Suppr超能文献

卒中病因百分之一患者管理的新进展。

Advances in Management of the Stroke Etiology One-Percenters.

机构信息

Rush University Medical Center, Chicago, IL, USA.

Department of Neurological Sciences, Rush University Medical Center, 1725 W. Harrison St., Suite 1118, Chicago, IL, 60612, USA.

出版信息

Curr Neurol Neurosci Rep. 2023 Jun;23(6):301-325. doi: 10.1007/s11910-023-01269-z. Epub 2023 May 29.

Abstract

PURPOSE OF REVIEW

Uncommon causes of stroke merit specific attention; when clinicians have less common etiologies of stoke in mind, the diagnosis may come more easily. This is key, as optimal management will in many cases differs significantly from "standard" care.

RECENT FINDINGS

Randomized controlled trials (RCT) on the best medical therapy in the treatment of cervical artery dissection (CeAD) have demonstrated low rates of ischemia with both antiplatelet and vitamin K antagonism. RCT evidence supports the use of anticoagulation with vitamin K antagonism in "high-risk" patients with antiphospholipid antibody syndrome (APLAS), and there is new evidence supporting the utilization of direct oral anticoagulation in malignancy-associated thrombosis. Migraine with aura has been more conclusively linked not only with increased risk of ischemic and hemorrhagic stroke, but also with cardiovascular mortality. Recent literature has surprisingly not provided support the utilization of L-arginine in the treatment of patients with mitochondrial encephalopathy, lactic acidosis, and stroke-like episodes (MELAS); however, there is evidence at this time that support use of enzyme replacement in patients with Fabry disease. Additional triggers for reversible cerebral vasoconstriction syndrome (RCVS) have been identified, such as capsaicin. Imaging of cerebral blood vessel walls utilizing contrast-enhanced MRA is an emerging modality that may ultimately prove to be very useful in the evaluation of patients with uncommon causes of stroke. A plethora of associations between cerebrovascular disease and COVID-19 have been described. Where pertinent, authors provide additional tips and guidance. Less commonly encountered conditions with updates in diagnosis, and management along with clinical tips are reviewed.

摘要

综述目的

卒中的不常见病因值得特别关注;当临床医生考虑到较少见的卒中病因时,诊断可能会更加容易。这一点很关键,因为在许多情况下,最佳治疗方案与“标准”治疗有很大的不同。

最新发现

关于颈内动脉夹层(CeAD)最佳药物治疗的随机对照试验(RCT)表明,抗血小板和维生素 K 拮抗剂的缺血发生率均较低。RCT 证据支持在抗磷脂抗体综合征(APLAS)的“高危”患者中使用维生素 K 拮抗剂抗凝,并且有新的证据支持在恶性肿瘤相关血栓形成中使用直接口服抗凝剂。有先兆偏头痛不仅与缺血性和出血性卒中风险增加有关,而且与心血管死亡率有关,这一点已得到更明确的证实。最近的文献并没有提供支持使用精氨酸治疗线粒体脑肌病、乳酸酸中毒和卒中样发作(MELAS)患者的证据;然而,目前有证据支持在 Fabry 病患者中使用酶替代治疗。已经确定了可逆性脑血管收缩综合征(RCVS)的其他触发因素,如辣椒素。利用对比增强 MRA 对脑血管壁进行成像,是一种新兴的模式,最终可能在评估不常见卒中病因的患者中非常有用。描述了大量与 COVID-19 相关的脑血管疾病的关联。作者提供了额外的提示和指导,针对与这些关联相关的内容。我们还回顾了一些诊断和管理方面有更新的、不太常见的疾病,并提供了临床提示。

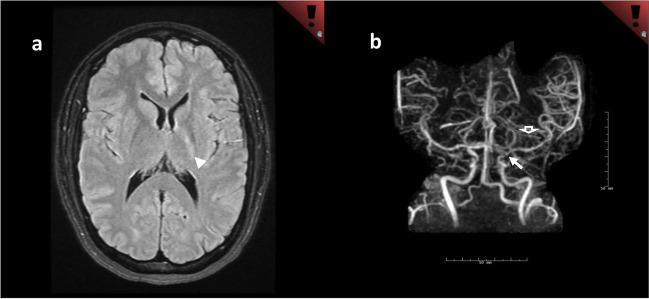
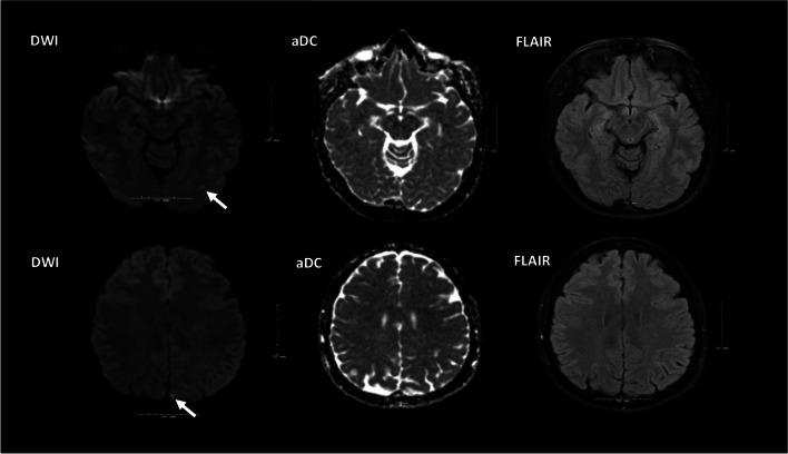
https://cdn.ncbi.nlm.nih.gov/pmc/blobs/c06c/10225785/1f740b136445/11910_2023_1269_Fig1_HTML.jpg

文献检索

告别复杂PubMed语法,用中文像聊天一样搜索,搜遍4000万医学文献。AI智能推荐,让科研检索更轻松。

立即免费搜索

文件翻译

保留排版,准确专业,支持PDF/Word/PPT等文件格式,支持 12+语言互译。

免费翻译文档

深度研究

AI帮你快速写综述,25分钟生成高质量综述,智能提取关键信息,辅助科研写作。

立即免费体验