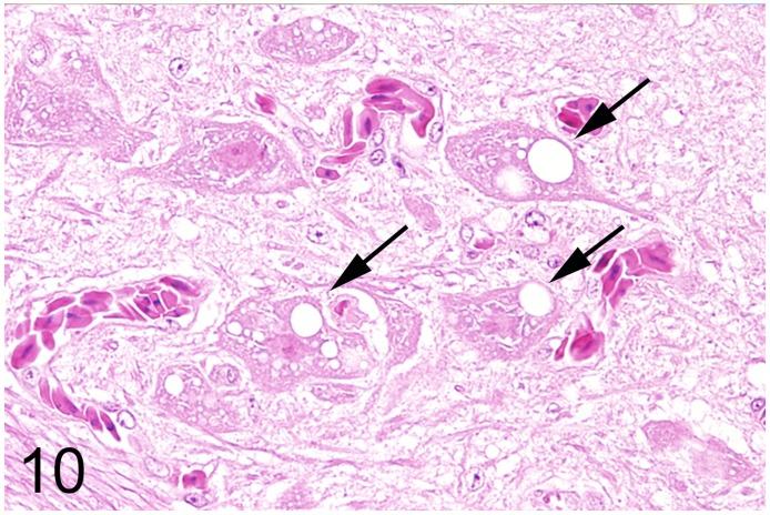
A retrospective study was carried out to define the spectrum of spontaneous diseases in ostriches and few other captive ratites, order Struthioniformes, in northwestern Germany. The investigation included 71 ratites necropsied between 1968 and 2014. They consisted of 54 ostriches, 5 emus, and 12 rheas with 37 adults, 23 juveniles and 11 neonates and embryonated eggs. Necropsy reports were reviewed, histologic preparations were re-examined and additional histochemical and immunohistochemical stains were carried out in selected cases. In many animals more than one morphologic diagnosis attributable to different disease processes was found. In adult animals (n = 37), the most commonly altered organ systems were the musculoskeletal system (49%), the digestive system (46%), and the cardiovascular system (46%) affected by traumatic lesions, inflammatory and degenerative changes, respectively. A spongy degeneration was found in the brain (35%); however, immunohistochemistry and western blotting failed to detect pathological prion protein. In juvenile animals (n = 23), the musculoskeletal (44%) and the digestive system (43%) were mainly affected by traumatic and inflammatory lesions, respectively. In embryonated eggs and neonates (n = 11) the major cause of death was circulatory failure associated with generalized subcutaneous edema as described for improper incubation conditions (64%). Summarized, most of the findings observed in adult and juvenile ratites in northwestern Germany are related to trauma, inflammatory and degenerative disorders, whereas death in embryonated eggs and neonates was most likely related to breeding conditions. A spongy encephalopathy awaits further studies to elucidate cause and pathogenesis.

摘要

在德国西北部开展了一项回顾性研究,以确定鸵鸟及少数其他圈养平胸鸟类(鸵形目)的自发性疾病谱。该调查涵盖了1968年至2014年间剖检的71只平胸鸟,包括54只鸵鸟、5只鸸鹋和12只美洲鸵,其中有37只成年鸟、23只幼鸟以及11只新生鸟和胚胎蛋。回顾了尸检报告,重新检查了组织学切片,并对部分病例进行了额外的组织化学和免疫组织化学染色。在许多动物中发现了不止一种可归因于不同疾病过程的形态学诊断。在成年动物(n = 37)中,最常发生改变的器官系统是肌肉骨骼系统(49%)、消化系统(46%)和心血管系统(46%),分别受到创伤性病变、炎症和退行性变化的影响。在大脑中发现了海绵状变性(35%);然而,免疫组织化学和蛋白质印迹法未能检测到病理性朊病毒蛋白。在幼鸟(n = 23)中,肌肉骨骼系统(44%)和消化系统(43%)主要分别受到创伤性和炎症性病变的影响。在胚胎蛋和新生鸟(n = 11)中,主要死亡原因是循环衰竭,伴有如不当孵化条件所描述的全身性皮下水肿(64%)。总之,在德国西北部成年和幼年平胸鸟中观察到的大多数发现与创伤、炎症和退行性疾病有关,而胚胎蛋和新生鸟的死亡最可能与繁殖条件有关。一种海绵状脑病有待进一步研究以阐明病因和发病机制。

