• 文献检索
  • 文档翻译
  • 深度研究
  • 学术资讯
  • Suppr Zotero 插件Zotero 插件
  • 邀请有礼
  • 套餐&价格
  • 历史记录
应用&插件
Suppr Zotero 插件Zotero 插件浏览器插件Mac 客户端Windows 客户端微信小程序
定价
高级版会员购买积分包购买API积分包
服务
文献检索文档翻译深度研究API 文档MCP 服务
关于我们
关于 Suppr公司介绍联系我们用户协议隐私条款
关注我们

Suppr 超能文献

核心技术专利:CN118964589B侵权必究
粤ICP备2023148730 号-1Suppr @ 2026

文献检索

告别复杂PubMed语法,用中文像聊天一样搜索,搜遍4000万医学文献。AI智能推荐,让科研检索更轻松。

立即免费搜索

文件翻译

保留排版,准确专业,支持PDF/Word/PPT等文件格式,支持 12+语言互译。

免费翻译文档

深度研究

AI帮你快速写综述,25分钟生成高质量综述,智能提取关键信息,辅助科研写作。

立即免费体验

川芎嗪对高脂饮食喂养的载脂蛋白E基因敲除小鼠动脉粥样硬化及SCAP/SREBP-1c信号通路的影响

Effect of Tetramethylpyrazine on Atherosclerosis and SCAP/SREBP-1c Signaling Pathway in ApoE Mice Fed with a High-Fat Diet.

作者信息

Zhang Ying, Ren Pan, Kang Qunfu, Liu Weihong, Li Sinai, Li Ping, Liu Hongxu, Shang Juju, Zhang Lei, Gong Yanbing, Zhou Mingxue

机构信息

Department of TCM, Beijing Luhe Hospital, Capital Medical University, Beijing 100149, China.

Beijing Hospital of Traditional Chinese Medicine, Capital Medical University, Beijing Institute of Traditional Chinese Medicine, Beijing 100010, China.

出版信息

Evid Based Complement Alternat Med. 2017;2017:3121989. doi: 10.1155/2017/3121989. Epub 2017 Apr 12.

DOI:10.1155/2017/3121989
PMID:28491104
原文链接:https://pmc.ncbi.nlm.nih.gov/articles/PMC5405370/
Abstract

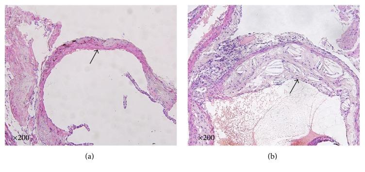
Lipid metabolism dysregulation plays a crucial role in the occurrence of atherosclerosis (As). SCAP/SREBP signaling is the main pathway for regulating lipid metabolism. Tetramethylpyrazine (TMP), a Traditional Chinese Medicine (TCM) for treating angina pectoris, has antiatherosclerotic effects and ameliorates blood lipids disturbance. However, its precise mechanism remains unclear. This study investigated the mechanism of TMP in ameliorating As in mice model. After six weeks of high-fat diet, 30 ApoE mice were randomized ( = 10) and treated with Lipitor, TMP, or distilled water for six weeks. The serum blood lipids and insulin levels were measured. The expressions of PAQR3, Insig-1, SCAP, SREBP-1c, IRS-1, PI3K, Akt, and mTORC-1 in the adipose tissues were determined. The results showed that TMP could significantly decrease blood lipids levels, insulin, and corrected plaque area of the ApoE mice as compared to the untreated mice ( < 0.05, < 0.01). Moreover, TMP could significantly downregulate the expressions of SCAP, SREBP-1c, PAQR3, IRS-1, PI3K, Akt, and mTORC1 ( < 0.01). Thus, TMP may ameliorate lipid metabolism disorder and As by downregulating PAQR3 and inhibiting SCAP/SREBP-1c signaling pathway. In addition, PI3K/Akt/mTORC1 signaling pathway may be involved in this process.

