• 文献检索
  • 文档翻译
  • 深度研究
  • 学术资讯
  • Suppr Zotero 插件Zotero 插件
  • 邀请有礼
  • 套餐&价格
  • 历史记录
应用&插件
Suppr Zotero 插件Zotero 插件浏览器插件Mac 客户端Windows 客户端微信小程序
定价
高级版会员购买积分包购买API积分包
服务
文献检索文档翻译深度研究API 文档MCP 服务
关于我们
关于 Suppr公司介绍联系我们用户协议隐私条款
关注我们

Suppr 超能文献

核心技术专利:CN118964589B侵权必究
粤ICP备2023148730 号-1Suppr @ 2026

文献检索

告别复杂PubMed语法,用中文像聊天一样搜索,搜遍4000万医学文献。AI智能推荐,让科研检索更轻松。

立即免费搜索

文件翻译

保留排版,准确专业,支持PDF/Word/PPT等文件格式,支持 12+语言互译。

免费翻译文档

深度研究

AI帮你快速写综述,25分钟生成高质量综述,智能提取关键信息,辅助科研写作。

立即免费体验

分化缺陷型人诱导多能干细胞揭示畸胎瘤检测和体外多能性检测的优势和局限性。

Differentiation-Defective Human Induced Pluripotent Stem Cells Reveal Strengths and Limitations of the Teratoma Assay and In Vitro Pluripotency Assays.

机构信息

Department of Anatomy & Embryology, Leiden University Medical Center, Einthovenweg 20, 2333 ZC Leiden, the Netherlands.

Department of Molecular Epidemiology, Leiden University Medical Center, Einthovenweg 20, 2333 ZC Leiden, the Netherlands.

出版信息

Stem Cell Reports. 2017 May 9;8(5):1340-1353. doi: 10.1016/j.stemcr.2017.03.009.

DOI:10.1016/j.stemcr.2017.03.009
PMID:28494940
原文链接:https://pmc.ncbi.nlm.nih.gov/articles/PMC5425621/
Abstract

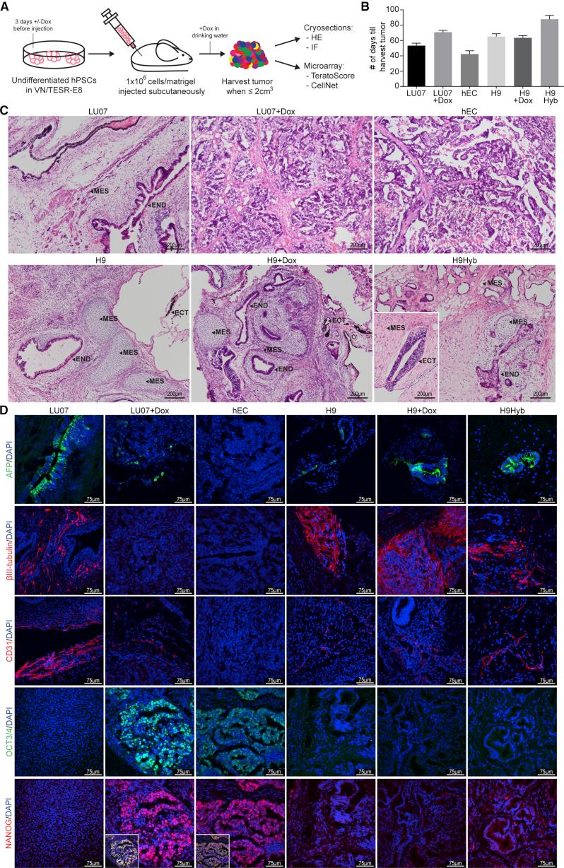
The ability to form teratomas in vivo containing multiple somatic cell types is regarded as functional evidence of pluripotency for human pluripotent stem cells (hPSCs). Since the Teratoma assay is animal dependent, laborious, and only qualitative, the PluriTest and the hPSC ScoreCard assay have been developed as in vitro alternatives. Here we compared normal hPSCs, induced hPSCs (hiPSCs) with reactivated reprogramming transgenes, and human embryonal carcinoma cells (hECs) in these assays. While normal hPSCs gave rise to typical teratomas, the xenografts of the hECs and the hiPSCs with reactivated reprogramming transgenes were largely undifferentiated and malignant. The hPSC ScoreCard assay confirmed the line-specific differentiation propensities in vitro. However, when undifferentiated cells were analyzed by the PluriTest, only hECs were identified as abnormal whereas all other cell lines were indistinguishable and resembled normal hPSCs. Our results indicate that pluripotency assays are best selected on the basis of intended downstream applications.

