Suppr超能文献

尺桡骨干骨折不愈合:手术治疗的临床及影像学结果

Nonunion of Fractures of the Ulna and Radius Diaphyses: Clinical and Radiological Results of Surgical Treatment.

作者信息

Boussakri H, Elibrahimi A, Bachiri M, Elidrissi M, Shimi M, Elmrini A

机构信息

Department of Orthopaedic and Traumatology Surgery, Midelt Hospital, Morocco.

Department of Orthopeadic Surgery B4, Hassan II University Hospital, Fez, Morocco.

出版信息

Malays Orthop J. 2016 Jul;10(2):27-34. doi: 10.5704/MOJ.1607.006.

Abstract

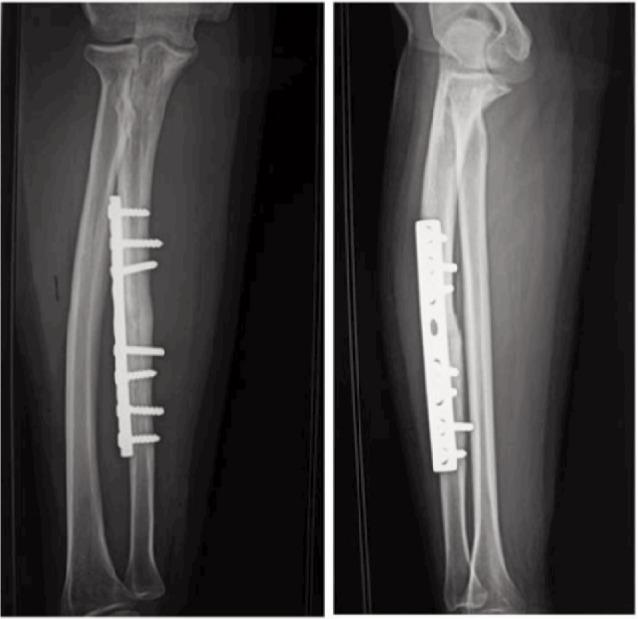
Aseptic nonunion of the radius and ulna is a major complication of forearm fractures, accounting for 2% to 10% of all forearm fractures. The aim of our study is to evaluate the functional and radiological results of surgical treatment of diaphyseal aseptic nonunion of the radius and ulna, with autologous bone grafting, decortication and internal plate fixation. A series of 21 patients (26 nonunions) was retrospectively reviewed, the average age was 35 years with a mean of 31,58 years (range 12-44 years). The fractures included isolated radius (n=6) and ulna (n=10), and both radius and ulna (n=5). The Grace and Eversmann score was used to evaluate our results. Fifteen had very good results, five good and one average. Consolidation of the two bones was attained in 6.2 months. Therefore, the functional prognosis of the upper limb imposes the need for an adequate treatment. This management strategy has enabled us to have satisfactory results. However, the best treatment of nonunion remains the preventive treatment with an optimal management and care of the forearm fractures.

摘要

桡骨和尺骨无菌性骨不连是前臂骨折的主要并发症,占所有前臂骨折的2%至10%。我们研究的目的是评估采用自体骨移植、骨皮质剥除和钢板内固定手术治疗桡骨干和尺骨干无菌性骨不连的功能和影像学结果。回顾性分析了21例患者(26处骨不连),平均年龄35岁,平均31.58岁(范围12 - 44岁)。骨折包括单纯桡骨骨折(n = 6)、单纯尺骨骨折(n = 10)以及桡骨和尺骨双骨折(n = 5)。采用Grace和Eversmann评分评估结果。15例结果非常好,5例良好,1例一般。两根骨头在6.2个月时实现愈合。因此,上肢的功能预后要求进行充分治疗。这种治疗策略使我们取得了满意的结果。然而,骨不连的最佳治疗方法仍是对前臂骨折进行最佳的管理和护理以预防骨不连。

https://cdn.ncbi.nlm.nih.gov/pmc/blobs/5b21/5333654/133226a72eff/moj-10-027-f1.jpg

文献检索

告别复杂PubMed语法,用中文像聊天一样搜索,搜遍4000万医学文献。AI智能推荐,让科研检索更轻松。

立即免费搜索

文件翻译

保留排版,准确专业,支持PDF/Word/PPT等文件格式,支持 12+语言互译。

免费翻译文档

深度研究

AI帮你快速写综述,25分钟生成高质量综述,智能提取关键信息,辅助科研写作。

立即免费体验