• 文献检索
  • 文档翻译
  • 深度研究
  • 学术资讯
  • Suppr Zotero 插件Zotero 插件
  • 邀请有礼
  • 套餐&价格
  • 历史记录
应用&插件
Suppr Zotero 插件Zotero 插件浏览器插件Mac 客户端Windows 客户端微信小程序
定价
高级版会员购买积分包购买API积分包
服务
文献检索文档翻译深度研究API 文档MCP 服务
关于我们
关于 Suppr公司介绍联系我们用户协议隐私条款
关注我们

Suppr 超能文献

核心技术专利:CN118964589B侵权必究
粤ICP备2023148730 号-1Suppr @ 2026

文献检索

告别复杂PubMed语法,用中文像聊天一样搜索,搜遍4000万医学文献。AI智能推荐,让科研检索更轻松。

立即免费搜索

文件翻译

保留排版,准确专业,支持PDF/Word/PPT等文件格式,支持 12+语言互译。

免费翻译文档

深度研究

AI帮你快速写综述,25分钟生成高质量综述,智能提取关键信息,辅助科研写作。

立即免费体验

合成4-噻唑烷酮衍生物Les-3288、阿霉素和替莫唑胺对人胶质瘤U251细胞的促凋亡差异作用。

Differential pro-apoptotic effects of synthetic 4-thiazolidinone derivative Les-3288, doxorubicin and temozolomide in human glioma U251 cells.

作者信息

Коbylinska Lesya I, Klyuchivska Olga Yu, Grytsyna Iryna I, Finiuk Natalia, Panchuk Rostyslav R, Starykovych Marina O, Lehka Lilya, Lesyk Roman B, Zіmenkovsky Borys S, Stoika Rostyslav S

机构信息

Rostyslav Stoika, Drahomanov Str. 14/16, 79005 Lviv, Ukraine,

出版信息

Croat Med J. 2017 Apr 14;58(2):150-159. doi: 10.3325/cmj.2017.58.150.

DOI:10.3325/cmj.2017.58.150
PMID:28409498
原文链接:https://pmc.ncbi.nlm.nih.gov/articles/PMC5410732/
Abstract

AIM

To compare various pro-apoptotic effects of synthetic 4-thiazolidinone derivative (Les-3288), doxorubicin (Dox) and temozolomide (TMZ) in the treatment of human glioma U251 cells to improve treatment outcomes of glioblastoma and avoid anticancer drug resistance.

METHODS

The cytotoxic effects of drugs used in human glioma U251 cells were measured by cell viability and proliferation assay (MTT), Trypan blue exclusion test, and Western-blot analysis of the apoptosis-related proteins. In addition, flow cytometry study of reactive oxygen species (ROS) level in glioma cells was carried out. Cytomorphological changes in treated cells were monitored by fluorescent microscopy after cell staining with Hoechst 33342 and ethydium bromide.

RESULTS

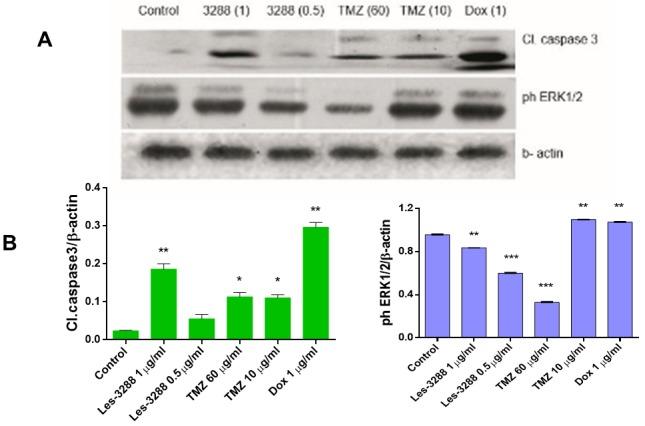
Half-maximal inhibitory concentration (IC50) of Les-3288, Dox, and TMZ was calculated for human glioblastoma U251 cells. The rating of the values of this indicator of cellular vitality was assessed. The results of MTT assay proved the superiority of Les-3288 vs Les-3288>Dox>TMZ, which is in agreement with the results of Trypan blue testing showing Les-3288≈Dox>TMZ. In general, such ranking corresponded to a scale of pro-apoptotic impairments in the morphology of glioma U251 cells and the results of Western-blot analysis of cleaved Caspase 3. Contrary to Dox, Les-3288 and TMZ did not affect significantly ROS levels in the treated cells.