https://cdn.ncbi.nlm.nih.gov/pmc/blobs/353f/5389639/6c6759b9a66d/pone.0173873.g018.jpg
https://cdn.ncbi.nlm.nih.gov/pmc/blobs/353f/5389639/631414d0157c/pone.0173873.g001.jpg
https://cdn.ncbi.nlm.nih.gov/pmc/blobs/353f/5389639/f44d0600bcc6/pone.0173873.g002.jpg
https://cdn.ncbi.nlm.nih.gov/pmc/blobs/353f/5389639/e5a7e40a8f3f/pone.0173873.g003.jpg
https://cdn.ncbi.nlm.nih.gov/pmc/blobs/353f/5389639/208e1f0f6d1d/pone.0173873.g004.jpg
https://cdn.ncbi.nlm.nih.gov/pmc/blobs/353f/5389639/b89cac0b6555/pone.0173873.g005.jpg
https://cdn.ncbi.nlm.nih.gov/pmc/blobs/353f/5389639/7484ae093e35/pone.0173873.g006.jpg
https://cdn.ncbi.nlm.nih.gov/pmc/blobs/353f/5389639/502eb42017ca/pone.0173873.g007.jpg
https://cdn.ncbi.nlm.nih.gov/pmc/blobs/353f/5389639/705b1db1c1d9/pone.0173873.g008.jpg
https://cdn.ncbi.nlm.nih.gov/pmc/blobs/353f/5389639/be09370acd22/pone.0173873.g009.jpg
https://cdn.ncbi.nlm.nih.gov/pmc/blobs/353f/5389639/94a939f085c5/pone.0173873.g010.jpg
https://cdn.ncbi.nlm.nih.gov/pmc/blobs/353f/5389639/9e7434f6f133/pone.0173873.g011.jpg
https://cdn.ncbi.nlm.nih.gov/pmc/blobs/353f/5389639/123e24b1be85/pone.0173873.g012.jpg
https://cdn.ncbi.nlm.nih.gov/pmc/blobs/353f/5389639/b37b74a2d7f9/pone.0173873.g013.jpg
https://cdn.ncbi.nlm.nih.gov/pmc/blobs/353f/5389639/4cf4374563e0/pone.0173873.g014.jpg
https://cdn.ncbi.nlm.nih.gov/pmc/blobs/353f/5389639/ba02f0cf2c97/pone.0173873.g015.jpg
https://cdn.ncbi.nlm.nih.gov/pmc/blobs/353f/5389639/df05b3a7e113/pone.0173873.g016.jpg
https://cdn.ncbi.nlm.nih.gov/pmc/blobs/353f/5389639/1455a4a6a756/pone.0173873.g017.jpg
https://cdn.ncbi.nlm.nih.gov/pmc/blobs/353f/5389639/6c6759b9a66d/pone.0173873.g018.jpg
https://cdn.ncbi.nlm.nih.gov/pmc/blobs/353f/5389639/631414d0157c/pone.0173873.g001.jpg
https://cdn.ncbi.nlm.nih.gov/pmc/blobs/353f/5389639/f44d0600bcc6/pone.0173873.g002.jpg
https://cdn.ncbi.nlm.nih.gov/pmc/blobs/353f/5389639/e5a7e40a8f3f/pone.0173873.g003.jpg
https://cdn.ncbi.nlm.nih.gov/pmc/blobs/353f/5389639/208e1f0f6d1d/pone.0173873.g004.jpg
https://cdn.ncbi.nlm.nih.gov/pmc/blobs/353f/5389639/b89cac0b6555/pone.0173873.g005.jpg
https://cdn.ncbi.nlm.nih.gov/pmc/blobs/353f/5389639/7484ae093e35/pone.0173873.g006.jpg
https://cdn.ncbi.nlm.nih.gov/pmc/blobs/353f/5389639/502eb42017ca/pone.0173873.g007.jpg
https://cdn.ncbi.nlm.nih.gov/pmc/blobs/353f/5389639/705b1db1c1d9/pone.0173873.g008.jpg
https://cdn.ncbi.nlm.nih.gov/pmc/blobs/353f/5389639/be09370acd22/pone.0173873.g009.jpg
https://cdn.ncbi.nlm.nih.gov/pmc/blobs/353f/5389639/94a939f085c5/pone.0173873.g010.jpg
https://cdn.ncbi.nlm.nih.gov/pmc/blobs/353f/5389639/9e7434f6f133/pone.0173873.g011.jpg
https://cdn.ncbi.nlm.nih.gov/pmc/blobs/353f/5389639/123e24b1be85/pone.0173873.g012.jpg
https://cdn.ncbi.nlm.nih.gov/pmc/blobs/353f/5389639/b37b74a2d7f9/pone.0173873.g013.jpg
https://cdn.ncbi.nlm.nih.gov/pmc/blobs/353f/5389639/4cf4374563e0/pone.0173873.g014.jpg
https://cdn.ncbi.nlm.nih.gov/pmc/blobs/353f/5389639/ba02f0cf2c97/pone.0173873.g015.jpg
https://cdn.ncbi.nlm.nih.gov/pmc/blobs/353f/5389639/df05b3a7e113/pone.0173873.g016.jpg
https://cdn.ncbi.nlm.nih.gov/pmc/blobs/353f/5389639/1455a4a6a756/pone.0173873.g017.jpg
https://cdn.ncbi.nlm.nih.gov/pmc/blobs/353f/5389639/6c6759b9a66d/pone.0173873.g018.jpg

