Suppr超能文献

槲皮素与多奈哌齐对东莨菪碱诱导的大鼠失忆症的神经保护作用评估

Evaluation of neuroprotective effect of quercetin with donepezil in scopolamine-induced amnesia in rats.

作者信息

Pattanashetti Laxmi Adiveppa, Taranalli Ashok D, Parvatrao Vinay, Malabade Rohit H, Kumar Dushyant

机构信息

Department of Pharmacology, K.L.E. University's, College of Pharmacy, Belgaum, Karnataka, India.

CHC Healthcare, New Delhi, India.

出版信息

Indian J Pharmacol. 2017 Jan-Feb;49(1):60-64. doi: 10.4103/0253-7613.201016.

Abstract

OBJECTIVE

The objective of this study was to evaluate the neuroprotective effect of quercetin with donepezil in scopolamine-induced amnesia in rats.

MATERIALS AND METHODS

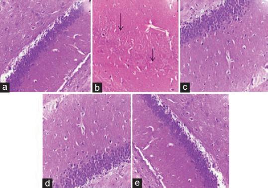
Five groups of adult male Wistar rats (12 months old) weighing 180-200 g ( = 6) were used. The normal control group received normal saline and test group animals were pretreated orally with quercetin (25 mg/kg), donepezil (3 mg/kg), and a combination of quercetin (25 mg/kg) with donepezil (3 mg/kg), respectively, dosed at every 24 h interval for 14 consecutive days, afterward amnesia was induced by scopolamine (3 mg/kg) on the 14 day through intraperitoneal route. Cognitive performance was assessed by the Morris water maze, elevated plus maze, and passive avoidance paradigm. Acetylcholinesterase enzyme (AchE) level, biochemical markers such as lipid peroxidase (LPO), glutathione (GSH), β amyloidlevel, and histopathological study of rat brain were estimated. Statistical analysis was done by one-way analysis of variance, followed by Dunnett's test. ≥ 0.05 was considered statistically significant.

RESULTS

Pretreatment with quercetin, donepezil, and their combination showed a significant increase in escape latency, step-through latency, and decreased transfer latency in respective cognitive models of the Morris water maze, passive avoidance test, and elevated plus maze. Further coadministration significantly decreased AchE level, β amyloidlevel as compared to individual therapy. Biochemical markers such as elevated GSH, decreased LPO were observed, and histopathological studies revealed the reversal of neuronal damage in the treatment group ( < 0.05) as compared to scopolamine-treated control group.

CONCLUSION

Pretreatment with quercetin potentiates the action of donepezil in scopolamine-induced amnesia in rats. The improved cognitive memory could be due to the synergistic effect of the drugs by decreasing AchE level, β amyloidlevel, and antioxidant action in rat brain.

摘要

目的

本研究旨在评估槲皮素与多奈哌齐联用对东莨菪碱诱导的大鼠失忆症的神经保护作用。

材料与方法

选用五组成年雄性Wistar大鼠(12月龄),体重180 - 200 g(每组n = 6)。正常对照组给予生理盐水,试验组动物分别口服槲皮素(25 mg/kg)、多奈哌齐(3 mg/kg)以及槲皮素(25 mg/kg)与多奈哌齐(3 mg/kg)的组合,每24小时给药1次,连续给药14天,之后在第14天通过腹腔注射东莨菪碱(3 mg/kg)诱导失忆症。通过莫里斯水迷宫、高架十字迷宫和被动回避范式评估认知能力。检测乙酰胆碱酯酶(AchE)水平、脂质过氧化(LPO)、谷胱甘肽(GSH)、β淀粉样蛋白水平等生化指标,并对大鼠脑进行组织病理学研究。采用单因素方差分析进行统计分析,随后进行Dunnett检验。P≥0.05被认为具有统计学意义。

结果

在莫里斯水迷宫、被动回避试验和高架十字迷宫各自的认知模型中,槲皮素、多奈哌齐及其组合预处理均显著增加了逃避潜伏期、穿通潜伏期,并缩短了转移潜伏期。与单独治疗相比,联合给药进一步显著降低了AchE水平和β淀粉样蛋白水平。观察到GSH升高、LPO降低等生化指标,组织病理学研究显示与东莨菪碱处理的对照组相比,治疗组神经元损伤得到逆转(P<0.05)。

结论

槲皮素预处理可增强多奈哌齐对东莨菪碱诱导的大鼠失忆症的作用。认知记忆的改善可能归因于药物通过降低大鼠脑内AchE水平、β淀粉样蛋白水平以及抗氧化作用产生的协同效应。

https://cdn.ncbi.nlm.nih.gov/pmc/blobs/eb48/5351240/9c3bcb59ccc2/IJPharm-49-60-g002.jpg

文献检索

告别复杂PubMed语法,用中文像聊天一样搜索,搜遍4000万医学文献。AI智能推荐,让科研检索更轻松。

立即免费搜索

文件翻译

保留排版,准确专业,支持PDF/Word/PPT等文件格式,支持 12+语言互译。

免费翻译文档

深度研究

AI帮你快速写综述,25分钟生成高质量综述,智能提取关键信息,辅助科研写作。

立即免费体验