CONCLUSION

The effect of the synthetic 4-thiazolidinone derivative Les-3288 is realized via apoptosis mechanisms and does not involve ROS. In comparison with Dox and TMZ, it is more effective in destroying human glioblastoma U251 cells. Les-3288 compound has a potential as an anticancer drug for glioblastoma. Nevertheless, further preclinical studies of the blood-brain barrier are needed.

摘要

目的

比较合成的4-噻唑烷酮衍生物(Les-3288)、阿霉素(Dox)和替莫唑胺(TMZ)在治疗人胶质瘤U251细胞中的各种促凋亡作用,以改善胶质母细胞瘤的治疗效果并避免抗癌药物耐药性。

方法

通过细胞活力和增殖测定(MTT)、台盼蓝排斥试验以及凋亡相关蛋白的蛋白质印迹分析,检测用于人胶质瘤U251细胞的药物的细胞毒性作用。此外,还进行了胶质瘤细胞中活性氧(ROS)水平的流式细胞术研究。在用Hoechst 33342和溴化乙锭对细胞染色后,通过荧光显微镜监测处理后细胞的细胞形态学变化。

结果

计算了人胶质母细胞瘤U251细胞中Les-3288、Dox和TMZ的半数抑制浓度(IC50)。评估了该细胞活力指标值的等级。MTT试验结果证明Les-3288优于Les-3288>Dox>TMZ,这与台盼蓝试验结果一致,显示Les-3288≈Dox>TMZ。总体而言,这种排名与胶质瘤U251细胞形态学中的促凋亡损伤程度以及裂解的半胱天冬酶3的蛋白质印迹分析结果相对应。与Dox相反,Les-3288和TMZ对处理后细胞中的ROS水平没有显著影响。

结论

合成的4-噻唑烷酮衍生物Les-3288的作用是通过凋亡机制实现的,不涉及ROS。与Dox和TMZ相比,它在破坏人胶质母细胞瘤U251细胞方面更有效。Les-3288化合物具有作为胶质母细胞瘤抗癌药物的潜力。然而,需要对血脑屏障进行进一步的临床前研究。

https://cdn.ncbi.nlm.nih.gov/pmc/blobs/fd5a/5410732/744d78459626/CroatMedJ_58_0150-F5.jpg
https://cdn.ncbi.nlm.nih.gov/pmc/blobs/fd5a/5410732/d95d539a9f60/CroatMedJ_58_0150-F1.jpg
https://cdn.ncbi.nlm.nih.gov/pmc/blobs/fd5a/5410732/430dc2c94999/CroatMedJ_58_0150-F2.jpg
https://cdn.ncbi.nlm.nih.gov/pmc/blobs/fd5a/5410732/2099d9f2409d/CroatMedJ_58_0150-F3.jpg
https://cdn.ncbi.nlm.nih.gov/pmc/blobs/fd5a/5410732/0b526f969b23/CroatMedJ_58_0150-F4.jpg
https://cdn.ncbi.nlm.nih.gov/pmc/blobs/fd5a/5410732/744d78459626/CroatMedJ_58_0150-F5.jpg
https://cdn.ncbi.nlm.nih.gov/pmc/blobs/fd5a/5410732/d95d539a9f60/CroatMedJ_58_0150-F1.jpg
https://cdn.ncbi.nlm.nih.gov/pmc/blobs/fd5a/5410732/430dc2c94999/CroatMedJ_58_0150-F2.jpg
https://cdn.ncbi.nlm.nih.gov/pmc/blobs/fd5a/5410732/2099d9f2409d/CroatMedJ_58_0150-F3.jpg
https://cdn.ncbi.nlm.nih.gov/pmc/blobs/fd5a/5410732/0b526f969b23/CroatMedJ_58_0150-F4.jpg
https://cdn.ncbi.nlm.nih.gov/pmc/blobs/fd5a/5410732/744d78459626/CroatMedJ_58_0150-F5.jpg

