Suppr超能文献

一名儿童巨细胞病毒感染相关的短暂性脑动脉病

Transient Cerebral Arteriopathy in a Child Associated With Cytomegalovirus Infection.

作者信息

Kao Wei-Tsun, Lin Wei-Chen, Tseng Yong-Hao, Chen Tai-Heng

机构信息

Division of Pediatric Emergency, Department of Emergency, Kaohsiung Medical University Hospital, Kaohsiung Medical University, Kaohsiung, Taiwan.

Department of Medical Imaging, Kaohsiung Medical University Hospital, Kaohsiung Medical University, Kaohsiung.

出版信息

Child Neurol Open. 2015 Aug 31;2(3):2329048X15602025. doi: 10.1177/2329048X15602025. eCollection 2015 Jul-Sep.

Abstract

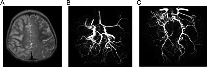
Vascular wall injuries account for up to 80% of childhood strokes, excluding emboli of cardiac origin. Transient cerebral arteriopathy is a recently described entity that is increasingly recognized as an important cause. The cerebral arterial wall is thought to be affected by an inflammatory process related to certain infections. The authors report a 2.5-year-old girl with sudden left hemiplegia and aphasia. The neuroimaging showed occlusion of the right middle cerebral artery and ischemic damages. Laboratory revealed positive cytomegalovirus immunoglobulin M and G in cerebrospinal fluid and in early and late sera. Treatment with ganciclovir, anticytomegalovirus immunoglobulin, and prednisolone, followed by oral aspirin, resulted in clinical improvement. The follow-up neuroimaging showed stabilization of the arterial lesions without residual stenosis. To our knowledge, this is the first report of a cytomegalovirus-associated transient cerebral arteriopathy in an immunocompetent child. Our report demonstrates the propensity for cytomegalovirus to be involved in pediatric cerebral vascular disease.

摘要

血管壁损伤占儿童中风的比例高达80%,不包括心源性栓子。短暂性脑动脉病是一种最近描述的疾病,越来越被认为是一个重要病因。脑动脉壁被认为受到与某些感染相关的炎症过程影响。作者报告了一名2.5岁突发左侧偏瘫和失语的女孩。神经影像学检查显示右侧大脑中动脉闭塞及缺血性损伤。实验室检查显示脑脊液以及早期和晚期血清中巨细胞病毒免疫球蛋白M和G呈阳性。使用更昔洛韦、抗巨细胞病毒免疫球蛋白和泼尼松龙治疗,随后口服阿司匹林,临床症状有所改善。随访神经影像学检查显示动脉病变稳定,无残余狭窄。据我们所知,这是首例免疫功能正常儿童巨细胞病毒相关性短暂性脑动脉病的报告。我们的报告证明了巨细胞病毒参与小儿脑血管疾病的倾向。

https://cdn.ncbi.nlm.nih.gov/pmc/blobs/d7db/5417026/462163b4fc5e/10.1177_2329048X15602025-fig1.jpg

文献AI研究员

20分钟写一篇综述,助力文献阅读效率提升50倍。

立即体验

用中文搜PubMed

大模型驱动的PubMed中文搜索引擎

马上搜索

文档翻译

学术文献翻译模型,支持多种主流文档格式。

立即体验