摘要

能够在体内形成包含多种体细胞类型的畸胎瘤被认为是人类多能干细胞(hPSC)多能性的功能证据。由于畸胎瘤检测依赖于动物,既费力又只能定性,因此开发了 PluriTest 和 hPSC 评分卡检测作为体外替代方法。在这里,我们比较了正常 hPSC、具有重新激活的重编程转基因的诱导 hPSC(hiPSC)和人胚胎癌细胞(hEC)在这些检测中的情况。虽然正常 hPSC 会产生典型的畸胎瘤,但 hEC 和具有重新激活的重编程转基因的 hiPSC 的异种移植物主要是未分化的和恶性的。hPSC 评分卡检测在体外证实了特定系的分化倾向。然而,当通过 PluriTest 分析未分化细胞时,只有 hEC 被鉴定为异常,而其他所有细胞系都无法区分,类似于正常 hPSC。我们的结果表明,多能性检测最好根据预期的下游应用进行选择。

https://cdn.ncbi.nlm.nih.gov/pmc/blobs/6d06/5425621/dffc77f6f209/gr5.jpg
https://cdn.ncbi.nlm.nih.gov/pmc/blobs/6d06/5425621/97c9826b3e66/gr1.jpg
https://cdn.ncbi.nlm.nih.gov/pmc/blobs/6d06/5425621/375c750e3e71/gr2.jpg
https://cdn.ncbi.nlm.nih.gov/pmc/blobs/6d06/5425621/1e3d3fbb0189/gr3.jpg
https://cdn.ncbi.nlm.nih.gov/pmc/blobs/6d06/5425621/b89460a95c48/gr4.jpg
https://cdn.ncbi.nlm.nih.gov/pmc/blobs/6d06/5425621/dffc77f6f209/gr5.jpg
https://cdn.ncbi.nlm.nih.gov/pmc/blobs/6d06/5425621/97c9826b3e66/gr1.jpg
https://cdn.ncbi.nlm.nih.gov/pmc/blobs/6d06/5425621/375c750e3e71/gr2.jpg
https://cdn.ncbi.nlm.nih.gov/pmc/blobs/6d06/5425621/1e3d3fbb0189/gr3.jpg
https://cdn.ncbi.nlm.nih.gov/pmc/blobs/6d06/5425621/b89460a95c48/gr4.jpg
https://cdn.ncbi.nlm.nih.gov/pmc/blobs/6d06/5425621/dffc77f6f209/gr5.jpg