相似文献

1
Differential pro-apoptotic effects of synthetic 4-thiazolidinone derivative Les-3288, doxorubicin and temozolomide in human glioma U251 cells.合成4-噻唑烷酮衍生物Les-3288、阿霉素和替莫唑胺对人胶质瘤U251细胞的促凋亡差异作用。
Croat Med J. 2017 Apr 14;58(2):150-159. doi: 10.3325/cmj.2017.58.150.
2
4-Thiazolidinone derivative Les-3833 effectively inhibits viability of human melanoma cells through activating apoptotic mechanisms.4-噻唑烷酮衍生物Les-3833通过激活凋亡机制有效抑制人黑色素瘤细胞的活力。
Croat Med J. 2017 Apr 14;58(2):129-139. doi: 10.3325/cmj.2017.58.129.
3
Proapoptotic effects of novel thiazole derivative on human glioma cells.新型噻唑衍生物对人神经胶质瘤细胞的促凋亡作用。
Anticancer Drugs. 2019 Jan;30(1):27-37. doi: 10.1097/CAD.0000000000000686.
4
Juniperus Communis Extract Exerts Antitumor Effects in Human Glioblastomas Through Blood-Brain Barrier.杜松子提取物通过血脑屏障对人胶质母细胞瘤发挥抗肿瘤作用。
Cell Physiol Biochem. 2018;49(6):2443-2462. doi: 10.1159/000493842. Epub 2018 Sep 27.
5
β-Asarone promotes Temozolomide's entry into glioma cells and decreases the expression of P-glycoprotein and MDR1.β-细辛醚促进替莫唑胺进入胶质瘤细胞,并降低P-糖蛋白和多药耐药基因1的表达。
Biomed Pharmacother. 2017 Jun;90:368-374. doi: 10.1016/j.biopha.2017.03.083. Epub 2017 Apr 2.
6
Downregulation of HIF-1a sensitizes U251 glioma cells to the temozolomide (TMZ) treatment.缺氧诱导因子-1α(HIF-1α)的下调使U251胶质瘤细胞对替莫唑胺(TMZ)治疗敏感。
Exp Cell Res. 2016 May 1;343(2):148-158. doi: 10.1016/j.yexcr.2016.04.011. Epub 2016 Apr 21.
7
Fluoxetine synergizes with temozolomide to induce the CHOP-dependent endoplasmic reticulum stress-related apoptosis pathway in glioma cells.氟西汀与替莫唑胺协同作用,诱导胶质瘤细胞中依赖CHOP的内质网应激相关凋亡途径。
Oncol Rep. 2016 Aug;36(2):676-84. doi: 10.3892/or.2016.4860. Epub 2016 Jun 7.
8
Honokiol enhances temozolomide-induced apoptotic insults to malignant glioma cells via an intrinsic mitochondrion-dependent pathway.和厚朴酚通过内在的线粒体依赖性途径增强替莫唑胺诱导的恶性神经胶质瘤细胞凋亡损伤。
Phytomedicine. 2018 Oct 1;49:41-51. doi: 10.1016/j.phymed.2018.06.012. Epub 2018 Aug 8.
9
Putative anticancer potential of novel 4-thiazolidinone derivatives: cytotoxicity toward rat C6 glioma in vitro and correlation of general toxicity with the balance of free radical oxidation in rats.新型4-噻唑烷酮衍生物的潜在抗癌潜力:对大鼠C6胶质瘤细胞的体外细胞毒性以及大鼠全身毒性与自由基氧化平衡的相关性
Croat Med J. 2016 Apr 23;57(2):151-63. doi: 10.3325/cmj.2016.57.151.
10
[Mechanism of temozolomide-induced anti-tumor effects on glioblastoma cells in vitro is via ROS-dependent SIRT1 signaling pathway].[替莫唑胺体外诱导胶质母细胞瘤细胞抗肿瘤作用的机制是通过活性氧依赖的SIRT1信号通路]
Zhonghua Zhong Liu Za Zhi. 2012 Oct;34(10):734-8. doi: 10.3760/cma.j.issn.0253-3766.2012.10.004.

引用本文的文献

1
PEG-Polymeric Nanocarriers Alleviate the Immunosuppressive Effects of Free 4-Thiazolidinone-Based Chemotherapeutics on T Lymphocyte Function and Cytokine Production.聚乙二醇 - 聚合物纳米载体减轻了基于4 - 噻唑烷酮的游离化疗药物对T淋巴细胞功能和细胞因子产生的免疫抑制作用。
Int J Nanomedicine. 2024 Dec 27;19:14021-14041. doi: 10.2147/IJN.S479137. eCollection 2024.
2
Kaempferol and Biomodified Kaempferol from Extract as Potential Sources of Anti-Cancer Polyphenolics against High Grade Glioma Cell Lines.山奈酚和生物修饰的山奈酚从 提取物作为对抗高级别神经胶质瘤细胞系的抗癌多酚的潜在来源。
Int J Mol Sci. 2023 Jun 27;24(13):10716. doi: 10.3390/ijms241310716.
3