相似文献

1
Spontaneous diseases in captive ratites (Struthioniformes) in northwestern Germany: A retrospective study.德国西北部圈养平胸鸟(鸵形目)的自发性疾病:一项回顾性研究。
PLoS One. 2017 Apr 12;12(4):e0173873. doi: 10.1371/journal.pone.0173873. eCollection 2017.
2
RETROSPECTIVE STUDY OF MORTALITY IN CAPTIVE STRUTHIONIFORMES IN A FRENCH ZOO (1974-2015).法国某动物园圈养鸵形目动物死亡率的回顾性研究(1974 - 2015年)
J Zoo Wildl Med. 2018 Dec 13;49(4):967-976. doi: 10.1638/2015-0210.1.
3
Comparative frequency of osseous macroscopic pathology and first report of gout in captive and wild-caught ratites.圈养和平胸总目鸟类野生捕获个体的骨宏观病理学比较频率及痛风的首次报告
J Vet Med A Physiol Pathol Clin Med. 2007 Jun;54(5):265-9. doi: 10.1111/j.1439-0442.2007.00937.x.
4
Comparative methane emission by ratites: Differences in food intake and digesta retention level out methane production.平胸鸟类的甲烷排放比较:食物摄入量和消化物留存的差异使甲烷产量趋于平衡。
Comp Biochem Physiol A Mol Integr Physiol. 2015 Oct;188:70-5. doi: 10.1016/j.cbpa.2015.06.022. Epub 2015 Jun 26.
5
Pancreatic atrophy due to zinc toxicosis in two African ostriches (Struthio camelus).两只非洲鸵鸟(鸵鸟属)因锌中毒导致胰腺萎缩。
J Zoo Wildl Med. 2011 Jun;42(2):304-8. doi: 10.1638/2010-0146.1.
6
[Case report: Libyostrongylus douglassii-associated proventriculitis in ostriches in Germany].[病例报告:德国鸵鸟中与道格拉斯利比亚圆线虫相关的腺胃炎]
Dtsch Tierarztl Wochenschr. 2006 Jun;113(6):240-2.
7
Libyostrongylus infections in ostriches--a brief review with particular reference to their detection in New Zealand.鸵鸟的利比亚圆线虫感染——简要综述,特别提及在新西兰的检测情况
N Z Vet J. 2005 Oct;53(5):267-70. doi: 10.1080/00480169.2005.36559.
8
Impaction of the stomachs in farmed ostriches (Struthio camelus) in Botswana.博茨瓦纳养殖鸵鸟(鸵鸟属骆驼鸵鸟)胃阻塞情况
Avian Dis. 1998 Jul-Sep;42(3):597-9.
9
Mixed infection by Libyostrongylus douglassii and L. dentatus (Nematoda: Trichostrongylidae) in Struthio camelus (Ratites: Struthioniformes) from Brazil with further morphological characterization of adults.来自巴西的鸵鸟(平胸总目:鸵鸟目)感染道格拉斯利比亚圆线虫和齿状利比亚圆线虫(线虫纲:毛圆科)的混合感染及成虫的进一步形态学特征
Vet Parasitol. 2008 Feb 14;151(2-4):227-32. doi: 10.1016/j.vetpar.2007.11.009. Epub 2007 Nov 17.
10
Diseases of farmed crocodiles and ostriches.养殖鳄鱼和鸵鸟的疾病。
Rev Sci Tech. 2002 Aug;21(2):265-76. doi: 10.20506/rst.21.2.1334.