摘要

脂质代谢失调在动脉粥样硬化(As)的发生中起关键作用。SCAP/SREBP信号通路是调节脂质代谢的主要途径。川芎嗪(TMP)是一种用于治疗心绞痛的中药,具有抗动脉粥样硬化作用并改善血脂紊乱。然而,其确切机制仍不清楚。本研究探讨了TMP改善小鼠模型中As的机制。高脂饮食六周后,将30只载脂蛋白E小鼠随机分组(每组 = 10只),并用立普妥、TMP或蒸馏水治疗六周。检测血清血脂和胰岛素水平。测定脂肪组织中PAQR3、Insig-1、SCAP、SREBP-1c、IRS-1、PI3K、Akt和mTORC-1的表达。结果表明,与未治疗的小鼠相比,TMP可显著降低载脂蛋白E小鼠的血脂水平、胰岛素水平并减小斑块面积(P < 0.05,P < 0.01)。此外,TMP可显著下调SCAP、SREBP-1c、PAQR3、IRS-1、PI3K、Akt和mTORC1的表达(P < 0.01)。因此,TMP可能通过下调PAQR3并抑制SCAP/SREBP-1c信号通路来改善脂质代谢紊乱和As。此外,PI3K/Akt/mTORC1信号通路可能参与了这一过程。

https://cdn.ncbi.nlm.nih.gov/pmc/blobs/c8f8/5405370/adf242deb144/ECAM2017-3121989.006.jpg
https://cdn.ncbi.nlm.nih.gov/pmc/blobs/c8f8/5405370/65b664d58f1a/ECAM2017-3121989.001.jpg
https://cdn.ncbi.nlm.nih.gov/pmc/blobs/c8f8/5405370/0d86c567eb49/ECAM2017-3121989.002.jpg
https://cdn.ncbi.nlm.nih.gov/pmc/blobs/c8f8/5405370/5db81d38c674/ECAM2017-3121989.003.jpg
https://cdn.ncbi.nlm.nih.gov/pmc/blobs/c8f8/5405370/009fa2ec9ef5/ECAM2017-3121989.004.jpg
https://cdn.ncbi.nlm.nih.gov/pmc/blobs/c8f8/5405370/7158801d0b9b/ECAM2017-3121989.005.jpg
https://cdn.ncbi.nlm.nih.gov/pmc/blobs/c8f8/5405370/adf242deb144/ECAM2017-3121989.006.jpg
https://cdn.ncbi.nlm.nih.gov/pmc/blobs/c8f8/5405370/65b664d58f1a/ECAM2017-3121989.001.jpg
https://cdn.ncbi.nlm.nih.gov/pmc/blobs/c8f8/5405370/0d86c567eb49/ECAM2017-3121989.002.jpg
https://cdn.ncbi.nlm.nih.gov/pmc/blobs/c8f8/5405370/5db81d38c674/ECAM2017-3121989.003.jpg
https://cdn.ncbi.nlm.nih.gov/pmc/blobs/c8f8/5405370/009fa2ec9ef5/ECAM2017-3121989.004.jpg
https://cdn.ncbi.nlm.nih.gov/pmc/blobs/c8f8/5405370/7158801d0b9b/ECAM2017-3121989.005.jpg
https://cdn.ncbi.nlm.nih.gov/pmc/blobs/c8f8/5405370/adf242deb144/ECAM2017-3121989.006.jpg

