Suppr超能文献

侵袭性脑膜瘤的影像学特征及手术治疗

Imaging characteristics and surgical treatment of invasive meningioma.

作者信息

Hou Weina, Ma Yongqian, Xing Hongshun, Yin Yuehui

机构信息

Department of Radiology, Weifang People's Hospital, Weifang, Shandong 261041, P.R. China.

Department of Neurosurgery, Weifang People's Hospital, Weifang, Shandong 261041, P.R. China.

出版信息

Oncol Lett. 2017 May;13(5):2965-2970. doi: 10.3892/ol.2017.5833. Epub 2017 Mar 9.

Abstract

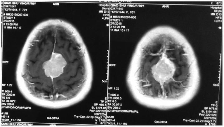
In order to provide an effective way to prevent or substantially delay the recurrence of invasive meningioma, and improve the curative effect of surgical treatment, we collected and analyzed the clinical manifestations, pathological features, preoperative imaging characteristics as well the data obtained during the surgical treatment of invasive meningioma. From February 2014 to February 2016, 59 patients with invasive meningioma were enrolled in this study. Invasive meningioma was confirmed in all patients by operation. Information about clinical manifestations, pathological features, preoperative imaging and surgical treatment were collected and analyzed. After surgery, pathological specimens were collected, and cases were confirmed as invasive meningioma by pathological examination. The course of disease ranged from 15 days to 7 years (average, 13.2 months). We used World Health Organization (WHO) criteria for classification of meningioma in the nervous system tumors as our reference. Symptoms were as follows: Intracranial hypertension (29 cases), cranial nerve dysfunction (10 cases), epilepsy (11 cases) and other symptoms (9 cases). We had 56 cases of WHO grade I; 6 cases of WHO grade II and 7 cases of WHO grade III. Surgical removal was: Simpson grade I (56 cases), Simpson grade II (2 cases), Simpson grade III and above (56 cases). We used before surgery imaging data to formulate our surgical plan. In general, during surgeries we did not proceed to complete resection, because in the majority of cases, some key structures were invaded and meningioma was very deep and any attempt for total resection could easily lead to significant damage to these structures.

摘要

为了提供一种有效预防或显著延迟侵袭性脑膜瘤复发的方法,并提高手术治疗的疗效,我们收集并分析了侵袭性脑膜瘤的临床表现、病理特征、术前影像学特征以及手术治疗过程中获得的数据。2014年2月至2016年2月,本研究纳入了59例侵袭性脑膜瘤患者。所有患者均经手术确诊为侵袭性脑膜瘤。收集并分析了有关临床表现、病理特征、术前影像学和手术治疗的信息。术后收集病理标本,经病理检查确诊为侵袭性脑膜瘤。病程为15天至7年(平均13.2个月)。我们以世界卫生组织(WHO)神经系统肿瘤中脑膜瘤的分类标准作为参考。症状如下:颅内高压(29例)、脑神经功能障碍(10例)、癫痫(11例)和其他症状(9例)。WHO一级56例;WHO二级6例,WHO三级7例。手术切除情况为:辛普森一级(56例),辛普森二级(2例),辛普森三级及以上(56例)。我们利用术前影像学数据制定手术方案。一般来说,手术中我们不会进行完全切除,因为在大多数情况下,一些关键结构受到侵犯,脑膜瘤位置很深,任何试图完全切除的操作都很容易导致这些结构受到严重损伤。

https://cdn.ncbi.nlm.nih.gov/pmc/blobs/8864/5431211/2e32abe84b65/ol-13-05-2965-g00.jpg

文献检索

告别复杂PubMed语法,用中文像聊天一样搜索,搜遍4000万医学文献。AI智能推荐,让科研检索更轻松。

立即免费搜索

文件翻译

保留排版,准确专业,支持PDF/Word/PPT等文件格式,支持 12+语言互译。

免费翻译文档

深度研究

AI帮你快速写综述,25分钟生成高质量综述,智能提取关键信息,辅助科研写作。

立即免费体验