• 文献检索
  • 文档翻译
  • 深度研究
  • 学术资讯
  • Suppr Zotero 插件Zotero 插件
  • 邀请有礼
  • 套餐&价格
  • 历史记录
应用&插件
Suppr Zotero 插件Zotero 插件浏览器插件Mac 客户端Windows 客户端微信小程序
定价
高级版会员购买积分包购买API积分包
服务
文献检索文档翻译深度研究API 文档MCP 服务
关于我们
关于 Suppr公司介绍联系我们用户协议隐私条款
关注我们

Suppr 超能文献

核心技术专利:CN118964589B侵权必究
粤ICP备2023148730 号-1Suppr @ 2026

文献检索

告别复杂PubMed语法,用中文像聊天一样搜索,搜遍4000万医学文献。AI智能推荐,让科研检索更轻松。

立即免费搜索

文件翻译

保留排版,准确专业,支持PDF/Word/PPT等文件格式,支持 12+语言互译。

免费翻译文档

深度研究

AI帮你快速写综述,25分钟生成高质量综述,智能提取关键信息,辅助科研写作。

立即免费体验

女性双膦酸盐使用者的非典型股骨干骨折与前外侧股骨干弓增加和外侧皮质增厚相关:一项病例对照研究。

Atypical Femoral Shaft Fractures in Female Bisphosphonate Users Were Associated with an Increased Anterolateral Femoral Bow and a Thicker Lateral Cortex: A Case-Control Study.

机构信息

Graduate School of Medical Science and Engineering, Korea Advanced Institute of Science and Technology, Daejeon, Republic of Korea.

Samsung Medical Center, Sungkyunkwan University School of Medicine, Seoul, Republic of Korea.

出版信息

Biomed Res Int. 2017;2017:5932496. doi: 10.1155/2017/5932496. Epub 2017 Mar 28.

DOI:10.1155/2017/5932496
PMID:28459066
原文链接:https://pmc.ncbi.nlm.nih.gov/articles/PMC5387805/
Abstract

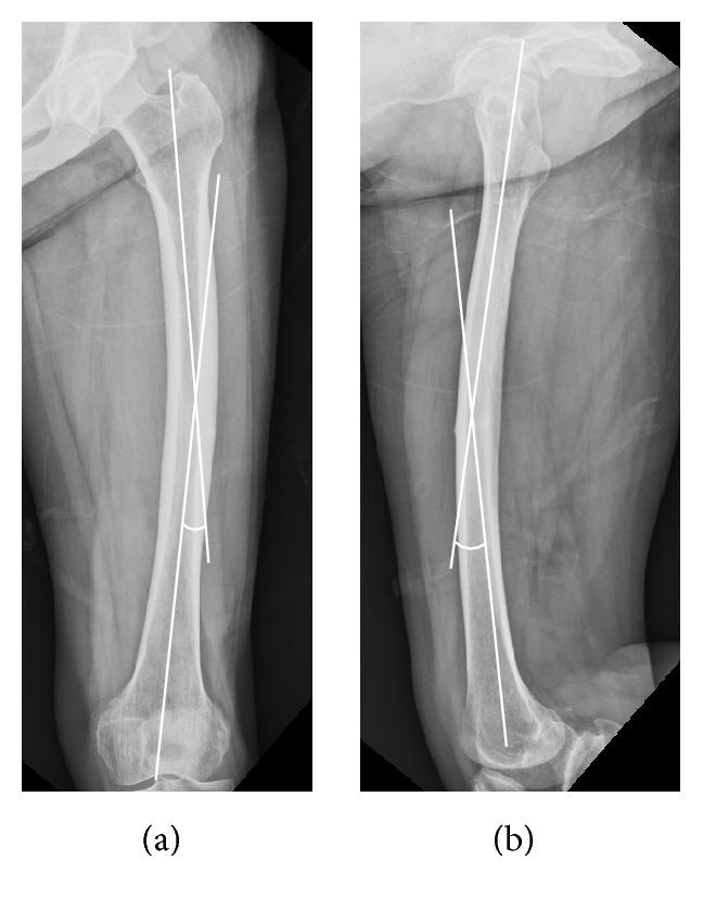
The purpose of our study was to investigate the radiographic characteristics of atypical femoral shaft fractures (AFSFs) in females with a particular focus on femoral bow and cortical thickness. We performed a fracture location-, age-, gender-, and ethnicity-matched case-control study. Forty-two AFSFs in 29 patients and 22 typical osteoporotic femoral shaft fractures in 22 patients were enrolled in AFSF group and control group, respectively. With comparing demographics between two groups, radiographically measured femoral bow and cortical thicknesses of AFSF group were compared with control group. All AFSF patients were females with a mean age of 74.4 years (range, 58-85 years). All had a history of bisphosphonate (BP) use with a mean duration of 7.3 years (range 1-17 years). Femoral bow of AFSF group was significantly higher than control group on both anteroposterior (AP) and lateral radiographs after age correction. Mean femoral bow on an AP radiograph was 12.39° ± 5.38° in AFSF group and 3.97 ± 3.62° in control group ( < 0.0001). Mean femoral bow on the lateral radiograph was 15.71° ± 5.62° in AFSF group and 10.72° ± 4.61° in control group (after age correction = 0.003). And cortical thicknesses of AFSF group demonstrated marked disparity between tensile and compressive side of bowed femurs in this study. An adjusted lateral cortical thickness was 10.5 ± 1.4 mm in AFSF group and 8.1 ± 1.3 mm in control group (after age correction < 0.0001) while medial cortical thickness of AFSF group was not statistically different from control group. Correlation analysis showed that the lateral femoral bow on the AP radiograph was solely related to lateral CTI ( = 0.378, = 0.002). AFSFs in female BP users were associated with an increased anterolateral femoral bow and a thicker lateral cortex of femurs.