相似文献

1
Effect of Tetramethylpyrazine on Atherosclerosis and SCAP/SREBP-1c Signaling Pathway in ApoE Mice Fed with a High-Fat Diet.川芎嗪对高脂饮食喂养的载脂蛋白E基因敲除小鼠动脉粥样硬化及SCAP/SREBP-1c信号通路的影响
Evid Based Complement Alternat Med. 2017;2017:3121989. doi: 10.1155/2017/3121989. Epub 2017 Apr 12.
2
PI3K/AKT/SERBP-1 pathway regulates beverage treatment of atherosclerosis in APOE high-fat diet mice.PI3K/AKT/SERBP-1 通路调节 APOE 高脂饮食小鼠的饮料治疗动脉粥样硬化。
Pharm Biol. 2023 Dec;61(1):473-487. doi: 10.1080/13880209.2023.2168020.
3
Effect of Compound Chuanxiong Capsule on Inflammatory Reaction and PI3K/Akt/NF-κB Signaling Pathway in Atherosclerosis.复方川芎胶囊对动脉粥样硬化炎症反应及PI3K/Akt/NF-κB信号通路的影响
Evid Based Complement Alternat Med. 2015;2015:584596. doi: 10.1155/2015/584596. Epub 2015 Oct 11.
4
[Intervention effects and mechanism of Chinese herbal medicine of supplementing Qi and activating blood circulation on chronic intermittent hypoxia composite insulin resistance ApoE~(-/-) mice model].[益气活血中药对慢性间歇性缺氧复合胰岛素抵抗ApoE~(-/-)小鼠模型的干预作用及机制]
Zhongguo Zhong Yao Za Zhi. 2019 Jan;44(1):141-149. doi: 10.19540/j.cnki.cjcmm.20181127.001.
5
Danhong Injection Attenuates High-Fat-Induced Atherosclerosis and Macrophage Lipid Accumulation by Regulating the PI3K/AKT Insulin Pathway.丹红注射液通过调控 PI3K/AKT 胰岛素通路抑制高脂诱导的动脉粥样硬化及巨噬细胞脂质蓄积。
J Cardiovasc Pharmacol. 2019 Aug;74(2):152-161. doi: 10.1097/FJC.0000000000000691.
6
Shen-Yuan-Dan Capsule Attenuates Atherosclerosis and Foam Cell Formation by Enhancing Autophagy and Inhibiting the PI3K/Akt/mTORC1 Signaling Pathway.参元丹胶囊通过增强自噬和抑制PI3K/Akt/mTORC1信号通路减轻动脉粥样硬化和泡沫细胞形成。
Front Pharmacol. 2019 May 31;10:603. doi: 10.3389/fphar.2019.00603. eCollection 2019.
7
Shen-Yuan-Dan Capsule Inhibiting Inflammatory Reaction by Regulating Insulin Receptor Substrate 1/PI3K/Akt/NF-κB Signaling Pathway in Apoliprotein E Knockout Mice Fed with a High-Fat Diet.参元丹胶囊通过调节高脂饮食喂养的载脂蛋白E基因敲除小鼠胰岛素受体底物1/磷脂酰肌醇3激酶/蛋白激酶B/核因子κB信号通路抑制炎症反应
Acta Cardiol Sin. 2017 May;33(3):285-291. doi: 10.6515/acs20160901b.
8
[Effects of transcription factor sterol regulatory element binding protein-1c in palmitate acid-induced L6 cells insulin resistance and its mechanism].[转录因子固醇调节元件结合蛋白-1c在棕榈酸诱导的L6细胞胰岛素抵抗中的作用及其机制]
Zhonghua Yi Xue Za Zhi. 2015 Mar 3;95(8):611-5.
9
SCAP knockdown in vascular smooth muscle cells alleviates atherosclerosis plaque formation via up-regulating autophagy in ApoE mice.在载脂蛋白 E 敲除小鼠中,血管平滑肌细胞中 SCAP 的敲低通过上调自噬来减轻动脉粥样硬化斑块的形成。
FASEB J. 2019 Mar;33(3):3437-3450. doi: 10.1096/fj.201800975RRR. Epub 2018 Nov 21.
10
Tetramethylpyrazine prevents diabetes by activating PI3K/Akt/GLUT-4 signalling in animal model of type-2 diabetes.川芎嗪通过激活 2 型糖尿病动物模型中的 PI3K/Akt/GLUT-4 信号通路预防糖尿病。
Life Sci. 2019 Nov 1;236:116836. doi: 10.1016/j.lfs.2019.116836. Epub 2019 Sep 4.

