• 文献检索
  • 文档翻译
  • 深度研究
  • 学术资讯
  • Suppr Zotero 插件Zotero 插件
  • 邀请有礼
  • 套餐&价格
  • 历史记录
应用&插件
Suppr Zotero 插件Zotero 插件浏览器插件Mac 客户端Windows 客户端微信小程序
定价
高级版会员购买积分包购买API积分包
服务
文献检索文档翻译深度研究API 文档MCP 服务
关于我们
关于 Suppr公司介绍联系我们用户协议隐私条款
关注我们

Suppr 超能文献

核心技术专利:CN118964589B侵权必究
粤ICP备2023148730 号-1Suppr @ 2026

文献检索

告别复杂PubMed语法,用中文像聊天一样搜索,搜遍4000万医学文献。AI智能推荐,让科研检索更轻松。

立即免费搜索

文件翻译

保留排版,准确专业,支持PDF/Word/PPT等文件格式,支持 12+语言互译。

免费翻译文档

深度研究

AI帮你快速写综述,25分钟生成高质量综述,智能提取关键信息,辅助科研写作。

立即免费体验

雌激素孕激素受体在鼻腔鼻窦内翻性乳头状瘤中的表达模式

Expression pattern of estroprogestinic receptors in sinonasal inverted papilloma.

作者信息

Serra Agostino, Caltabiano Rosario, Spinato Giacomo, Gallina Salvatore, Caruso Salvatore, Rapisarda Venerando, Di Mauro Paola, Castro Veronica, Conti Angelo, Licciardello Luisa, Maiolino Luigi, Lanzafame Salvatore, Cocuzza Salvatore

机构信息

Department of Medical and Surgical Sciences and Advanced Technologies "G. Ingrassia", ENT Section, University of Catania, Catania, Italy.

Department of Medical and Surgical Sciences and Advanced Technologies "G. Ingrassia", Section of Anatomic Pathology, University of Catania, Catania, Italy.

出版信息

Oncotarget. 2017 Jun 13;8(24):38962-38968. doi: 10.18632/oncotarget.17161.

DOI:10.18632/oncotarget.17161
PMID:28473663
原文链接:https://pmc.ncbi.nlm.nih.gov/articles/PMC5503586/
Abstract

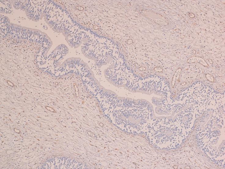
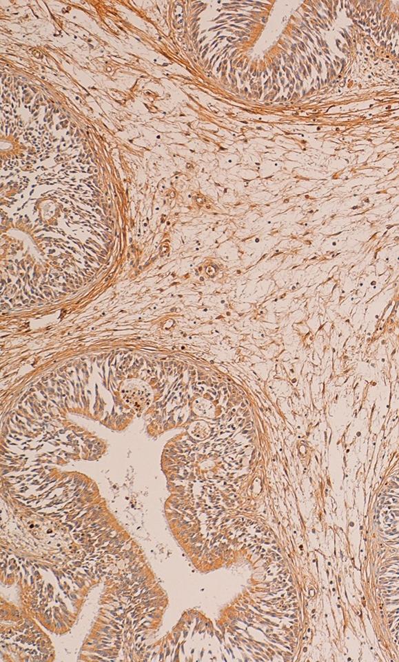
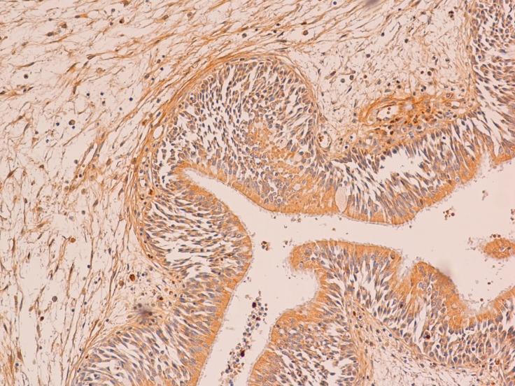
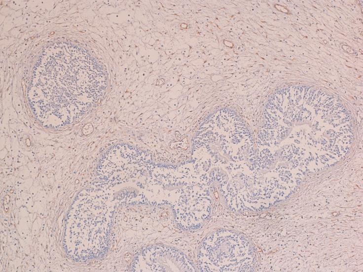
Inverted papilloma (IP) is a locally destructive, benign neoplasm of the nose and paranasal sinuses with a high tendency for recurrence, a significant potential for malignancy, and an etiology that today is still uncertain. The expression of hormonal receptors in neoplastic tissues has been the focus of intensive research for its potential diagnostic, prognostic, and therapeutic significance. The aim of this study was to assess the potential estroprogestinic receptor expression in patients undergoing sinus surgery for IP. A retrospective study was carried out, on surgical specimens of 73 patients who underwent endoscopic sinus surgery for first manifestation of sinonasal IP (primitive IP group) and in 21 subjects who had developed a recurrence (relapsed IP group). The results of the immunohistochemical analysis of the first group showed the absence of receptor expression for PGR in all cases analyzed and the presence of a low positivity for ER in 11 cases (P > 0.082). Similarly, in the second group the results showed a low presence of ER receptors in 3 of the 21 cases (P > 0.068), while there was no evidence of PGR receptors in the examined samples. In addition, in 11 of the cases only 3 were considered positive (27.2%) showing a recurrence during follow-up (P > 0.068).Our results suggest that the sinonasal IP is a benign tumor independent of estrogen and progesterone, and the receptors for these hormones are therefore unsuitable as predictors of relapse or possible prognostic indicators and therapeutic targets.

