Martin David, Joliat Gaëtan-Romain, Fournier Pierre, Brunel Christophe, Demartines Nicolas, Gié Olivier
aDepartment of Visceral Surgery bInstitute of Pathology, University Hospital CHUV, Lausanne, Switzerland.
Medicine (Baltimore). 2017 Apr;96(16):e6733. doi: 10.1097/MD.0000000000006733.
Gouty panniculitis, characterised by the deposition of monosodium urate crystals in subcutaneous tissue, is a rare clinical manifestation of gout.
The case of a 67-year-old man is reported, who presented an erythematous nodule on the upper part of the right buttock suspicious for an abscess. This was in the context of chemotherapy for non-Hodgkin's lymphoma.
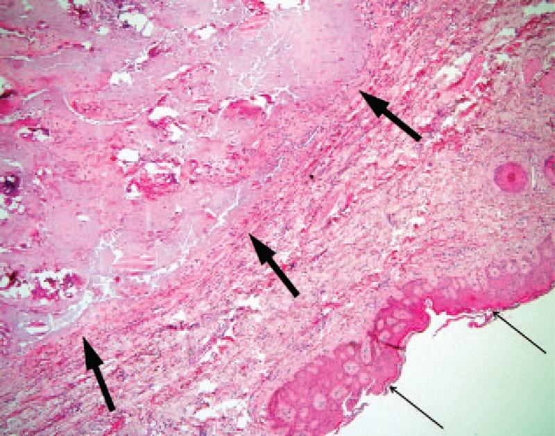
Histopathologic examination demonstrated gouty panniculitis.
Because infection was suspected, an incision was performed. The lesion was found to be densely calcified and friable, without purulent discharge. Therefore, a surgical en-bloc resection was performed.
The wound healed slowly initially due to a combination of malnutrition, chemotherapy and infection. A wound infection with Enterococcus faecium was treated with antibiotic therapy (carbapenem for seven days) and local therapy. At 6-week follow up the wound showed good granulation tissue and was healing well by secondary intention. The patient was instructed to continue anti-hyperuricaemic treatment.
In patients known to have long-standing hyperuricaemia and gout with nonspecific subcutaneous erythematous nodules, gouty panniculitis should be considered.
痛风性脂膜炎的特征是皮下组织中有尿酸钠晶体沉积,是痛风的一种罕见临床表现。
报告了一名67岁男性的病例,其右臀部上方出现一个红斑结节,怀疑为脓肿。这发生在非霍奇金淋巴瘤化疗期间。
组织病理学检查显示为痛风性脂膜炎。
由于怀疑有感染,进行了切开。发现病变部位致密钙化且易碎,无脓性分泌物。因此,进行了手术整块切除。
由于营养不良、化疗和感染共同作用,伤口最初愈合缓慢。粪肠球菌伤口感染采用抗生素治疗(碳青霉烯类药物治疗7天)和局部治疗。在6周的随访中,伤口显示有良好的肉芽组织,通过二期愈合愈合良好。患者被指示继续进行抗高尿酸血症治疗。
对于已知有长期高尿酸血症和痛风且伴有非特异性皮下红斑结节的患者,应考虑痛风性脂膜炎。