引用本文的文献

1
The Role of SCAP/SREBP as Central Regulators of Lipid Metabolism in Hepatic Steatosis.SCAP/SREBP 在肝脂肪变性中的脂质代谢中的中心调控作用。
Int J Mol Sci. 2024 Jan 16;25(2):1109. doi: 10.3390/ijms25021109.
2
Taohong Siwu decoction ameliorates atherosclerosis in rats possibly through toll-like receptor 4/myeloid differentiation primary response protein 88/nuclear factor-κB signal pathway.桃红四物汤通过 Toll 样受体 4/髓样分化初级反应蛋白 88/核因子-κB 信号通路改善大鼠动脉粥样硬化。
J Tradit Chin Med. 2024 Feb;44(1):103-112. doi: 10.19852/j.cnki.jtcm.20231215.003.
3
Efficacy and safety of Qiangli Dingxuan tablet combined with amlodipine besylate for essential hypertension: a randomized, double-blind, placebo-controlled, parallel-group, multicenter trial.

本文引用的文献

1
Effect of Compound Chuanxiong Capsule on Inflammatory Reaction and PI3K/Akt/NF-κB Signaling Pathway in Atherosclerosis.复方川芎胶囊对动脉粥样硬化炎症反应及PI3K/Akt/NF-κB信号通路的影响
Evid Based Complement Alternat Med. 2015;2015:584596. doi: 10.1155/2015/584596. Epub 2015 Oct 11.
2
PAQR3 modulates cholesterol homeostasis by anchoring Scap/SREBP complex to the Golgi apparatus.PAQR3通过将Scap/SREBP复合物锚定到高尔基体来调节胆固醇稳态。
Nat Commun. 2015 Aug 27;6:8100. doi: 10.1038/ncomms9100.
3
The Regulation of Lipid Deposition by Insulin in Goose Liver Cells Is Mediated by the PI3K-AKT-mTOR Signaling Pathway.
强力定眩片联合苯磺酸氨氯地平治疗原发性高血压的疗效与安全性:一项随机、双盲、安慰剂对照、平行组、多中心试验
Front Pharmacol. 2023 Jul 10;14:1225529. doi: 10.3389/fphar.2023.1225529. eCollection 2023.
4
Natural drugs targeting inflammation pathways can be used to treat atherosclerosis.针对炎症通路的天然药物可用于治疗动脉粥样硬化。
Front Pharmacol. 2022 Nov 1;13:998944. doi: 10.3389/fphar.2022.998944. eCollection 2022.
5
The role and mechanism of tetramethylpyrazine for atherosclerosis in animal models: A systematic review and meta-analysis.川芎嗪在动物模型中抗动脉粥样硬化的作用及其机制:系统评价和荟萃分析。
PLoS One. 2022 May 2;17(5):e0267968. doi: 10.1371/journal.pone.0267968. eCollection 2022.
6
The Traditional Chinese Medicine Hua Tuo Zai Zao Wan Alleviates Atherosclerosis by Deactivation of Inflammatory Macrophages.中药华佗再造丸通过使炎性巨噬细胞失活来减轻动脉粥样硬化。
Evid Based Complement Alternat Med. 2022 Mar 28;2022:2200662. doi: 10.1155/2022/2200662. eCollection 2022.
7
The Role of the VEGF Family in Atherosclerosis Development and Its Potential as Treatment Targets.VEGF 家族在动脉粥样硬化发展中的作用及其作为治疗靶点的潜力。
Int J Mol Sci. 2022 Jan 15;23(2):931. doi: 10.3390/ijms23020931.
8
Pharmacodynamic Evaluation of the Gexia Zhuyu Decoction in the Treatment of NAFLD and the Molecular Mechanism Underlying the TRPM4 Pathway Regulation.膈下逐瘀汤治疗非酒精性脂肪性肝病的药效学评价及TRPM4通路调控的分子机制