摘要

内翻性乳头状瘤(IP)是一种发生于鼻腔和鼻窦的具有局部破坏性的良性肿瘤,具有较高的复发倾向、显著的恶变潜能,且其病因至今仍不明确。肿瘤组织中激素受体的表达因其潜在的诊断、预后及治疗意义一直是深入研究的重点。本研究旨在评估因IP接受鼻窦手术患者的雌激素和孕激素受体潜在表达情况。对73例因鼻窦IP首次发病接受内镜鼻窦手术的患者(原发性IP组)以及21例复发患者(复发性IP组)的手术标本进行了回顾性研究。第一组免疫组化分析结果显示,所有分析病例中均未检测到孕激素受体(PGR)表达,11例病例雌激素受体(ER)呈低阳性(P>0.082)。同样,第二组结果显示,21例中有3例ER受体呈低表达(P>0.068),而在所检测样本中未发现PGR受体。此外,11例病例中仅3例(27.2%)在随访期间出现复发(P>0.068)。我们的结果表明,鼻窦IP是一种独立于雌激素和孕激素的良性肿瘤,因此这些激素的受体不适用于作为复发的预测指标或可能的预后指标及治疗靶点。

https://cdn.ncbi.nlm.nih.gov/pmc/blobs/bc2f/5503586/884fc07ea9f3/oncotarget-08-38962-g005.jpg
https://cdn.ncbi.nlm.nih.gov/pmc/blobs/bc2f/5503586/59fc8873d7d9/oncotarget-08-38962-g001.jpg
https://cdn.ncbi.nlm.nih.gov/pmc/blobs/bc2f/5503586/ee31a92a8f27/oncotarget-08-38962-g002.jpg
https://cdn.ncbi.nlm.nih.gov/pmc/blobs/bc2f/5503586/f98697d980b8/oncotarget-08-38962-g003.jpg
https://cdn.ncbi.nlm.nih.gov/pmc/blobs/bc2f/5503586/51e9e463d2dd/oncotarget-08-38962-g004.jpg
https://cdn.ncbi.nlm.nih.gov/pmc/blobs/bc2f/5503586/884fc07ea9f3/oncotarget-08-38962-g005.jpg
https://cdn.ncbi.nlm.nih.gov/pmc/blobs/bc2f/5503586/59fc8873d7d9/oncotarget-08-38962-g001.jpg
https://cdn.ncbi.nlm.nih.gov/pmc/blobs/bc2f/5503586/ee31a92a8f27/oncotarget-08-38962-g002.jpg
https://cdn.ncbi.nlm.nih.gov/pmc/blobs/bc2f/5503586/f98697d980b8/oncotarget-08-38962-g003.jpg
https://cdn.ncbi.nlm.nih.gov/pmc/blobs/bc2f/5503586/51e9e463d2dd/oncotarget-08-38962-g004.jpg
https://cdn.ncbi.nlm.nih.gov/pmc/blobs/bc2f/5503586/884fc07ea9f3/oncotarget-08-38962-g005.jpg