摘要

我们的研究目的是探讨女性非典型股骨骨折(AFSFs)的影像学特征,特别关注股骨弯曲和皮质厚度。我们进行了一项骨折部位、年龄、性别和种族匹配的病例对照研究。42 例 AFSF 患者(29 例)和 22 例典型骨质疏松性股骨骨折患者(22 例)纳入 AFSF 组和对照组。比较两组患者的一般资料后,比较 AFSF 组和对照组的股骨弯曲和皮质厚度。所有 AFSF 患者均为女性,平均年龄 74.4 岁(58-85 岁)。所有患者均有双膦酸盐(BP)使用史,平均使用时间为 7.3 年(1-17 年)。校正年龄后,AFSF 组在前后位(AP)和侧位 X 线片上的股骨弯曲均明显高于对照组。AP 位 X 线片上 AFSF 组的平均股骨弯曲为 12.39°±5.38°,对照组为 3.97°±3.62°(<0.0001)。侧位 X 线片上 AFSF 组的平均股骨弯曲为 15.71°±5.62°,对照组为 10.72°±4.61°(校正年龄后 = 0.003)。本研究中,AFSF 组弯曲股骨的拉伸侧和压缩侧皮质厚度存在明显差异。AFSF 组的调整后外侧皮质厚度为 10.5±1.4mm,对照组为 8.1±1.3mm(校正年龄后 <0.0001),而 AFSF 组的内侧皮质厚度与对照组无统计学差异。相关性分析显示,AP 位 X 线片上的外侧股骨弯曲仅与外侧 CTI 相关( = 0.378, = 0.002)。女性 BP 使用者的 AFSF 与前外侧股骨弯曲增加和股骨外侧皮质增厚有关。

https://cdn.ncbi.nlm.nih.gov/pmc/blobs/54a9/5387805/438b28bf5e24/BMRI2017-5932496.004.jpg
https://cdn.ncbi.nlm.nih.gov/pmc/blobs/54a9/5387805/47f483e9915e/BMRI2017-5932496.001.jpg
https://cdn.ncbi.nlm.nih.gov/pmc/blobs/54a9/5387805/2efcff1edce4/BMRI2017-5932496.002.jpg
https://cdn.ncbi.nlm.nih.gov/pmc/blobs/54a9/5387805/21b5333bff6e/BMRI2017-5932496.003.jpg
https://cdn.ncbi.nlm.nih.gov/pmc/blobs/54a9/5387805/438b28bf5e24/BMRI2017-5932496.004.jpg
https://cdn.ncbi.nlm.nih.gov/pmc/blobs/54a9/5387805/47f483e9915e/BMRI2017-5932496.001.jpg
https://cdn.ncbi.nlm.nih.gov/pmc/blobs/54a9/5387805/2efcff1edce4/BMRI2017-5932496.002.jpg
https://cdn.ncbi.nlm.nih.gov/pmc/blobs/54a9/5387805/21b5333bff6e/BMRI2017-5932496.003.jpg
https://cdn.ncbi.nlm.nih.gov/pmc/blobs/54a9/5387805/438b28bf5e24/BMRI2017-5932496.004.jpg