Evid Based Complement Alternat Med. 2021 Nov 30;2021:3364579. doi: 10.1155/2021/3364579. eCollection 2021.
9
Identification of key genes affecting porcine fat deposition based on co-expression network analysis of weighted genes.基于加权基因共表达网络分析鉴定影响猪脂肪沉积的关键基因
J Anim Sci Biotechnol. 2021 Aug 20;12(1):100. doi: 10.1186/s40104-021-00616-9.
10
Recent Molecular Mechanisms and Beneficial Effects of Phytochemicals and Plant-Based Whole Foods in Reducing LDL-C and Preventing Cardiovascular Disease.植物化学物质和植物性全食物在降低低密度脂蛋白胆固醇及预防心血管疾病方面的最新分子机制和有益作用
Antioxidants (Basel). 2021 May 15;10(5):784. doi: 10.3390/antiox10050784.
胰岛素对鹅肝细胞脂质沉积的调控通过PI3K-AKT-mTOR信号通路介导。
PLoS One. 2015 May 6;10(5):e0098759. doi: 10.1371/journal.pone.0098759. eCollection 2015.
4
Valsartan Promoting Atherosclerotic Plaque Stabilization by Upregulating Renalase: A Potential-Related Gene of Atherosclerosis.缬沙坦通过上调肾酶促进动脉粥样硬化斑块稳定:一种动脉粥样硬化潜在相关基因
J Cardiovasc Pharmacol Ther. 2015 Sep;20(5):509-19. doi: 10.1177/1074248415575967. Epub 2015 Mar 27.
5
Digital gene expression analysis of the pathogenesis and therapeutic mechanisms of ligustrazine and puerarin in rat atherosclerosis.川芎嗪和葛根素对大鼠动脉粥样硬化发病机制及治疗机制的数字基因表达分析
Gene. 2014 Nov 15;552(1):75-80. doi: 10.1016/j.gene.2014.09.015. Epub 2014 Sep 9.
6
Sterol regulatory element-binding protein (SREBP) cleavage regulates Golgi-to-endoplasmic reticulum recycling of SREBP cleavage-activating protein (SCAP).固醇调节元件结合蛋白 (SREBP) 裂解调控 SREBP 裂解激活蛋白 (SCAP) 的高尔基体到内质网再循环。
J Biol Chem. 2014 Mar 14;289(11):7547-57. doi: 10.1074/jbc.M113.545699. Epub 2014 Jan 29.
7
PAQR3 has modulatory roles in obesity, energy metabolism, and leptin signaling.PAQR3 在肥胖、能量代谢和瘦素信号中具有调节作用。
Endocrinology. 2013 Dec;154(12):4525-35. doi: 10.1210/en.2013-1633. Epub 2013 Sep 13.
8
Effect of Dietary Cocoa Tea (Camellia ptilophylla) Supplementation on High-Fat Diet-Induced Obesity, Hepatic Steatosis, and Hyperlipidemia in Mice.膳食可可茶(厚皮香)补充剂对高脂饮食诱导的肥胖、肝脂肪变性和小鼠高脂血症的影响。
Evid Based Complement Alternat Med. 2013;2013:783860. doi: 10.1155/2013/783860. Epub 2013 Jul 9.
9
Tetramethylpyrazine attenuates atherosclerosis development and protects endothelial cells from ox-LDL.川芎嗪可抑制动脉粥样硬化发展并保护内皮细胞免受氧化低密度脂蛋白的损伤。
Cardiovasc Drugs Ther. 2013 Jun;27(3):199-210. doi: 10.1007/s10557-013-6440-6.
10
PAQR3 modulates insulin signaling by shunting phosphoinositide 3-kinase p110α to the Golgi apparatus.PAQR3 通过将磷酸肌醇 3-激酶 p110α 分流到高尔基体来调节胰岛素信号。
Diabetes. 2013 Feb;62(2):444-56. doi: 10.2337/db12-0244. Epub 2012 Oct 18.