相似文献

1
Differentiation-Defective Human Induced Pluripotent Stem Cells Reveal Strengths and Limitations of the Teratoma Assay and In Vitro Pluripotency Assays.分化缺陷型人诱导多能干细胞揭示畸胎瘤检测和体外多能性检测的优势和局限性。
Stem Cell Reports. 2017 May 9;8(5):1340-1353. doi: 10.1016/j.stemcr.2017.03.009.
2
Teratoma Assay for Testing Pluripotency and Malignancy of Stem Cells: Insufficient Reporting and Uptake of Animal-Free Methods-A Systematic Review.畸胎瘤测定法用于测试干细胞的多能性和恶性:系统评价显示动物自由方法的报告和采用不足。
Int J Mol Sci. 2023 Feb 15;24(4):3879. doi: 10.3390/ijms24043879.
3
Teratoma formation of human embryonic stem cells in three-dimensional perfusion culture bioreactors.三维灌注培养生物反应器中人胚胎干细胞的畸胎瘤形成。
J Tissue Eng Regen Med. 2013 Sep;7(9):729-41. doi: 10.1002/term.1467. Epub 2012 Mar 21.
4
The MicroRNA-371 Family as Plasma Biomarkers for Monitoring Undifferentiated and Potentially Malignant Human Pluripotent Stem Cells in Teratoma Assays.miR-371 家族作为监测畸胎瘤试验中未分化和潜在恶性人多能干细胞的血浆生物标志物。
Stem Cell Reports. 2018 Dec 11;11(6):1493-1505. doi: 10.1016/j.stemcr.2018.11.002. Epub 2018 Nov 29.
5
Identification of unsafe human induced pluripotent stem cell lines using a robust surrogate assay for pluripotency.利用稳健的多能性替代检测鉴定不安全的人诱导多能干细胞系。
Stem Cells. 2013 Aug;31(8):1498-510. doi: 10.1002/stem.1425.
6
Predicting differentiation potential of human pluripotent stem cells: Possibilities and challenges.预测人类多能干细胞的分化潜能:可能性与挑战。
World J Stem Cells. 2019 Jul 26;11(7):375-382. doi: 10.4252/wjsc.v11.i7.375.
7
Functional in vivo and in vitro effects of 20q11.21 genetic aberrations on hPSC differentiation.20q11.21基因畸变对人多能干细胞分化的体内和体外功能影响。
Sci Rep. 2020 Oct 29;10(1):18582. doi: 10.1038/s41598-020-75657-7.
8
miR-302 regulates pluripotency, teratoma formation and differentiation in stem cells via an AKT1/OCT4-dependent manner.微小RNA-302通过一种依赖AKT1/八聚体结合转录因子4的方式调控干细胞的多能性、畸胎瘤形成及分化。
Cell Death Dis. 2016 Jan 28;7(1):e2078. doi: 10.1038/cddis.2015.383.
9
Study on the Extrapolability of Current Tumorgenicity Test With Mice by Comparing the Syngeneic or Allogeneic Mouse Transplantation Model.比较同基因或同种异体小鼠移植模型探讨当前小鼠肿瘤发生试验外推性
Stem Cells Transl Med. 2024 Jun 14;13(6):572-581. doi: 10.1093/stcltm/szae019.
10
Development of a Xeno-Free Feeder-Layer System from Human Umbilical Cord Mesenchymal Stem Cells for Prolonged Expansion of Human Induced Pluripotent Stem Cells in Culture.利用人脐带间充质干细胞开发无动物源饲养层系统以在培养中长时间扩增人诱导多能干细胞
PLoS One. 2016 Feb 16;11(2):e0149023. doi: 10.1371/journal.pone.0149023. eCollection 2016.

引用本文的文献

1
Yolk Sac Elements in Tumors Derived from Pluripotent Stem Cells: Borrowing Knowledge from Human Germ Cell Tumors.多能干细胞来源肿瘤中的卵黄囊成分:借鉴人类生殖细胞肿瘤的知识
Int J Mol Sci. 2025 Jul 4;26(13):6464. doi: 10.3390/ijms26136464.
2
Induced Pluripotent Stem Cells-Based Regenerative Therapies in Treating Human Aging-Related Functional Decline and Diseases.基于诱导多能干细胞的再生疗法治疗人类衰老相关功能衰退和疾病
Cells. 2025 Apr 21;14(8):619. doi: 10.3390/cells14080619.
3
Depletion of TP53 in Human Pluripotent Stem Cells Triggers Malignant-Like Behavior.

