Suppr超能文献

超顺磁性氧化铁纳米颗粒复合阳离子直链淀粉用于中风中移植干细胞的体内磁共振成像追踪

Superparamagnetic Iron Oxide Nanoparticles-Complexed Cationic Amylose for In Vivo Magnetic Resonance Imaging Tracking of Transplanted Stem Cells in Stroke.

作者信息

Lin Bing-Ling, Zhang Jun-Zhao, Lu Lie-Jing, Mao Jia-Ji, Cao Ming-Hui, Mao Xu-Hong, Zhang Fang, Duan Xiao-Hui, Zheng Chu-Shan, Zhang Li-Ming, Shen Jun

机构信息

Department of Radiology, Sun Yat-Sen Memorial Hospital, Sun Yat-Sen University, Guangzhou 510120, China.

Department of Polymer and Materials Science, School of Chemistry, Sun Yat-Sen University, Guangzhou 510275, Guangdong, China.

出版信息

Nanomaterials (Basel). 2017 May 10;7(5):107. doi: 10.3390/nano7050107.

Abstract

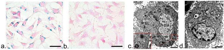
Cell-based therapy with mesenchymal stem cells (MSCs) is a promising strategy for acute ischemic stroke. In vivo tracking of therapeutic stem cells with magnetic resonance imaging (MRI) is imperative for better understanding cellular survival and migrational dynamics over time. In this study, we develop a novel biocompatible nanocomplex (ASP-SPIONs) based on cationic amylose, by introducing spermine and the image label, ultrasmall superparamagnetic iron oxide nanoparticles (SPIONs), to label MSCs. The capacity, efficiency, and cytotoxicity of the nanocomplex in transferring SPIONs into green fluorescence protein-modified MSCs were tested; and the performance of in vivo MRI tracking of the transplanted cells in acute ischemic stroke was determined. The results demonstrated that the new class of SPIONs-complexed nanoparticles based on biodegradable amylose can serve as a highly effective and safe carrier to transfer magnetic label into stem cells. A reliable tracking of transplanted stem cells in stroke was achieved by MRI up to 6 weeks, with the desirable therapeutic benefit of stem cells on stroke retained. With the advantages of a relatively low SPIONs concentration and a short labeling period, the biocompatible complex of cationic amylose with SPIONs is highly translatable for clinical application. It holds great promise in efficient, rapid, and safe labeling of stem cells for subsequent cellular MRI tracking in regenerative medicine.

摘要

间充质干细胞(MSCs)的细胞疗法是急性缺血性中风的一种有前景的策略。利用磁共振成像(MRI)对治疗性干细胞进行体内追踪对于更好地了解细胞随时间的存活和迁移动态至关重要。在本研究中,我们通过引入精胺和图像标记超小超顺磁性氧化铁纳米颗粒(SPIONs)来标记MSCs,开发了一种基于阳离子直链淀粉的新型生物相容性纳米复合物(ASP-SPIONs)。测试了该纳米复合物将SPIONs转移到绿色荧光蛋白修饰的MSCs中的能力、效率和细胞毒性;并确定了急性缺血性中风中移植细胞的体内MRI追踪性能。结果表明,基于可生物降解直链淀粉的新型SPIONs复合纳米颗粒可作为一种高效、安全的载体,将磁性标记物转移到干细胞中。通过MRI在长达6周的时间内实现了对中风中移植干细胞的可靠追踪,同时保留了干细胞对中风的理想治疗益处。由于具有相对较低的SPIONs浓度和较短的标记期等优点,阳离子直链淀粉与SPIONs的生物相容性复合物在临床应用中具有很高的可转化性。它在高效、快速和安全地标记干细胞以便在再生医学中进行后续细胞MRI追踪方面具有巨大潜力。

https://cdn.ncbi.nlm.nih.gov/pmc/blobs/1370/5449988/f8bd47b5bb4d/nanomaterials-07-00107-g001.jpg

文献检索

告别复杂PubMed语法,用中文像聊天一样搜索,搜遍4000万医学文献。AI智能推荐,让科研检索更轻松。

立即免费搜索

文件翻译

保留排版,准确专业,支持PDF/Word/PPT等文件格式,支持 12+语言互译。

免费翻译文档

深度研究

AI帮你快速写综述,25分钟生成高质量综述,智能提取关键信息,辅助科研写作。

立即免费体验