• 文献检索
  • 文档翻译
  • 深度研究
  • 学术资讯
  • Suppr Zotero 插件Zotero 插件
  • 邀请有礼
  • 套餐&价格
  • 历史记录
应用&插件
Suppr Zotero 插件Zotero 插件浏览器插件Mac 客户端Windows 客户端微信小程序
定价
高级版会员购买积分包购买API积分包
服务
文献检索文档翻译深度研究API 文档MCP 服务
关于我们
关于 Suppr公司介绍联系我们用户协议隐私条款
关注我们

Suppr 超能文献

核心技术专利:CN118964589B侵权必究
粤ICP备2023148730 号-1Suppr @ 2026

文献检索

告别复杂PubMed语法,用中文像聊天一样搜索,搜遍4000万医学文献。AI智能推荐,让科研检索更轻松。

立即免费搜索

文件翻译

保留排版,准确专业,支持PDF/Word/PPT等文件格式,支持 12+语言互译。

免费翻译文档

深度研究

AI帮你快速写综述,25分钟生成高质量综述,智能提取关键信息,辅助科研写作。

立即免费体验

鉴定一种新型查尔酮衍生物,该衍生物能抑制 T 细胞急性淋巴细胞白血病中的 Notch 信号通路。

Identification of a novel chalcone derivative that inhibits Notch signaling in T-cell acute lymphoblastic leukemia.

机构信息

Center for Life Nano Science@Sapienza, Istituto Italiano di Tecnologia, Rome, 00161, Italy.

Department of Molecular Medicine, Sapienza University of Rome, Rome, 00161, Italy.

出版信息

Sci Rep. 2017 May 19;7(1):2213. doi: 10.1038/s41598-017-02316-9.

DOI:10.1038/s41598-017-02316-9
PMID:28526832
原文链接:https://pmc.ncbi.nlm.nih.gov/articles/PMC5438367/
Abstract

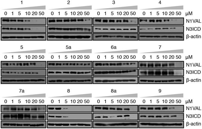
Notch signaling is considered a rational target in the therapy of several cancers, particularly those harbouring Notch gain of function mutations, including T-cell acute lymphoblastic leukemia (T-ALL). Although currently available Notch-blocking agents are showing anti-tumor activity in preclinical studies, they are not effective in all the patients and often cause severe side-effects, limiting their widespread therapeutic use. Here, by functional and biological analysis of the most representative molecules of an in house library of natural products, we have designed and synthetized the chalcone-derivative 8 possessing Notch inhibitory activity at low micro molar concentration in T-ALL cell lines. Structure-activity relationships were afforded for the chalcone scaffold. Short term treatments with compound 8 resulted in a dose-dependent decrease of Notch signaling activity, halted cell cycle progression and induced apoptosis, thus affecting leukemia cell growth. Taken together, our data indicate that 8 is a novel Notch inhibitor, candidate for further investigation and development as an additional therapeutic option against Notch-dependent cancers.

摘要

Notch 信号通路被认为是多种癌症治疗的合理靶点,特别是那些具有 Notch 功能获得性突变的癌症,包括 T 细胞急性淋巴细胞白血病(T-ALL)。尽管目前可用的 Notch 阻断剂在临床前研究中显示出抗肿瘤活性,但它们并非对所有患者都有效,而且经常会引起严重的副作用,限制了它们的广泛治疗用途。在这里,我们通过对天然产物内部文库中最具代表性的分子进行功能和生物学分析,设计并合成了查尔酮衍生物 8,该化合物在 T-ALL 细胞系中以低微摩尔浓度具有 Notch 抑制活性。我们还对查尔酮支架进行了结构活性关系研究。短期用化合物 8 处理会导致 Notch 信号通路活性呈剂量依赖性下降,阻止细胞周期进程并诱导细胞凋亡,从而影响白血病细胞的生长。综上所述,我们的数据表明,8 是一种新型的 Notch 抑制剂,可进一步研究和开发,作为对抗 Notch 依赖性癌症的另一种治疗选择。

