Suppr超能文献

毛细胞白血病病例中的形态学混杂因素与CD19阴性

Morphologic Confounders and CD19 Negativity in a Case of Hairy Cell Leukemia.

作者信息

Rastogi Pulkit, Sreedharanunni Sreejesh, Yanamandra Uday, Sachdeva Man Updesh Singh, Varma Neelam

机构信息

Postgraduate Institute of Medical Education and Research (PGIMER), Chandigarh - 160012, India.

出版信息

Mediterr J Hematol Infect Dis. 2017 May 1;9(1):e2017033. doi: 10.4084/MJHID.2017.033. eCollection 2017.

Abstract

OBJECTIVES

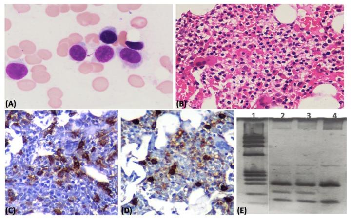
We report a case of hairy cell leukemia (HCL) initially misdiagnosed as plasma cell dyscrasia due to various clinical, morphological and immunophenotypic confounders.

METHODS AND RESULTS

In a patient diagnosed of marrow plasmacytosis and serum monoclonal protein elsewhere and referred to our hospital, morphological evaluation of bone marrow aspirate smears and trephine biopsy, immunophenotyping, and molecular testing (V600E mutation) were done. Clinically, the patient was asymptomatic; bone marrow revealed plasmacytosis, mastocytosis, and lymphocytosis with a few "hairy" cells. Immunophenotyping showed features of HCL with aberrant CD10 expression and a large subclone of CD19 cells. A diagnosis of HCL with reactive plasmacytosis and mast cell hyperplasia was made and confirmed by immunophenotyping and molecular studies.

CONCLUSION

Hematopathologists must be aware of various confounding factors and should judiciously use flow cytometric and molecular studies for attaining a proper diagnosis of HCL. We also report a very rare immunophenotypic aberrancy (CD 19 negativity) in HCL.

摘要

目的

我们报告一例毛细胞白血病(HCL),因其临床、形态学和免疫表型等多种混淆因素,最初被误诊为浆细胞异常增殖症。

方法与结果

一名在其他地方被诊断为骨髓浆细胞增多症和血清单克隆蛋白的患者转诊至我院,对其骨髓穿刺涂片和骨髓活检组织进行了形态学评估、免疫表型分析及分子检测(V600E突变)。临床上,该患者无症状;骨髓显示浆细胞增多、肥大细胞增多及淋巴细胞增多,并伴有少数“毛细胞”。免疫表型分析显示为具有异常CD10表达的HCL特征及一个大的CD19细胞亚克隆。通过免疫表型分析和分子研究确诊为HCL伴反应性浆细胞增多和肥大细胞增生。

结论

血液病理学家必须了解各种混淆因素,应明智地运用流式细胞术和分子研究以准确诊断HCL。我们还报告了HCL中一种非常罕见的免疫表型异常(CD19阴性)。

https://cdn.ncbi.nlm.nih.gov/pmc/blobs/5005/5419203/0281efb1a81d/mjhid-9-1-e2017033f1.jpg

文献检索

告别复杂PubMed语法,用中文像聊天一样搜索,搜遍4000万医学文献。AI智能推荐,让科研检索更轻松。

立即免费搜索

文件翻译

保留排版,准确专业,支持PDF/Word/PPT等文件格式,支持 12+语言互译。

免费翻译文档

深度研究

AI帮你快速写综述,25分钟生成高质量综述,智能提取关键信息,辅助科研写作。

立即免费体验