引用本文的文献

1
Spontaneous Cloacal Prolapse in a Farm Ostrich (Struthio camelus): Case Management and Literature Review.一只农场鸵鸟(鸵鸟属骆驼鸵鸟)的自发性泄殖腔脱垂:病例管理与文献综述
Vet Med Sci. 2025 Jan;11(1):e70217. doi: 10.1002/vms3.70217.

本文引用的文献

1
[Considerations and recommondations for species-appropriate and welfare friendly keeping of ratitae in Germany].[德国平胸鸟类适宜物种及有利于福利的饲养考量与建议]
Tierarztl Prax Ausg G Grosstiere Nutztiere. 2015;43(4):232-44. doi: 10.15653/TPG-150490. Epub 2015 Aug 3.
2
Review on emu products for use as complementary and alternative medicine.鸸鹋产品用作补充和替代医学的综述。
Nutrition. 2015 Jan;31(1):21-7. doi: 10.1016/j.nut.2014.04.004. Epub 2014 Apr 19.
3
Mycobacteriosis in ostriches (Struthio camelus) due to infection with Mycobacterium bovis and Mycobacterium avium complex.
鸵鸟(鸵鸟属)因感染牛分枝杆菌和鸟分枝杆菌复合群而患分枝杆菌病。
Avian Dis. 2013 Dec;57(4):808-11. doi: 10.1637/10581-052313-Case.1.
4
Brachyspira and its role in avian intestinal spirochaetosis.短螺旋体及其在禽类肠道螺旋体病中的作用。
Vet Microbiol. 2014 Jan 31;168(2-4):245-60. doi: 10.1016/j.vetmic.2013.11.019. Epub 2013 Nov 28.
5
Biochemical Characteristics and PrP(Sc) Distribution Pattern in the Brains of Cattle Experimentally Challenged with H-type and L-type Atypical BSE.用H型和L型非典型牛海绵状脑病实验性攻毒的牛脑中的生化特性及PrP(Sc)分布模式
PLoS One. 2013 Jun 21;8(6):e67599. doi: 10.1371/journal.pone.0067599. Print 2013.
6
Emu Oil: a novel therapeutic for disorders of the gastrointestinal tract?鸸鹋油:一种治疗胃肠道疾病的新型疗法?
J Gastroenterol Hepatol. 2012 May;27(5):857-61. doi: 10.1111/j.1440-1746.2012.07098.x.
7
Detection of highly pathogenic influenza and pandemic influenza virus in formalin fixed tissues by immunohistochemical methods.免疫组织化学方法检测福尔马林固定组织中的高致病性流感和大流行性流感病毒。
J Virol Methods. 2012 Feb;179(2):409-13. doi: 10.1016/j.jviromet.2011.11.006. Epub 2011 Nov 18.
8
Fatal epizootic equine herpesvirus 1 infections in new and unnatural hosts.新宿主和非自然宿主中致死性马疱疹病毒 1 感染。
Vet Microbiol. 2011 May 5;149(3-4):456-60. doi: 10.1016/j.vetmic.2010.11.024. Epub 2010 Nov 24.
9
Evaluation of Lawsonia intracellularis infection in a group of pigs in a subclinically affected herd from weaning to slaughter.评价从断奶到屠宰期间处于亚临床感染状态猪群中内罗毕胎病毒感染。
Vet Microbiol. 2010 Dec 15;146(3-4):361-5. doi: 10.1016/j.vetmic.2010.05.021. Epub 2010 May 15.
10
A multiplex real-time PCR for the simultaneous detection and quantitation of Brachyspira hyodysenteriae, Brachyspira pilosicoli and Lawsonia intracellularis in pig faeces.一种用于同时检测和定量猪粪便中猪痢疾短螺旋体、结肠短螺旋体和胞内劳森菌的多重实时聚合酶链反应。
Berl Munch Tierarztl Wochenschr. 2010 May-Jun;123(5-6):205-9.