Suppr超能文献

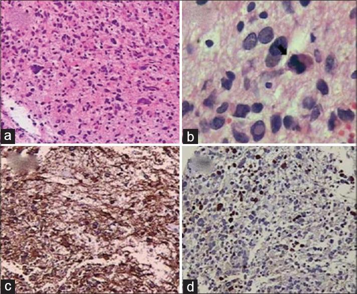
Gliomatosis cerebri in a 10-year-old male patient.

作者信息

Strapasson Atahualpa, Antunes Ápio Cláudio Martins, Oliveira Francine, Oppitz Paulo P

机构信息

Department of Neurology and Neurosurgery, Neurosurgical Unit, Hospital de Clínicas de Porto Alegre, Porto Alegre, Brazil.

Pathology Unit, Hospital de Clínicas de Porto Alegre, Porto Alegre, Brazil.

出版信息

Asian J Neurosurg. 2017 Apr-Jun;12(2):336-337. doi: 10.4103/1793-5482.150230.

Abstract
摘要
https://cdn.ncbi.nlm.nih.gov/pmc/blobs/2b8d/5409406/cb28ca1546c3/AJNS-12-336-g001.jpg

文献检索

告别复杂PubMed语法,用中文像聊天一样搜索,搜遍4000万医学文献。AI智能推荐,让科研检索更轻松。

立即免费搜索

文件翻译

保留排版,准确专业,支持PDF/Word/PPT等文件格式,支持 12+语言互译。

免费翻译文档

深度研究

AI帮你快速写综述,25分钟生成高质量综述,智能提取关键信息,辅助科研写作。

立即免费体验