Suppr超能文献

一名27岁多发肺转移甲状旁腺癌女性患者的诊断与治疗挑战

Diagnosis and treatment challenges of parathyroid carcinoma in a 27-year-old woman with multiple lung metastases.

作者信息

Rozhinskaya Liudmila, Pigarova Ekaterina, Sabanova Ekaterina, Mamedova Elizaveta, Voronkova Iya, Krupinova Julia, Dzeranova Larisa, Tiulpakov Anatoly, Gorbunova Vera, Orel Nadezhda, Zalian Artur, Melnichenko Galina, Dedov Ivan

机构信息

Departments of Neuroendocrinology and Bone Diseases.

Departments of Pathomorphology.

出版信息

Endocrinol Diabetes Metab Case Rep. 2017 Mar 13;2017. doi: 10.1530/EDM-16-0113. eCollection 2017.

Abstract

SUMMARY

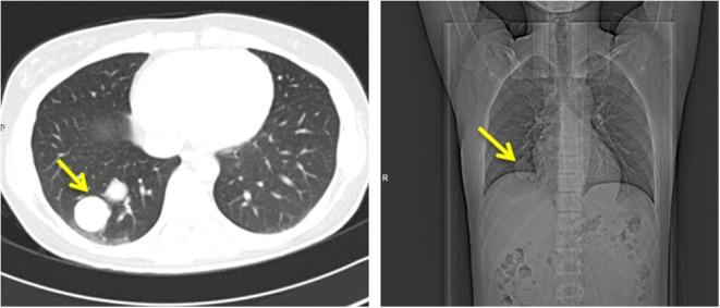
Parathyroid carcinoma is an extremely rare disorder with little treatment options. It could be misdiagnosed in medical centers with little experience in management of such cases. Our clinical case shows that the initial misdiagnosis of a parathyroid carcinoma in a young woman has led to the development of multiple lung metastases, thus making its treatment hardly possible. Initiation of treatment with sorafenib - a multi-kinase inhibitor approved for treatment of different types of cancer but not parathyroid carcinoma - has led to a significant decrease in the size of lung metastases and has prevented the progression of hyperparathyroidism, which is usually severe in cases of parathyroid carcinoma. The detection of a germline mutation in this patient has raised additional concerns about the necessity of periodic screening for early detection of renal, jaw and uterine lesions.

LEARNING POINTS

Diagnosis of parathyroid carcinoma may be challenging due to the absence of reliable diagnostic criteria. Thus, thorough histological examination is needed using immunohistochemical staining of resected tissue in suspicious cases. genetic testing should be considered in patients with parathyroid carcinoma.Sorafenib may be a promising treatment of patients with parathyroid carcinoma with distant metastases.

摘要

摘要

甲状旁腺癌是一种极其罕见的疾病,治疗选择有限。在处理此类病例经验不足的医疗中心,它可能会被误诊。我们的临床病例显示,一名年轻女性甲状旁腺癌的初始误诊导致了多处肺转移的发生,从而使其治疗几乎变得不可能。使用索拉非尼(一种被批准用于治疗不同类型癌症但未被批准用于甲状旁腺癌的多激酶抑制剂)进行治疗,已导致肺转移灶大小显著减小,并阻止了甲状旁腺功能亢进的进展,而甲状旁腺癌患者的甲状旁腺功能亢进通常较为严重。该患者种系突变的检测引发了对定期筛查以早期发现肾脏、颌骨和子宫病变必要性的更多关注。

学习要点

由于缺乏可靠的诊断标准,甲状旁腺癌的诊断可能具有挑战性。因此,在可疑病例中,需要对切除组织进行免疫组化染色以进行全面的组织学检查。对于甲状旁腺癌患者应考虑进行基因检测。索拉非尼可能是治疗有远处转移的甲状旁腺癌患者的一种有前景的治疗方法。

https://cdn.ncbi.nlm.nih.gov/pmc/blobs/78ef/5404464/3ea2dad66529/edmcr-2017-160113-g001.jpg

文献AI研究员

20分钟写一篇综述,助力文献阅读效率提升50倍。

立即体验

用中文搜PubMed

大模型驱动的PubMed中文搜索引擎

马上搜索

文档翻译

学术文献翻译模型,支持多种主流文档格式。

立即体验