https://cdn.ncbi.nlm.nih.gov/pmc/blobs/a8ba/5438367/93b52453a5d9/41598_2017_2316_Fig8_HTML.jpg
https://cdn.ncbi.nlm.nih.gov/pmc/blobs/a8ba/5438367/2afcde8e5743/41598_2017_2316_Fig1_HTML.jpg
https://cdn.ncbi.nlm.nih.gov/pmc/blobs/a8ba/5438367/bc93c48d13c5/41598_2017_2316_Fig2_HTML.jpg
https://cdn.ncbi.nlm.nih.gov/pmc/blobs/a8ba/5438367/9ad08406f794/41598_2017_2316_Fig3_HTML.jpg
https://cdn.ncbi.nlm.nih.gov/pmc/blobs/a8ba/5438367/cc326579e81b/41598_2017_2316_Fig4_HTML.jpg
https://cdn.ncbi.nlm.nih.gov/pmc/blobs/a8ba/5438367/bc714acced5f/41598_2017_2316_Fig5_HTML.jpg
https://cdn.ncbi.nlm.nih.gov/pmc/blobs/a8ba/5438367/9f10b53991d4/41598_2017_2316_Fig6_HTML.jpg
https://cdn.ncbi.nlm.nih.gov/pmc/blobs/a8ba/5438367/f6acef2970a2/41598_2017_2316_Fig7_HTML.jpg
https://cdn.ncbi.nlm.nih.gov/pmc/blobs/a8ba/5438367/93b52453a5d9/41598_2017_2316_Fig8_HTML.jpg
https://cdn.ncbi.nlm.nih.gov/pmc/blobs/a8ba/5438367/2afcde8e5743/41598_2017_2316_Fig1_HTML.jpg
https://cdn.ncbi.nlm.nih.gov/pmc/blobs/a8ba/5438367/bc93c48d13c5/41598_2017_2316_Fig2_HTML.jpg
https://cdn.ncbi.nlm.nih.gov/pmc/blobs/a8ba/5438367/9ad08406f794/41598_2017_2316_Fig3_HTML.jpg
https://cdn.ncbi.nlm.nih.gov/pmc/blobs/a8ba/5438367/cc326579e81b/41598_2017_2316_Fig4_HTML.jpg
https://cdn.ncbi.nlm.nih.gov/pmc/blobs/a8ba/5438367/bc714acced5f/41598_2017_2316_Fig5_HTML.jpg
https://cdn.ncbi.nlm.nih.gov/pmc/blobs/a8ba/5438367/9f10b53991d4/41598_2017_2316_Fig6_HTML.jpg
https://cdn.ncbi.nlm.nih.gov/pmc/blobs/a8ba/5438367/f6acef2970a2/41598_2017_2316_Fig7_HTML.jpg
https://cdn.ncbi.nlm.nih.gov/pmc/blobs/a8ba/5438367/93b52453a5d9/41598_2017_2316_Fig8_HTML.jpg

相似文献

1
Identification of a novel chalcone derivative that inhibits Notch signaling in T-cell acute lymphoblastic leukemia.鉴定一种新型查尔酮衍生物,该衍生物能抑制 T 细胞急性淋巴细胞白血病中的 Notch 信号通路。
Sci Rep. 2017 May 19;7(1):2213. doi: 10.1038/s41598-017-02316-9.
2
Investigation of deregulated genes of Notch signaling pathway in human T cell acute lymphoblastic leukemia cell lines and clinical samples. Notch 信号通路失调基因在人 T 细胞急性淋巴细胞白血病细胞系和临床样本中的研究。
Mol Biol Rep. 2013 Oct;40(10):5531-40. doi: 10.1007/s11033-013-2654-8. Epub 2013 Aug 29.
3
Notch and NF-kB signaling pathways regulate miR-223/FBXW7 axis in T-cell acute lymphoblastic leukemia.Notch 和 NF-κB 信号通路调节 T 细胞急性淋巴细胞白血病中的 miR-223/FBXW7 轴。
Leukemia. 2014 Dec;28(12):2324-35. doi: 10.1038/leu.2014.133. Epub 2014 Apr 14.
4
Notch signaling as a therapeutic target for acute lymphoblastic leukemia.Notch 信号通路作为急性淋巴细胞白血病的治疗靶点。
Expert Opin Ther Targets. 2018 Apr;22(4):331-342. doi: 10.1080/14728222.2018.1451840. Epub 2018 Mar 21.
5
PI3K/mTOR inhibition upregulates NOTCH-MYC signalling leading to an impaired cytotoxic response.PI3K/mTOR 抑制上调 NOTCH-MYC 信号通路导致细胞毒性反应受损。
Leukemia. 2013 Mar;27(3):650-60. doi: 10.1038/leu.2012.285. Epub 2012 Oct 5.
6
Epigenetic inactivation of Notch-Hes pathway in human B-cell acute lymphoblastic leukemia.Notch-Hes 通路在人类 B 细胞急性淋巴细胞白血病中的表观遗传失活。
PLoS One. 2013 Apr 26;8(4):e61807. doi: 10.1371/journal.pone.0061807. Print 2013.
7
Tetramethoxychalcone, a chalcone derivative, suppresses proliferation, blocks cell cycle progression, and induces apoptosis of human ovarian cancer cells.四甲氧基查耳酮,一种查耳酮衍生物,可抑制人卵巢癌细胞的增殖,阻断细胞周期进程,并诱导其凋亡。
PLoS One. 2014 Sep 2;9(9):e106206. doi: 10.1371/journal.pone.0106206. eCollection 2014.
8
Sirtuin 1 Activation Suppresses the Growth of T-lymphoblastic Leukemia Cells by Inhibiting NOTCH and NF-κB Pathways.Sirtuin 1 激活通过抑制 NOTCH 和 NF-κB 通路抑制 T 淋巴细胞白血病细胞的生长。
Anticancer Res. 2020 Jun;40(6):3155-3161. doi: 10.21873/anticanres.14297.
9
Evaluation of selective gamma-secretase inhibitor PF-03084014 for its antitumor efficacy and gastrointestinal safety to guide optimal clinical trial design.评估选择性 γ-分泌酶抑制剂 PF-03084014 的抗肿瘤疗效和胃肠道安全性,以指导最佳临床试验设计。
Mol Cancer Ther. 2010 Jun;9(6):1618-28. doi: 10.1158/1535-7163.MCT-10-0034. Epub 2010 Jun 8.
10
Pharmacological disruption of the Notch transcription factor complex.药理学破坏 Notch 转录因子复合物。
Proc Natl Acad Sci U S A. 2020 Jul 14;117(28):16292-16301. doi: 10.1073/pnas.1922606117. Epub 2020 Jun 29.

