Suppr超能文献

海藻糖调节亚基同源物通过调节几丁质合成酶活性兼管介导细胞壁稳态。

Trehalose-Regulatory Subunit Homolog Moonlights To Mediate Cell Wall Homeostasis through Modulation of Chitin Synthase Activity.

作者信息

Thammahong Arsa, Caffrey-Card Alayna K, Dhingra Sourabh, Obar Joshua J, Cramer Robert A

机构信息

Department of Microbiology and Immunology, Geisel School of Medicine at Dartmouth, Hanover, New Hampshire, USA.

Department of Microbiology and Immunology, Geisel School of Medicine at Dartmouth, Hanover, New Hampshire, USA

出版信息

mBio. 2017 Apr 25;8(2):e00056-17. doi: 10.1128/mBio.00056-17.

Abstract

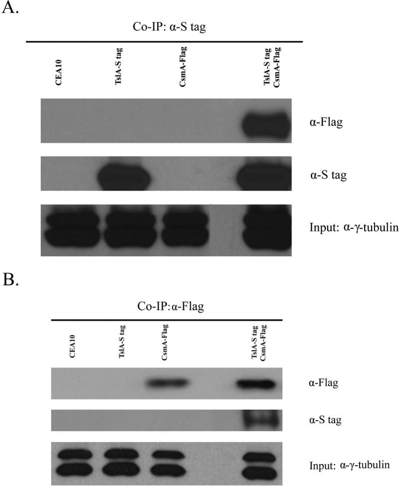
Trehalose biosynthesis is found in fungi but not humans. Proteins involved in trehalose biosynthesis are essential for fungal pathogen virulence in humans and plants through multiple mechanisms. Loss of canonical trehalose biosynthesis genes in the human pathogen significantly alters cell wall structure and integrity, though the mechanistic link between these virulence-associated pathways remains enigmatic. Here we characterize genes, called and , which encode proteins that contain domains similar to those corresponding to trehalose-6-phosphate phosphatase but lack critical catalytic residues for phosphatase activity. Loss of reduces trehalose content in both conidia and mycelia, impairs cell wall integrity, and significantly alters cell wall structure. To gain mechanistic insights into the role that TslA plays in cell wall homeostasis, immunoprecipitation assays coupled with liquid chromatography-tandem mass spectrometry (LC-MS/MS) were used to reveal a direct interaction between TslA and CsmA, a type V chitin synthase enzyme. TslA regulates not only chitin synthase activity but also CsmA sub-cellular localization. Loss of TslA impacts the immunopathogenesis of murine invasive pulmonary aspergillosis through altering cytokine production and immune cell recruitment. In conclusion, our data provide a novel model whereby proteins in the trehalose pathway play a direct role in fungal cell wall homeostasis and consequently impact fungus-host interactions. Human fungal infections are increasing globally due to HIV infections and increased use of immunosuppressive therapies for many diseases. Therefore, new antifungal drugs with reduced side effects and increased efficacy are needed to improve treatment outcomes. Trehalose biosynthesis exists in pathogenic fungi and is absent in humans. Components of the trehalose biosynthesis pathway are important for the virulence of human-pathogenic fungi, including Consequently, it has been proposed that components of this pathway are potential targets for antifungal drug development. However, how trehalose biosynthesis influences the fungus-host interaction remains enigmatic. One phenotype associated with fungal trehalose biosynthesis mutants that remains enigmatic is cell wall perturbation. Here we discovered a novel moonlighting role for a regulatory-like subunit of the trehalose biosynthesis pathway in that regulates cell wall homeostasis through modulation of chitin synthase localization and activity. As the cell wall is a current and promising therapeutic target for fungal infections, understanding the role of trehalose biosynthesis in cell wall homeostasis and virulence is expected to help define new therapeutic opportunities.

摘要

海藻糖生物合成存在于真菌中,而在人类中不存在。参与海藻糖生物合成的蛋白质通过多种机制对人类和植物中的真菌病原体毒力至关重要。人类病原体中典型海藻糖生物合成基因的缺失会显著改变细胞壁结构和完整性,尽管这些与毒力相关途径之间的机制联系仍然不明。在这里,我们鉴定了名为 和 的基因,它们编码的蛋白质含有与海藻糖 -6-磷酸磷酸酶相应结构域相似的结构域,但缺乏磷酸酶活性的关键催化残基。 的缺失会降低分生孢子和菌丝体中的海藻糖含量,损害细胞壁完整性,并显著改变细胞壁结构。为了深入了解TslA在细胞壁稳态中的作用机制,采用免疫沉淀分析结合液相色谱 - 串联质谱(LC-MS/MS)来揭示TslA与V型几丁质合酶CsmA之间的直接相互作用。TslA不仅调节几丁质合酶活性,还调节CsmA的亚细胞定位。TslA的缺失通过改变细胞因子产生和免疫细胞募集影响小鼠侵袭性肺曲霉病的免疫发病机制。总之,我们的数据提供了一个新模型,即海藻糖途径中的蛋白质在真菌细胞壁稳态中起直接作用,从而影响真菌与宿主的相互作用。由于HIV感染以及许多疾病免疫抑制疗法使用的增加,全球人类真菌感染正在增加。因此,需要副作用更小、疗效更高的新型抗真菌药物来改善治疗效果。海藻糖生物合成存在于致病真菌中,而在人类中不存在。海藻糖生物合成途径的组成部分对人类致病真菌的毒力很重要,包括 因此,有人提出该途径的组成部分是抗真菌药物开发的潜在靶点。然而,海藻糖生物合成如何影响真菌与宿主的相互作用仍然不明。与真菌海藻糖生物合成突变体相关的一个仍然不明的表型是细胞壁扰动。在这里,我们发现了海藻糖生物合成途径中一个类似调节亚基的新兼职作用,它通过调节几丁质合酶的定位和活性来调节细胞壁稳态。由于细胞壁是目前真菌感染的一个有前景的治疗靶点,了解海藻糖生物合成在细胞壁稳态和毒力中的作用有望帮助确定新的治疗机会。

https://cdn.ncbi.nlm.nih.gov/pmc/blobs/eba5/5405227/09437b84d5b9/mbo0021732900001.jpg

文献检索

告别复杂PubMed语法,用中文像聊天一样搜索,搜遍4000万医学文献。AI智能推荐,让科研检索更轻松。

立即免费搜索

文件翻译

保留排版,准确专业,支持PDF/Word/PPT等文件格式,支持 12+语言互译。

免费翻译文档

深度研究

AI帮你快速写综述,25分钟生成高质量综述,智能提取关键信息,辅助科研写作。

立即免费体验