Xu Shuangyue, Lu Fangna, Cheng Lianna, Li Chenglin, Zhou Xu, Wu Yuan, Chen Hongxing, Zhang Kaichuang, Wang Lumin, Xia Junjie, Yan Guoliang, Qi Zhongquan
Organ Transplantation Institute of Xiamen University, Xiamen, 361102, Fujian Province, People's Republic of China.
Fujian Key Laboratory of Organ and Tissue Regeneration, Xiamen, 361102, Fujian Province, People's Republic of China.
Biomed Eng Online. 2017 May 11;16(1):55. doi: 10.1186/s12938-017-0344-9.
The development of a suitable extracellular matrix (ECM) scaffold is the first step in vascular tissue engineering (VTE). Synthetic vascular grafts are available as an alternative to autologous vessels in large-diameter arteries (>8 mm) and medium-diameter arteries (6-8 mm). In small-diameter vessels (<6 mm), synthetic vascular grafts are of limited use due to poor patency rates. Compared with a vascular prosthesis, natural tissue ECM has valuable advantages. Despite considerable progress in recent years, identifying an optimal protocol to create a scaffold for use in small-diameter (<6 mm) fully natural tissue-engineered vascular grafts (TEVG), remains elusive. Although reports on different decellularization techniques have been numerous, combination of and comparison between these methods are scarce; therefore, we have compared five different decellularization protocols for making small-diameter (<6 mm) ECM scaffolds and evaluated their characteristics relative to those of fresh vascular controls.
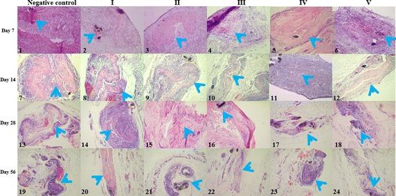
The protocols differed in the choice of enzymatic digestion solvent, the use of non-ionic detergent, the durations of the individual steps, and UV crosslinking. Due to their small diameter and ready availability, rabbit arteria carotis were used as the source of the ECM scaffolds. The scaffolds were subcutaneously implanted in rats and the results were evaluated using various microscopy and immunostaining techniques.
Our findings showed that a 2 h digestion time with 1× EDTA, replacing non-ionic detergent with double-distilled water for rinsing and the application of UV crosslinking gave rise to an ECM scaffold with the highest biocompatibility, lowest cytotoxicity and best mechanical properties for use in vivo or in situ pre-clinical research in VTE in comparison.
开发合适的细胞外基质(ECM)支架是血管组织工程(VTE)的第一步。合成血管移植物可作为大直径动脉(>8毫米)和中直径动脉(6 - 8毫米)中自体血管的替代品。在小直径血管(<6毫米)中,由于通畅率低,合成血管移植物的用途有限。与血管假体相比,天然组织ECM具有宝贵的优势。尽管近年来取得了相当大的进展,但确定一种用于创建小直径(<6毫米)完全天然组织工程血管移植物(TEVG)支架的最佳方案仍然难以实现。虽然关于不同去细胞化技术的报道很多,但这些方法之间的组合和比较却很少;因此,我们比较了五种不同的去细胞化方案以制备小直径(<6毫米)ECM支架,并评估了它们相对于新鲜血管对照的特性。
这些方案在酶消化溶剂的选择、非离子洗涤剂的使用、各个步骤的持续时间以及紫外线交联方面存在差异。由于其小直径和易于获取,兔颈总动脉被用作ECM支架的来源。将支架皮下植入大鼠体内,并使用各种显微镜和免疫染色技术评估结果。
我们的研究结果表明,用1×乙二胺四乙酸(EDTA)消化2小时,用双蒸水代替非离子洗涤剂冲洗,并应用紫外线交联,可产生一种ECM支架,与其他相比,该支架具有最高的生物相容性、最低的细胞毒性和最佳的机械性能,可用于VTE的体内或原位临床前研究。