相似文献

1
Atypical Femoral Shaft Fractures in Female Bisphosphonate Users Were Associated with an Increased Anterolateral Femoral Bow and a Thicker Lateral Cortex: A Case-Control Study.女性双膦酸盐使用者的非典型股骨干骨折与前外侧股骨干弓增加和外侧皮质增厚相关:一项病例对照研究。
Biomed Res Int. 2017;2017:5932496. doi: 10.1155/2017/5932496. Epub 2017 Mar 28.
2
Lateral Cortical Thickening and Bone Heterogeneity of the Subtrochanteric Femur Measured With Quantitative CT as Indicators for Early Detection of Atypical Femoral Fractures in Long-Term Bisphosphonate Users.定量 CT 测量的转子下股骨外侧皮质增厚和骨异质性作为长期使用双膦酸盐患者的非典型股骨骨折早期检测指标。
AJR Am J Roentgenol. 2017 Oct;209(4):867-873. doi: 10.2214/AJR.17.17938. Epub 2017 Aug 10.
3
Factors Associated with Increased Healing Time in Complete Femoral Fractures After Long-Term Bisphosphonate Therapy.长期双膦酸盐治疗后股骨完全骨折愈合时间延长的相关因素。
J Bone Joint Surg Am. 2016 Dec 7;98(23):1978-1987. doi: 10.2106/JBJS.15.01422.
4
Association of atypical femoral fractures with bisphosphonate use by patients with varus hip geometry.髋内翻患者使用双膦酸盐与非典型股骨骨折的关联。
J Bone Joint Surg Am. 2014 Nov 19;96(22):1905-9. doi: 10.2106/JBJS.N.00075.
5
Atypical fractures do not have a thicker cortex.非典型骨折没有更厚的皮质骨。
Osteoporos Int. 2012 Dec;23(12):2893-6. doi: 10.1007/s00198-012-2173-9. Epub 2012 Oct 18.
6
Incidence, risk factors, and fracture healing of atypical femoral fractures: a multicenter case-control study.非典型股骨骨折的发生率、风险因素和骨折愈合:一项多中心病例对照研究。
Osteoporos Int. 2018 Nov;29(11):2427-2435. doi: 10.1007/s00198-018-4640-4. Epub 2018 Jul 23.
7
Atypical fractures of the femur: effect of anterolateral bowing of the femur on fracture location.股骨非典型骨折:股骨前外侧弓形对骨折部位的影响。
Arch Orthop Trauma Surg. 2015 Nov;135(11):1485-90. doi: 10.1007/s00402-015-2297-4. Epub 2015 Aug 19.
8
Are women with thicker cortices in the femoral shaft at higher risk of subtrochanteric/diaphyseal fractures? The study of osteoporotic fractures.股骨粗隆下/骨干骨折风险较高的女性,其股骨粗隆部皮质是否较厚?骨质疏松性骨折研究。
J Clin Endocrinol Metab. 2012 Jul;97(7):2414-22. doi: 10.1210/jc.2011-3256. Epub 2012 Apr 30.
9
The outcome of surgically treated femur fractures associated with long-term bisphosphonate use.长期使用双膦酸盐类药物相关的股骨骨折手术治疗结果。
J Trauma. 2011 Jul;71(1):186-90. doi: 10.1097/TA.0b013e31821957e3.
10
Atypical femoral fractures and bisphosphonate treatment: experience in two large United Kingdom teaching hospitals.非典型股骨骨折与双膦酸盐治疗:英国两家大型教学医院的经验
J Bone Joint Surg Br. 2012 Mar;94(3):385-90. doi: 10.1302/0301-620X.94B3.27999.

引用本文的文献

1
Long-term bisphosphonate use and femoral morphological changes in osteoporosis patients: a retrospective cohort study.骨质疏松症患者长期使用双膦酸盐与股骨形态学变化:一项回顾性队列研究。
Eur J Med Res. 2025 Jul 1;30(1):536. doi: 10.1186/s40001-025-02764-4.
2
Differences in femur geometry and bone markers in atypical femur fractures and the general population.非典型股骨骨折与普通人群的股骨几何形状和骨标志物的差异。
Sci Rep. 2021 Dec 17;11(1):24149. doi: 10.1038/s41598-021-03603-2.
3
Health-related quality of life outcomes after surgical treatment of atypical femur fractures: a multicenter retrospective cohort study.

