Suppr超能文献

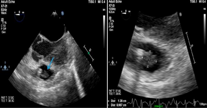
Treating an infected transcatheter pacemaker system via percutaneous extraction.

作者信息

Koay Alan, Khelae Surinder, Wei Koh Kok, Muhammad Zulkeflee, Mohd Ali Rosli, Omar Razali

机构信息

National Heart Institute, Kuala Lumpur, Malaysia.

出版信息

HeartRhythm Case Rep. 2016 May 10;2(4):360-362. doi: 10.1016/j.hrcr.2016.04.006. eCollection 2016 Jul.

Abstract
摘要
https://cdn.ncbi.nlm.nih.gov/pmc/blobs/b373/5419892/a597b1e6e191/gr1.jpg

文献AI研究员

20分钟写一篇综述,助力文献阅读效率提升50倍。

立即体验

用中文搜PubMed

大模型驱动的PubMed中文搜索引擎

马上搜索

文档翻译

学术文献翻译模型,支持多种主流文档格式。

立即体验