Xu Lu, Ding Lijun, Wang Lei, Cao Yun, Zhu Hui, Lu Jingjie, Li Xin'an, Song Tianran, Hu Yali, Dai Jianwu
Department of Obstetrics and Gynecology, Drum Tower Clinical Medical College of Nanjing Medical University, 321 Zhongshan Road, Nanjing, 210008, China.
Department of Obstetrics and Gynecology, the Drum Tower Hospital Affiliated to Nanjing University Medical School, 321 Zhongshan Road, Nanjing, 210008, China.
Stem Cell Res Ther. 2017 Apr 18;8(1):84. doi: 10.1186/s13287-017-0535-0.
Severe injuries of the uterus may trigger uterine scar formation, ultimately leading to infertility or obstetrical complications. To date, few methods have adequately solved the problem of collagen deposition in uterine scars. Umbilical cord-derived mesenchymal stem cells (UC-MSCs) have shown great promise in clinical applications. The objective of this study was to investigate the effect of a scaffold/UC-MSCs construct on collagen degradation and functional regeneration in rat uterine scars following full-thickness excision of uterine walls.
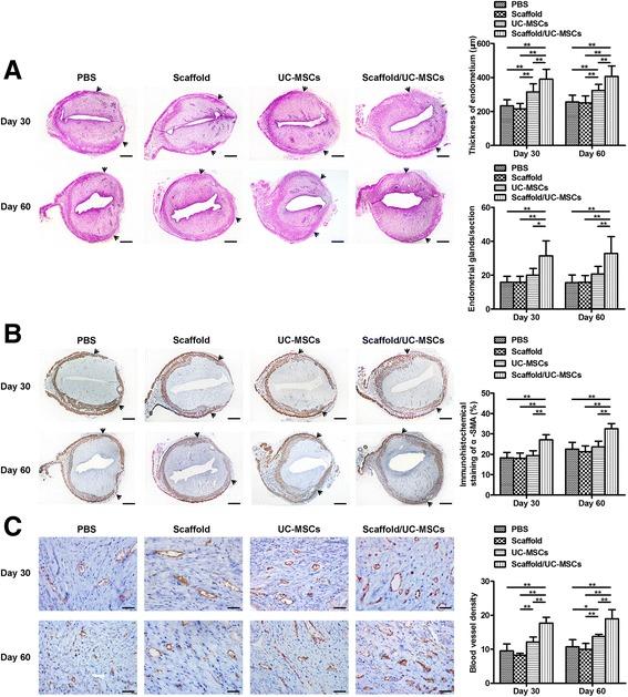
In order to establish a rat model of uterine scars, the uterine wall of approximately 1.0 cm in length and 0.5 cm in width (one-third of the uterine circumference) was excised from each uterine horn. A total of 128 scarred uterine horns from 64 rats were randomly assigned to four groups, including a PBS group (n = 32 uterine horns), scaffold group (n = 32 uterine horns), UC-MSCs group (n = 32 uterine horns) and scaffold/UC-MSCs group (n = 32 uterine horns) to investigate the effect of different treatments on the structure and function of uterine scars. PBS, degradable collagen fibres, UC-MSCs or UC-MSCs mixed with gelatinous degradable collagen fibres were injected into four pre-marked points surrounding each uterine scar, respectively. At days 30 and 60 post-transplantation, a subset of rats (n = 8 uterine horns) from each group was euthanized and serial sections of uterine tissues containing the operative region were prepared. Haematoxylin-eosin staining, Masson's trichrome staining, and immunohistochemical staining for MMP-2, MMP-9, α-SMA and vWF were performed. Finally, another subset of rats (n = 16 uterine horns) from each group was mated with male rats at day 60 post-transplantation and euthanized 18 days after the presence of vaginal plugs to check numbers, sizes and weights of fetuses, as well as sites of implantation.
The scaffold/UC-MSCs group exhibited obvious collagen degradation compared with the other three groups. At day 60 post-transplantation, the number of MMP-9-positive cells in the scaffold/UC-MSCs group (25.96 ± 3.63) was significantly higher than that in the PBS group (8.19 ± 1.61, P < 0.01), the scaffold group (7.25 ± 2.17, P < 0.01) and the UC-MSCs group (8.31 ± 2.77, P < 0.01). The pregnancy rate in the scaffold/UC-MSCs group (10/16) was also significantly higher than that in the PBS group (2/16, P < 0.017), the scaffold group (1/16, P < 0.017) and the UC-MSCs group (3/16, P < 0.017).
The scaffold/UC-MSCs system facilitated collagen degradation in uterine scars via upregulation of MMP-9, which was secreted by transplanted UC-MSCs, and promoted regeneration of the endometrium, myometrium and blood vessels in uterine scars. Furthermore, the scaffold/UC-MSCs-treated uterine scars showed nearly complete restoration of receptive fertility.
子宫严重损伤可能引发子宫瘢痕形成,最终导致不孕或产科并发症。迄今为止,很少有方法能充分解决子宫瘢痕中胶原蛋白沉积的问题。脐带间充质干细胞(UC-MSCs)在临床应用中已显示出巨大潜力。本研究的目的是探讨支架/UC-MSCs构建体对大鼠子宫壁全层切除术后子宫瘢痕中胶原蛋白降解和功能再生的影响。
为建立大鼠子宫瘢痕模型,从每个子宫角切除约1.0 cm长、0.5 cm宽(子宫周长的三分之一)的子宫壁。将64只大鼠的128个瘢痕子宫角随机分为四组,包括PBS组(n = 32个子宫角)、支架组(n = 32个子宫角)、UC-MSCs组(n = 32个子宫角)和支架/UC-MSCs组(n = 32个子宫角),以研究不同治疗方法对子宫瘢痕结构和功能的影响。分别将PBS、可降解胶原纤维、UC-MSCs或与凝胶状可降解胶原纤维混合的UC-MSCs注入每个子宫瘢痕周围的四个预先标记的点。在移植后第30天和第60天,对每组的一部分大鼠(n = 8个子宫角)实施安乐死,并制备包含手术区域的子宫组织连续切片。进行苏木精-伊红染色、Masson三色染色以及MMP-2、MMP-9、α-SMA和vWF的免疫组织化学染色。最后,在移植后第60天,将每组的另一部分大鼠(n = 16个子宫角)与雄性大鼠交配,并在出现阴道栓后18天实施安乐死,以检查胎儿的数量、大小和重量以及着床部位。
与其他三组相比,支架/UC-MSCs组表现出明显的胶原蛋白降解。在移植后第60天,支架/UC-MSCs组中MMP-9阳性细胞数量(25.96±3.63)显著高于PBS组(8.19±1.61,P < 0.01)、支架组(7.25±2.17,P < 0.01)和UC-MSCs组(8.31±2.77,P < 0.01)。支架/UC-MSCs组的妊娠率(10/16)也显著高于PBS组(2/16,P < 0.017)、支架组(1/16,P < 0.017)和UC-MSCs组(3/16,P < 0.017)。
支架/UC-MSCs系统通过上调移植的UC-MSCs分泌的MMP-9促进子宫瘢痕中的胶原蛋白降解,并促进子宫瘢痕中子宫内膜、肌层和血管的再生。此外,经支架/UC-MSCs处理的子宫瘢痕显示出近乎完全的生育力恢复。