• 文献检索
  • 文档翻译
  • 深度研究
  • 学术资讯
  • Suppr Zotero 插件Zotero 插件
  • 邀请有礼
  • 套餐&价格
  • 历史记录
应用&插件
Suppr Zotero 插件Zotero 插件浏览器插件Mac 客户端Windows 客户端微信小程序
定价
高级版会员购买积分包购买API积分包
服务
文献检索文档翻译深度研究API 文档MCP 服务
关于我们
关于 Suppr公司介绍联系我们用户协议隐私条款
关注我们

Suppr 超能文献

核心技术专利:CN118964589B侵权必究
粤ICP备2023148730 号-1Suppr @ 2026

文献检索

告别复杂PubMed语法,用中文像聊天一样搜索,搜遍4000万医学文献。AI智能推荐,让科研检索更轻松。

立即免费搜索

文件翻译

保留排版,准确专业,支持PDF/Word/PPT等文件格式,支持 12+语言互译。

免费翻译文档

深度研究

AI帮你快速写综述,25分钟生成高质量综述,智能提取关键信息,辅助科研写作。

立即免费体验

颅底脑膜瘤伴颅外扩展的管理:临床特征、影像学表现、手术策略及长期预后

Management of Skull-Base Meningiomas With Extracranial Extensions: Clinical Features, Radiological Findings, Surgical Strategies, and Long-Term Outcomes.

作者信息

He Wenbo, Liu Zhiyong, Jie Danyang, Tang Liansha, Teng Haibo, Xu Jianguo

机构信息

Department of Neurosurgery, West China Hospital of Sichuan University, Chengdu, China.

West China School of Medicine, Sichuan University, Chengdu, China.

出版信息

Front Neurol. 2022 Jul 1;13:855973. doi: 10.3389/fneur.2022.855973. eCollection 2022.

DOI:10.3389/fneur.2022.855973
PMID:35847211
原文链接:https://pmc.ncbi.nlm.nih.gov/articles/PMC9286310/
Abstract

OBJECTIVES

The aim of this research was to summarize the clinical and prognostic features of the skull-base meningiomas with extracranial extensions, and enhance the management of skull-base communicative meningiomas.

METHODS

We retrospectively studied the medical records and analyzed the follow-up information of 53 patients who have done surgery for skull-base meningiomas with extracranial extensions in West China Hospital of Sichuan University from 2009 to 2020.

RESULTS

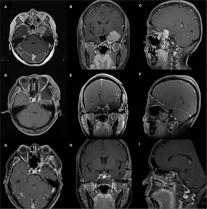
The incidence of skull-base meningiomas with extracranial extensions was 0.74%. The average diagnosis age was 45.9 years, with a 1:3.1 men to women ratio. WHO grade I was seen in 84.9% of patients, and higher grades were found in 15.1%. Heterogeneous enhancement, high bone invasion rate, high incidence of peritumoral edema, and high dural tail sign rate were typical imaging features. Routine craniotomy and endoscopic endonasal approach were adopted, and gross total resection was performed in 62.3% of cases with 20.8% postoperative complication rates. The average follow-up time was 61.5 months, with a recurrence rate of 34.9%. By survival analysis, the extent of resection ( = 0.009) and the histological grade ( = 0.007) were significantly related to the prognosis. Adjuvant radiotherapy proved beneficial in patients with subtotal resection ( = 0.010) and high-grade meningiomas ( = 0.018).

CONCLUSIONS

Skull-base meningiomas with extracranial extensions were sporadic. According to the tumor location and communication way showed by the preoperative imaging, routine craniotomy or endoscopic endonasal approach with a reasonable skull-base repair strategy could be adopted to achieve the maximum tumor resection. Maximized resection, adjuvant radiotherapy, and low histological grade indicate a better prognosis.

摘要

目的

本研究旨在总结颅底脑膜瘤伴颅外扩展的临床及预后特征,加强对颅底交通性脑膜瘤的管理。

方法

我们回顾性研究了2009年至2020年在四川大学华西医院接受手术治疗的53例颅底脑膜瘤伴颅外扩展患者的病历,并分析了随访信息。

结果

颅底脑膜瘤伴颅外扩展的发生率为0.74%。平均诊断年龄为45.9岁,男女比例为1:3.1。84.9%的患者为世界卫生组织I级,15.1%为更高等级。不均匀强化、高骨质侵犯率、瘤周水肿发生率高及硬脑膜尾征发生率高是典型的影像学特征。采用常规开颅手术和内镜鼻内入路,62.3%的病例实现了肿瘤全切除,术后并发症发生率为20.8%。平均随访时间为61.5个月,复发率为34.9%。通过生存分析,切除范围(P = 0.009)和组织学分级(P = 0.007)与预后显著相关。辅助放疗对次全切除患者(P = 0.010)和高级别脑膜瘤患者(P = 0.018)有益。

