Suppr超能文献

古菌HerA蛋白在嗜热栖热菌生物学中的作用。

Role of Archaeal HerA Protein in the Biology of the Bacterium Thermus thermophilus.

作者信息

Blesa Alba, Quintans Nieves G, Baquedano Ignacio, Mata Carlos P, Castón José R, Berenguer José

机构信息

Centro de Biología Molecular Severo Ochoa, Universidad Autónoma de Madrid-Consejo Superior de Investigaciones Científicas, Calle Nicolás Cabrera 1, Madrid 28049, Spain.

Department of Structure of Macromolecules, Centro Nacional de Biotecnología (CNB), Consejo Superior de Investigaciones Científicas (CSIC), Cantoblanco, Madrid 28049, Spain.

出版信息

Genes (Basel). 2017 Apr 27;8(5):130. doi: 10.3390/genes8050130.

Abstract

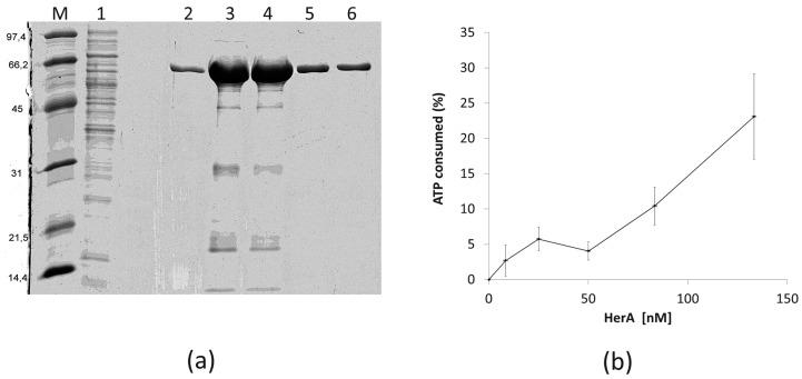
Intense gene flux between prokaryotes result in high percentage of archaeal genes in the genome of the thermophilic bacteria spp. Among these archaeal genes a homolog to the spp. HerA protein appears in all of the spp. strains so far sequenced (HepA). The role of HepA in HB27 has been analyzed using deletion mutants, and its structure resolved at low resolution by electron microscopy. Recombinant HepA shows DNA-dependent ATPase activity and its structure revealed a double ring, conically-shaped hexamer with an upper diameter of 150 Å and a bottom module of 95 Å. A central pore was detected in the structure that ranges from 13 Å at one extreme, to 30 Å at the other. Mutants lacking HepA show defective natural competence and DNA donation capability in a conjugation-like process termed "transjugation", and also high sensitivity to UV and dramatic sensitivity to high temperatures. These data support that acquisition of an ancestral archaeal HerA has been fundamental for the adaptation of spp. to high temperatures.

摘要

原核生物之间强烈的基因流动导致嗜热细菌属基因组中存在高比例的古菌基因。在这些古菌基因中,一种与嗜热栖热菌属HerA蛋白同源的蛋白出现在目前已测序的所有嗜热栖热菌属菌株中(HepA)。已使用缺失突变体分析了HepA在嗜热栖热菌HB27中的作用,并通过电子显微镜以低分辨率解析了其结构。重组HepA显示出依赖DNA的ATP酶活性,其结构揭示为一个双环、圆锥形六聚体,上直径为150 Å,底部模块为95 Å。在该结构中检测到一个中心孔,其一端为13 Å,另一端为30 Å。缺乏HepA的突变体在一种类似接合的过程(称为“转接合”)中显示出天然感受态和DNA捐赠能力缺陷,并且对紫外线高度敏感,对高温极度敏感。这些数据支持获取一个祖先古菌HerA对于嗜热栖热菌属适应高温至关重要。

https://cdn.ncbi.nlm.nih.gov/pmc/blobs/e833/5448004/9b2cc54d8864/genes-08-00130-g001.jpg

文献检索

告别复杂PubMed语法,用中文像聊天一样搜索,搜遍4000万医学文献。AI智能推荐,让科研检索更轻松。

立即免费搜索

文件翻译

保留排版,准确专业,支持PDF/Word/PPT等文件格式,支持 12+语言互译。

免费翻译文档

深度研究

AI帮你快速写综述,25分钟生成高质量综述,智能提取关键信息,辅助科研写作。

立即免费体验