本文引用的文献

1
Strategies of temozolomide in future glioblastoma treatment.替莫唑胺在未来胶质母细胞瘤治疗中的策略。
Onco Targets Ther. 2017 Jan 9;10:265-270. doi: 10.2147/OTT.S120662. eCollection 2017.
2
DNA repair mechanisms and their clinical impact in glioblastoma.DNA 修复机制及其在胶质母细胞瘤中的临床影响。
Mutat Res Rev Mutat Res. 2016 Jul-Sep;769:19-35. doi: 10.1016/j.mrrev.2016.05.005. Epub 2016 Jun 21.
3
Inhibitor of apoptosis protein expression in glioblastomas and their in vitro and in vivo targeting by SMAC mimetic GDC-0152.
Carboxamide derivatives induce apoptosis in the U251 glioma cell line.
甲酰胺衍生物可诱导U251胶质瘤细胞系发生凋亡。
Oncol Lett. 2019 Aug;18(2):1409-1414. doi: 10.3892/ol.2019.10434. Epub 2019 Jun 4.
4
Anticancer properties of 5Z-(4-fluorobenzylidene)-2-(4-hydroxyphenylamino)-thiazol-4-one.5Z-(4-氟苯亚甲基)-2-(4-羟基苯氨基)噻唑-4-酮的抗癌特性。
Sci Rep. 2019 Jul 23;9(1):10609. doi: 10.1038/s41598-019-47177-6.
5
Enhanced Proapoptotic Effects of Water Dispersed Complexes of 4-Thiazolidinone-Based Chemotherapeutics with a PEG-Containing Polymeric Nanocarrier.基于4-噻唑烷酮的化疗药物与含聚乙二醇的聚合物纳米载体的水分散复合物的增强促凋亡作用。
Nanoscale Res Lett. 2019 Apr 23;14(1):140. doi: 10.1186/s11671-019-2945-7.
6
Computer-aided design of temozolomide derivatives based on alkylglycerone phosphate synthase structure with isothiocyanate and their pharmacokinetic/toxicity prediction and anti-tumor activity .基于磷酸烷基甘油合酶结构并带有异硫氰酸酯的替莫唑胺衍生物的计算机辅助设计及其药代动力学/毒性预测和抗肿瘤活性
Biomed Rep. 2018 Mar;8(3):235-240. doi: 10.3892/br.2018.1051. Epub 2018 Jan 31.
胶质母细胞瘤中凋亡抑制蛋白的表达及其被SMAC模拟物GDC-0152进行的体内外靶向作用
Cell Death Dis. 2016 Aug 4;7(8):e2325. doi: 10.1038/cddis.2016.214.
4
ROS and Brain Gliomas: An Overview of Potential and Innovative Therapeutic Strategies.活性氧与脑胶质瘤:潜在与创新治疗策略综述
Int J Mol Sci. 2016 Jun 22;17(6):984. doi: 10.3390/ijms17060984.
5
Problems of Glioblastoma Multiforme Drug Resistance.多形性胶质母细胞瘤的耐药问题。
Biochemistry (Mosc). 2016 Feb;81(2):91-100. doi: 10.1134/S0006297916020036.
6
Therapeutic innovations in endocrine diseases - part 3 : temozolomide and future therapeutics for aggressive pituitary tumors and carcinomas.内分泌疾病的治疗创新——第3部分:替莫唑胺及侵袭性垂体肿瘤和癌的未来疗法
Presse Med. 2016 Jun;45(6 Pt 2):e211-6. doi: 10.1016/j.lpm.2016.05.008. Epub 2016 May 27.
7
Doxorubicin and cisplatin induce apoptosis in ovarian stromal cells obtained from cryopreserved human ovarian tissue.阿霉素和顺铂可诱导从冷冻保存的人卵巢组织中获取的卵巢基质细胞凋亡。
Future Oncol. 2016 Jul;12(14):1699-711. doi: 10.2217/fon-2016-0032. Epub 2016 May 13.
8
Putative anticancer potential of novel 4-thiazolidinone derivatives: cytotoxicity toward rat C6 glioma in vitro and correlation of general toxicity with the balance of free radical oxidation in rats.新型4-噻唑烷酮衍生物的潜在抗癌潜力:对大鼠C6胶质瘤细胞的体外细胞毒性以及大鼠全身毒性与自由基氧化平衡的相关性
Croat Med J. 2016 Apr 23;57(2):151-63. doi: 10.3325/cmj.2016.57.151.
9
5-Ene-4-thiazolidinones induce apoptosis in mammalian leukemia cells.5-烯-4-噻唑烷酮可诱导哺乳动物白血病细胞凋亡。
Eur J Med Chem. 2016 Jul 19;117:33-46. doi: 10.1016/j.ejmech.2016.03.089. Epub 2016 Apr 2.
10
Temozolomide in combination with metformin act synergistically to inhibit proliferation and expansion of glioma stem-like cells.替莫唑胺与二甲双胍联合使用具有协同作用,可抑制胶质瘤干细胞样细胞的增殖和扩增。
Oncol Lett. 2016 Apr;11(4):2792-2800. doi: 10.3892/ol.2016.4315. Epub 2016 Mar 8.