结论

颅底脑膜瘤伴颅外扩展为散发性。根据术前影像学显示的肿瘤位置和交通方式,可采用常规开颅手术或内镜鼻内入路并结合合理的颅底修复策略,以实现最大程度的肿瘤切除。最大程度切除、辅助放疗及低组织学分级提示预后较好。

https://cdn.ncbi.nlm.nih.gov/pmc/blobs/aca5/9286310/f9ca9f7c649b/fneur-13-855973-g0003.jpg
https://cdn.ncbi.nlm.nih.gov/pmc/blobs/aca5/9286310/8b208e472ee0/fneur-13-855973-g0001.jpg
https://cdn.ncbi.nlm.nih.gov/pmc/blobs/aca5/9286310/da8ad83c40e6/fneur-13-855973-g0002.jpg
https://cdn.ncbi.nlm.nih.gov/pmc/blobs/aca5/9286310/f9ca9f7c649b/fneur-13-855973-g0003.jpg
https://cdn.ncbi.nlm.nih.gov/pmc/blobs/aca5/9286310/8b208e472ee0/fneur-13-855973-g0001.jpg
https://cdn.ncbi.nlm.nih.gov/pmc/blobs/aca5/9286310/da8ad83c40e6/fneur-13-855973-g0002.jpg
https://cdn.ncbi.nlm.nih.gov/pmc/blobs/aca5/9286310/f9ca9f7c649b/fneur-13-855973-g0003.jpg

相似文献

1
Management of Skull-Base Meningiomas With Extracranial Extensions: Clinical Features, Radiological Findings, Surgical Strategies, and Long-Term Outcomes.颅底脑膜瘤伴颅外扩展的管理:临床特征、影像学表现、手术策略及长期预后
Front Neurol. 2022 Jul 1;13:855973. doi: 10.3389/fneur.2022.855973. eCollection 2022.
2
Clinial Features, Individualized Treatment and Long-Term Surgical Outcomes of Skull Base Meningiomas With Extracranial Extensions.颅底脑膜瘤伴颅外扩展的临床特征、个体化治疗及长期手术结果
Front Oncol. 2020 Jun 30;10:1054. doi: 10.3389/fonc.2020.01054. eCollection 2020.
3
Significance of the simultaneous combined transcranial and endoscopic endonasal approach for prevention of postoperative CSF leak after surgery for lateral skull base meningioma.同期联合颅内外镜经鼻入路预防外侧颅底脑膜瘤术后脑脊液漏的意义。
J Clin Neurosci. 2020 Nov;81:21-26. doi: 10.1016/j.jocn.2020.09.028. Epub 2020 Sep 25.
4
Surgically resected skull base meningiomas demonstrate a divergent postoperative recurrence pattern compared with non-skull base meningiomas.与非颅底脑膜瘤相比,手术切除的颅底脑膜瘤具有不同的术后复发模式。
J Neurosurg. 2016 Aug;125(2):431-40. doi: 10.3171/2015.7.JNS15546. Epub 2016 Jan 1.
5
Surgical treatment and outcome of skull base meningiomas with extracranial extensions.伴有颅外扩展的颅底脑膜瘤的外科治疗及结果
Clin Neurol Neurosurg. 2010 Jan;112(1):40-6. doi: 10.1016/j.clineuro.2009.10.003. Epub 2009 Oct 29.
6
Is location more determining than WHO grade for long-term clinical outcome in patients with meningioma in the first two decades of life?在生命的头二十年中,对于脑膜瘤患者的长期临床结果而言,位置是否比世界卫生组织分级更具决定性?
Wien Klin Wochenschr. 2025 Jan;137(1-2):21-30. doi: 10.1007/s00508-024-02382-w. Epub 2024 May 31.
7
Clinical features, surgical management, and prognostic factors of secretory meningiomas: a single-center case series of 149 patients.分泌型脑膜瘤的临床特征、手术治疗及预后因素:单中心 149 例病例系列研究。
J Neurooncol. 2018 Feb;136(3):515-522. doi: 10.1007/s11060-017-2671-x. Epub 2017 Nov 15.
8
Clinical features, radiological findings, and prognostic factors for primary intracranial chordoid meningioma.原发性颅内脊索样脑膜瘤的临床特征、影像学表现及预后因素
Front Neurol. 2022 Nov 10;13:1002088. doi: 10.3389/fneur.2022.1002088. eCollection 2022.
9
[Early experience of resection of meningiomas in anterior skull base with intra-extracranial extension via a pure endoscopic endonasal approach].[经单纯鼻内镜扩大经鼻入路切除前颅底伴颅内外侵犯脑膜瘤的早期经验]
Zhonghua Er Bi Yan Hou Tou Jing Wai Ke Za Zhi. 2013 Oct;48(10):807-13.
10
Endoscopic endonasal surgery for suprasellar meningiomas: experience with 75 patients.经鼻内镜手术治疗鞍上脑膜瘤:75例患者的经验
J Neurosurg. 2014 Jun;120(6):1326-39. doi: 10.3171/2014.2.JNS13767. Epub 2014 Mar 28.