相似文献

1
Expression pattern of estroprogestinic receptors in sinonasal inverted papilloma.雌激素孕激素受体在鼻腔鼻窦内翻性乳头状瘤中的表达模式
Oncotarget. 2017 Jun 13;8(24):38962-38968. doi: 10.18632/oncotarget.17161.
2
[Inverted papilloma of the nose and paranasal sinuses--diagnosis, surgical procedure and studies of cytokeratin profile].[鼻腔及鼻窦内翻性乳头状瘤——诊断、手术方法及细胞角蛋白谱研究]
Laryngorhinootologie. 1997 Apr;76(4):216-24. doi: 10.1055/s-2007-997415.
3
Metallothionein 2A core promoter region genetic polymorphism and its impact on the risk, tumor behavior, and recurrences of sinonasal inverted papilloma (Schneiderian papilloma).金属硫蛋白2A核心启动子区域基因多态性及其对鼻窦内翻性乳头状瘤(施奈德乳头状瘤)的风险、肿瘤行为和复发的影响。
Tumour Biol. 2015 Nov;36(11):8559-71. doi: 10.1007/s13277-015-3616-7. Epub 2015 Jun 3.
4
Overexpression of angiomotin in sinonasal inverted papilloma.血管动蛋白在鼻窦内翻性乳头状瘤中的过表达。
Int Forum Allergy Rhinol. 2014 Jun;4(6):512-6. doi: 10.1002/alr.21293. Epub 2014 Feb 14.
5
Sinonasal papilloma in Chiang Mai University Hospital.清迈大学医院的鼻鼻窦乳头状瘤
J Med Assoc Thai. 2013 Mar;96(3):329-33.
6
Endoscopic Resection of Sinonasal Inverted Papilloma: A Multivariate Retrospective Analysis of Factors Affecting Recurrence and Persistence.鼻内翻性乳头状瘤的内镜切除术:影响复发和持续存在因素的多变量回顾性分析
Ear Nose Throat J. 2021 Sep;100(5_suppl):542S-548S. doi: 10.1177/0145561319890454. Epub 2019 Nov 28.
7
Apoptotic and proliferative status in HPV (+) and HPV (-) inverted papilloma patients. Correlation with local recurrence and clinicopathological variables.HPV(+)和 HPV(-)内翻性乳头状瘤患者的凋亡和增殖状态。与局部复发和临床病理变量的相关性。
Pathol Res Pract. 2012 Jun 15;208(6):338-43. doi: 10.1016/j.prp.2012.03.009. Epub 2012 May 4.
8
[Inverted papilloma of the nose and paranasal sinuses].[鼻及鼻窦内翻性乳头状瘤]
Otolaryngol Pol. 1993;47(6):516-20.
9
Human papilloma virus and p53 expression in carcinomas associated with sinonasal papillomas: a Danish Epidemiological study 1980-1998.人乳头瘤病毒与鼻窦乳头状瘤相关癌中的p53表达:一项1980 - 1998年的丹麦流行病学研究
Laryngoscope. 2001 Jun;111(6):1104-10. doi: 10.1097/00005537-200106000-00032.
10
Temporal bone and sinonasal inverted papilloma: the same pathological entity?颞骨与鼻窦内翻性乳头状瘤:是同一病理实体吗?
Arch Otolaryngol Head Neck Surg. 2003 May;129(5):553-6. doi: 10.1001/archotol.129.5.553.

引用本文的文献

1
When Two Lives Are at Stake: Sinonasal Adenoid Cystic Carcinoma During Pregnancy.当两条生命危在旦夕:妊娠期鼻窦腺样囊性癌
Cureus. 2025 May 27;17(5):e84927. doi: 10.7759/cureus.84927. eCollection 2025 May.
2
Identification and validation of Novel Estrogen Biosynthesis Biomarkers in Sinonasal Inverted Papilloma.鼻窦内翻性乳头状瘤中新型雌激素生物合成生物标志物的鉴定与验证
Int J Med Sci. 2025 Jan 1;22(1):158-169. doi: 10.7150/ijms.101753. eCollection 2025.

本文引用的文献

1
Childhood neurofibromatosis type 2 (NF2) and related disorders: from bench to bedside and biologically targeted therapies.儿童2型神经纤维瘤病(NF2)及相关疾病:从实验室到临床及生物靶向治疗
Acta Otorhinolaryngol Ital. 2016 Oct;36(5):345-367. doi: 10.14639/0392-100X-1093.
2
A rare location of benign osteoblastoma: case study and a review of the literature.良性骨母细胞瘤的罕见部位:病例研究及文献复习。
Eur Rev Med Pharmacol Sci. 2012 Nov;16(13):1891-4.
3
Respiratory epithelial adenomatoid hamartoma: case report and literature review.
呼吸道上皮性腺瘤样错构瘤:病例报告及文献综述
Pathologica. 2008 Jun;100(3):185-8.
4
Auditory brainstem response in premenopausal women taking oral contraceptives.服用口服避孕药的绝经前女性的听觉脑干反应
Hum Reprod. 2003 Jan;18(1):85-9. doi: 10.1093/humrep/deg003.
5
Estrogen and progesterone receptor expression in inverted papilloma.
Am J Otolaryngol. 1998 Jul-Aug;19(4):237-9. doi: 10.1016/s0196-0709(98)90124-7.
6
Third annual William L. McGuire Memorial Lecture. "Studies on the estrogen receptor in breast cancer"--20 years as a target for the treatment and prevention of cancer.第三届威廉·L·麦圭尔纪念讲座。“乳腺癌雌激素受体研究”——作为癌症治疗与预防靶点的20年。
Breast Cancer Res Treat. 1995;36(3):267-85. doi: 10.1007/BF00713399.
7
Sex steroid receptors in papilloma, normal mucosa and polyps of the nose.
ORL J Otorhinolaryngol Relat Spec. 1994 May-Jun;56(3):154-6. doi: 10.1159/000276632.
8
Androgen receptors and antiandrogen therapy for laryngeal carcinoma.雄激素受体与喉癌的抗雄激素治疗
Arch Otolaryngol. 1984 Nov;110(11):721-4. doi: 10.1001/archotol.1984.00800370023005.
9
Estradiol receptor-binding protein in head and neck neoplastic and normal tissue.头颈部肿瘤组织和正常组织中的雌二醇受体结合蛋白
Arch Surg. 1981 Feb;116(2):207-10. doi: 10.1001/archsurg.1981.01380140053012.
10
Estrogen and progesterone receptors in head and neck cancer.
Arch Otolaryngol. 1984 Nov;110(11):725-7. doi: 10.1001/archotol.1984.00800370027006.