本文引用的文献

1
Detecting Genetic Mosaicism in Cultures of Human Pluripotent Stem Cells.检测人类多能干细胞培养中的基因嵌合现象。
Stem Cell Reports. 2016 Nov 8;7(5):998-1012. doi: 10.1016/j.stemcr.2016.10.003.
2
The World Health Organization 2016 classification of testicular germ cell tumours: a review and update from the International Society of Urological Pathology Testis Consultation Panel.世界卫生组织2016年睾丸生殖细胞肿瘤分类:国际泌尿病理学会睾丸咨询小组的综述与更新
Histopathology. 2017 Feb;70(3):335-346. doi: 10.1111/his.13102. Epub 2016 Dec 14.
3
Complex Tissue and Disease Modeling using hiPSCs.
人类多能干细胞中TP53的缺失引发类恶性行为。
Adv Biol (Weinh). 2025 Apr;9(4):e2400538. doi: 10.1002/adbi.202400538. Epub 2025 Jan 6.
4
Ferroptosis in Osteoarthritis: Towards Novel Therapeutic Strategy.骨关节炎中的铁死亡:迈向新的治疗策略
Cell Prolif. 2025 Mar;58(3):e13779. doi: 10.1111/cpr.13779. Epub 2024 Dec 3.
5
Evaluating Strategies to Assess the Differentiation Potential of Human Pluripotent Stem Cells: A Review, Analysis and Call for Innovation.评估人类多能干细胞分化潜能的策略:综述、分析与创新呼吁
Stem Cell Rev Rep. 2025 Jan;21(1):107-125. doi: 10.1007/s12015-024-10793-5. Epub 2024 Sep 28.
6
Engineered T cells from induced pluripotent stem cells: from research towards clinical implementation.诱导多能干细胞衍生的工程化 T 细胞:从研究到临床应用。
Front Immunol. 2024 Jan 12;14:1325209. doi: 10.3389/fimmu.2023.1325209. eCollection 2023.
7
Incomplete reprogramming of DNA replication timing in induced pluripotent stem cells.诱导多能干细胞中 DNA 复制时间的不完全重编程。
Cell Rep. 2024 Jan 23;43(1):113664. doi: 10.1016/j.celrep.2023.113664. Epub 2024 Jan 8.
8
Comparisons between Plant and Animal Stem Cells Regarding Regeneration Potential and Application.植物干细胞和动物干细胞的再生潜力与应用比较。
Int J Mol Sci. 2023 Feb 23;24(5):4392. doi: 10.3390/ijms24054392.
9
Teratoma Assay for Testing Pluripotency and Malignancy of Stem Cells: Insufficient Reporting and Uptake of Animal-Free Methods-A Systematic Review.畸胎瘤测定法用于测试干细胞的多能性和恶性:系统评价显示动物自由方法的报告和采用不足。
Int J Mol Sci. 2023 Feb 15;24(4):3879. doi: 10.3390/ijms24043879.
10
is critical to maintain the cell survival and self-renewal/pluripotency of hPSCs by collaborating with MCM2 to suppress p53 pathway.通过与 MCM2 合作抑制 p53 通路,对于维持 hPSCs 的细胞存活和自我更新/多能性至关重要。
Int J Biol Sci. 2023 Jan 16;19(3):916-935. doi: 10.7150/ijbs.79095. eCollection 2023.
使用人诱导多能干细胞进行复杂组织和疾病建模。
Cell Stem Cell. 2016 Mar 3;18(3):309-21. doi: 10.1016/j.stem.2016.02.011.
4
Genetic Variability Overrides the Impact of Parental Cell Type and Determines iPSC Differentiation Potential.遗传变异性凌驾于亲本细胞类型的影响之上,决定 iPSC 的分化潜能。
Stem Cell Reports. 2016 Feb 9;6(2):200-12. doi: 10.1016/j.stemcr.2015.12.009. Epub 2016 Jan 14.
5
Teratoma: from spontaneous tumors to the pluripotency/malignancy assay.畸胎瘤:从自发肿瘤到多能性/恶性测定
Wiley Interdiscip Rev Dev Biol. 2016 Mar-Apr;5(2):186-209. doi: 10.1002/wdev.219. Epub 2015 Dec 23.
6
A qPCR ScoreCard quantifies the differentiation potential of human pluripotent stem cells.qPCR计分卡可量化人类多能干细胞的分化潜能。
Nat Biotechnol. 2015 Nov;33(11):1182-92. doi: 10.1038/nbt.3387. Epub 2015 Oct 26.
7
A comparison of genetically matched cell lines reveals the equivalence of human iPSCs and ESCs.对基因匹配的细胞系进行比较,结果显示人类诱导多能干细胞(iPSC)与胚胎干细胞(ESC)具有等效性。
Nat Biotechnol. 2015 Nov;33(11):1173-81. doi: 10.1038/nbt.3388. Epub 2015 Oct 26.
8
TeratoScore: Assessing the Differentiation Potential of Human Pluripotent Stem Cells by Quantitative Expression Analysis of Teratomas.畸胎瘤评分:通过定量分析畸胎瘤评估人类多能干细胞的分化潜能。
Stem Cell Reports. 2015 Jun 9;4(6):967-74. doi: 10.1016/j.stemcr.2015.05.006.
9
The developmental potential of iPSCs is greatly influenced by reprogramming factor selection.诱导多能干细胞的发育潜能受重编程因子选择的影响很大。
Cell Stem Cell. 2014 Sep 4;15(3):295-309. doi: 10.1016/j.stem.2014.07.003.
10
Dynamic regulation of human endogenous retroviruses mediates factor-induced reprogramming and differentiation potential.人类内源性逆转录病毒的动态调控介导因子诱导的重编程和分化潜能。
Proc Natl Acad Sci U S A. 2014 Aug 26;111(34):12426-31. doi: 10.1073/pnas.1413299111. Epub 2014 Aug 5.