本文引用的文献

1
Femoral shaft bowing in the coronal and sagittal planes on reconstructed computed tomography in women with medial compartment knee osteoarthritis: a comparison with radiograph and its predictive factors.内侧间室膝关节骨关节炎女性患者重建计算机断层扫描中股骨在冠状面和矢状面的弓形弯曲:与X线片的比较及其预测因素
Arch Orthop Trauma Surg. 2016 Sep;136(9):1227-1232. doi: 10.1007/s00402-016-2519-4. Epub 2016 Jul 25.
2
Location of fractures and the characteristics of patients with atypical femoral fractures: analyses of 38 Japanese cases.非典型股骨骨折患者的骨折部位及特征:38例日本病例分析
J Bone Miner Metab. 2017 Mar;35(2):209-214. doi: 10.1007/s00774-016-0747-x. Epub 2016 Mar 29.
3
非典型股骨骨折手术治疗后的健康相关生活质量结果:一项多中心回顾性队列研究。
JBMR Plus. 2021 Sep 30;5(11):e10514. doi: 10.1002/jbm4.10514. eCollection 2021 Nov.
4
Incidence of Atypical Femoral Fracture and Its Mortality in a Single Center in Singapore.新加坡某单一中心非典型股骨骨折的发病率及其死亡率
JBMR Plus. 2021 Jun 19;5(8):e10515. doi: 10.1002/jbm4.10515. eCollection 2021 Aug.
5
Protective Effect of Ciclopirox against Ovariectomy-Induced Bone Loss in Mice by Suppressing Osteoclast Formation and Function.环吡酮胺通过抑制破骨细胞的形成和功能对去卵巢小鼠骨丢失的保护作用。
Int J Mol Sci. 2021 Aug 2;22(15):8299. doi: 10.3390/ijms22158299.
6
The Role of Lower-Limb Geometry in the Pathophysiology of Atypical Femoral Fracture.下肢几何结构在非典型股骨骨折发病机制中的作用。
Curr Osteoporos Rep. 2019 Oct;17(5):281-290. doi: 10.1007/s11914-019-00525-x.
7
A proposal for an atypical femur fracture treatment and prevention clinical practice guideline.非典型股骨骨折治疗与预防临床实践指南建议
Osteoporos Int. 2018 Jun;29(6):1277-1283. doi: 10.1007/s00198-018-4506-9. Epub 2018 Apr 19.
Incidence and Characteristics of Atypical Femoral Fractures: Clinical and Geometrical Data.
非典型股骨骨折的发病率及特征:临床与几何数据
J Bone Miner Res. 2016 Apr;31(4):767-76. doi: 10.1002/jbmr.2748. Epub 2016 Jan 5.
4
Assessment of femur geometrical parameters using EOS™ imaging technology in patients with atypical femur fractures; preliminary results.使用EOS™成像技术评估非典型股骨骨折患者的股骨几何参数;初步结果。
Bone. 2016 Feb;83:184-189. doi: 10.1016/j.bone.2015.10.016. Epub 2015 Nov 2.
5
Atypical fractures of the femur: effect of anterolateral bowing of the femur on fracture location.股骨非典型骨折:股骨前外侧弓形对骨折部位的影响。
Arch Orthop Trauma Surg. 2015 Nov;135(11):1485-90. doi: 10.1007/s00402-015-2297-4. Epub 2015 Aug 19.
6
Association of atypical femoral fractures with bisphosphonate use by patients with varus hip geometry.髋内翻患者使用双膦酸盐与非典型股骨骨折的关联。
J Bone Joint Surg Am. 2014 Nov 19;96(22):1905-9. doi: 10.2106/JBJS.N.00075.
7
Potential pathogenic mechanism for stress fractures of the bowed femoral shaft in the elderly: Mechanical analysis by the CT-based finite element method.老年人股骨弓形骨干应力性骨折的潜在致病机制:基于CT的有限元法力学分析
Injury. 2014 Nov;45(11):1764-71. doi: 10.1016/j.injury.2014.08.037. Epub 2014 Aug 30.
8
Cortical thickness of the femur and long-term bisphosphonate use.股骨皮质厚度与长期使用双膦酸盐类药物
J Bone Miner Res. 2015 Feb;30(2):225-31. doi: 10.1002/jbmr.2345.
9
Femoral shaft strains during daily activities: Implications for atypical femoral fractures.日常活动期间的股骨干应变:对非典型股骨骨折的影响。
Clin Biomech (Bristol). 2014 Sep;29(8):869-76. doi: 10.1016/j.clinbiomech.2014.08.001. Epub 2014 Aug 10.
10
The correlation between lateral bowing angle of the femur and the location of atypical femur fractures.股骨外侧弯曲角度与非典型股骨骨折部位之间的相关性。
Calcif Tissue Int. 2014 Sep;95(3):240-7. doi: 10.1007/s00223-014-9887-y. Epub 2014 Jul 1.