引用本文的文献

1
Management of skull base meningiomas with extracranial extension: resection, recurrence, and prognostic factors.颅底脑膜瘤伴颅外扩展的治疗:切除、复发及预后因素
J Neurooncol. 2025 Jun 19. doi: 10.1007/s11060-025-05111-z.
2
Risk factors on surgical compliance and its impact on survival outcomes in meningioma patients: a SEER-based retrospective propensity-score matched analysis.基于 SEER 的回顾性倾向评分匹配分析:脑膜瘤患者手术依从性的影响因素及其对生存结局的影响。
BMC Surg. 2024 Jan 30;24(1):39. doi: 10.1186/s12893-024-02326-1.
3
Extracranial Meningioma En Plaque With Skull Invasion.

本文引用的文献

1
Clinial Features, Individualized Treatment and Long-Term Surgical Outcomes of Skull Base Meningiomas With Extracranial Extensions.颅底脑膜瘤伴颅外扩展的临床特征、个体化治疗及长期手术结果
Front Oncol. 2020 Jun 30;10:1054. doi: 10.3389/fonc.2020.01054. eCollection 2020.
2
Cranio-Orbital and Orbitocranial Approaches to Orbital and Intracranial Disease: Eye-Opening Approaches for Neurosurgeons.颅眶及眶颅入路治疗眼眶及颅内疾病:神经外科医生的开拓性入路
Front Surg. 2020 Feb 7;7:1. doi: 10.3389/fsurg.2020.00001. eCollection 2020.
3
CBTRUS Statistical Report: Primary Brain and Other Central Nervous System Tumors Diagnosed in the United States in 2012-2016.
颅外板层状脑膜瘤伴颅骨侵犯。
Cureus. 2023 Dec 13;15(12):e50490. doi: 10.7759/cureus.50490. eCollection 2023 Dec.
4
Preoperative surgical risk assessment of meningiomas: a narrative review based on MRI radiomics.脑膜瘤的术前手术风险评估:基于 MRI 放射组学的叙述性综述。
Neurosurg Rev. 2022 Dec 28;46(1):29. doi: 10.1007/s10143-022-01937-7.
美国 2012-2016 年诊断的原发性脑和其他中枢神经系统肿瘤 CBTRUS 统计报告。
Neuro Oncol. 2019 Nov 1;21(Suppl 5):v1-v100. doi: 10.1093/neuonc/noz150.
4
Skull base versus non-skull base meningioma surgery in the elderly.老年人颅底与非颅底脑膜瘤手术比较。
Neurosurg Rev. 2019 Dec;42(4):961-972. doi: 10.1007/s10143-018-1005-6. Epub 2018 Jul 5.
5
Meningiomas: skull base versus non-skull base.脑膜瘤:颅底与非颅底
Neurosurg Rev. 2019 Mar;42(1):163-173. doi: 10.1007/s10143-018-0976-7. Epub 2018 Apr 7.
6
Endoscopic Endonasal Craniofacial Surgery for Recurrent Skull Base Meningiomas Involving the Pterygopalatine Fossa, the Infratemporal Fossa, the Orbit, and the Paranasal Sinus.经鼻内镜颅面手术治疗累及翼腭窝、颞下窝、眼眶及鼻窦的复发性颅底脑膜瘤
World Neurosurg. 2018 Apr;112:e302-e312. doi: 10.1016/j.wneu.2018.01.041. Epub 2018 Jan 12.
7
Spheno-Orbital Meningiomas Surgery: Multicenter Management Study for Complex Extensive Tumors.蝶眶脑膜瘤手术:复杂广泛性肿瘤的多中心管理研究
World Neurosurg. 2018 Apr;112:e145-e156. doi: 10.1016/j.wneu.2017.12.182. Epub 2018 Jan 6.
8
Imaging characteristics and surgical treatment of invasive meningioma.侵袭性脑膜瘤的影像学特征及手术治疗
Oncol Lett. 2017 May;13(5):2965-2970. doi: 10.3892/ol.2017.5833. Epub 2017 Mar 9.
9
CBTRUS Statistical Report: Primary Brain and Other Central Nervous System Tumors Diagnosed in the United States in 2009-2013.CBTRUS统计报告:2009 - 2013年美国原发性脑和其他中枢神经系统肿瘤诊断情况
Neuro Oncol. 2016 Oct 1;18(suppl_5):v1-v75. doi: 10.1093/neuonc/now207.
10
Sphenoorbital meningioma: surgical series and design of an intraoperative management algorithm.蝶眶脑膜瘤:手术病例系列及术中管理算法设计
Neurosurg Rev. 2018 Jan;41(1):291-301. doi: 10.1007/s10143-017-0855-7. Epub 2017 May 4.