Lin Cho-I, Lin Yu-Ching, Lien Wei-Chih, Hsieh Pei-Chun, Lin Sheng-Han, Kuan Ta-Shen
Department of Physical Medicine and Rehabilitation, National Cheng Kung University Hospital, College of Medicine, National Cheng Kung University, Tainan, Taiwan.
Department of Physical Medicine and Rehabilitation, College of Medicine, National Cheng Kung University, Tainan, Taiwan.
Neuropsychiatr Dis Treat. 2017 Mar 31;13:981-985. doi: 10.2147/NDT.S132775. eCollection 2017.
Punding is a complex stereotyped behavior, characterized by excessiveness, non-goal orientation, and repetitiveness. It is mostly associated with Parkinson's disease, and very few cases in non-Parkinson's disease have been reported. We report a case of punding associated with supratentorial ischemic stroke.
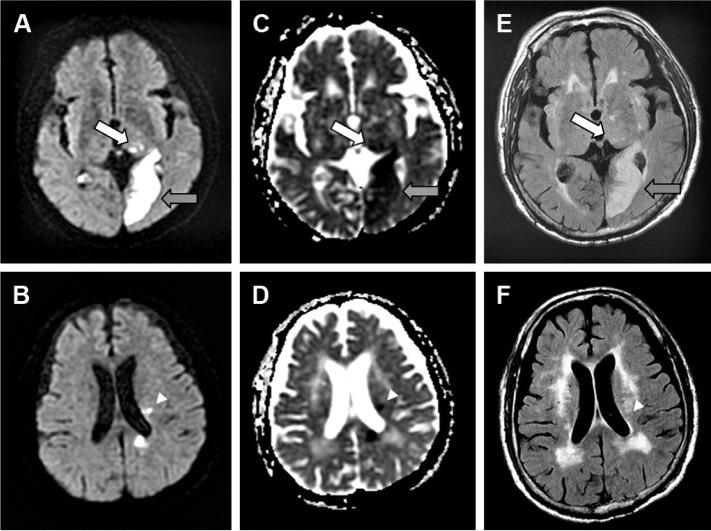
We present a 70-year-old man with left posterior cerebral artery infarction with quetiapine-induced punding manifesting as repetitive unidirectional body turning. Remission of punding behavior ensued after cessation of quetiapine and administration of clonazepam.
This case describes the clinical course of quetiapine-induced punding in a patient with left posterior cerebral artery infarction. It suggests clonazepam may serve as a treatment option for poststroke punding.
刻板行为是一种复杂的刻板行为,其特征为过度性、无目标导向性和重复性。它主要与帕金森病相关,非帕金森病的病例报道极少。我们报告一例与幕上缺血性卒中相关的刻板行为病例。
我们报告一名70岁男性,患有左大脑后动脉梗死,因喹硫平诱发刻板行为,表现为反复单向身体转动。停用喹硫平并给予氯硝西泮后,刻板行为缓解。
本病例描述了一名左大脑后动脉梗死患者喹硫平诱发刻板行为的临床过程。提示氯硝西泮可能是卒中后刻板行为的一种治疗选择。