引用本文的文献

1
Design and synthesis of novel chloropyridazine hybrids as promising anticancer agents acting by apoptosis induction and PARP-1 inhibition through a molecular hybridization strategy.通过分子杂交策略设计并合成新型氯哒嗪杂化物,作为有前景的抗癌药物,通过诱导凋亡和抑制PARP-1发挥作用。
RSC Med Chem. 2024 Feb 6;15(3):981-997. doi: 10.1039/d3md00751k. eCollection 2024 Mar 20.
2
Selection of Natural Compounds with HMGA-Interfering Activities and Cancer Cell Cytotoxicity.具有HMGA干扰活性和癌细胞细胞毒性的天然化合物的筛选。
ACS Omega. 2023 Aug 28;8(36):32424-32431. doi: 10.1021/acsomega.3c02043. eCollection 2023 Sep 12.
3

本文引用的文献

1
Inhibition of Hedgehog-dependent tumors and cancer stem cells by a newly identified naturally occurring chemotype.一种新发现的天然化学类型对Hedgehog依赖型肿瘤和癌症干细胞的抑制作用
Cell Death Dis. 2016 Sep 22;7(9):e2376. doi: 10.1038/cddis.2016.195.
2
Characterization of activating mutations of NOTCH3 in T-cell acute lymphoblastic leukemia and anti-leukemic activity of NOTCH3 inhibitory antibodies.T细胞急性淋巴细胞白血病中NOTCH3激活突变的特征及NOTCH3抑制性抗体的抗白血病活性
Oncogene. 2016 Nov 24;35(47):6077-6086. doi: 10.1038/onc.2016.133. Epub 2016 May 9.
3
Challenging Organic Syntheses and Pharmacological Applications of Natural Products and their Derivatives - Part II.
Identification of a Novel Curcumin Derivative Influencing Notch Pathway and DNA Damage as a Potential Therapeutic Agent in T-ALL.
鉴定一种影响Notch信号通路和DNA损伤的新型姜黄素衍生物作为T细胞急性淋巴细胞白血病的潜在治疗药物。
Cancers (Basel). 2022 Nov 24;14(23):5772. doi: 10.3390/cancers14235772.
4
Current Opportunities for Targeting Dysregulated Neurodevelopmental Signaling Pathways in Glioblastoma.胶质母细胞瘤中靶向失调神经发育信号通路的当前机会。
Cells. 2022 Aug 15;11(16):2530. doi: 10.3390/cells11162530.
5
Synthesis and Antiproliferative Activity of Novel Dehydroabietic Acid-Chalcone Hybrids.新型去氢枞酸-查尔酮杂合体的合成及抗增殖活性。
Molecules. 2022 Jun 5;27(11):3623. doi: 10.3390/molecules27113623.
6
The Triprenylated Anthranoid Ferruginin A, a Promising Scaffold for the Development of Novel Antibiotics against Gram-Positive Bacteria.三异戊烯基蒽醌铁红菌素A,一种开发新型抗革兰氏阳性菌抗生素的有前景的骨架。
Antibiotics (Basel). 2022 Jan 11;11(1):84. doi: 10.3390/antibiotics11010084.
7
Identification of Effective Anticancer G-Quadruplex-Targeting Chemotypes through the Exploration of a High Diversity Library of Natural Compounds.通过探索天然化合物的高多样性文库鉴定有效的抗癌 G-四链体靶向化学类型。
Pharmaceutics. 2021 Oct 3;13(10):1611. doi: 10.3390/pharmaceutics13101611.
8
Targeting Notch to Maximize Chemotherapeutic Benefits: Rationale, Advanced Strategies, and Future Perspectives.靶向Notch以最大化化疗益处:理论依据、先进策略及未来展望。
Cancers (Basel). 2021 Oct 12;13(20):5106. doi: 10.3390/cancers13205106.
9
Notch Signalling in Breast Development and Cancer.Notch信号通路在乳腺发育和癌症中的作用
Front Cell Dev Biol. 2021 Jul 6;9:692173. doi: 10.3389/fcell.2021.692173. eCollection 2021.
10
Molecular Mechanisms of Antiproliferative Effects of Natural Chalcones.天然查尔酮抗增殖作用的分子机制
Cancers (Basel). 2021 May 31;13(11):2730. doi: 10.3390/cancers13112730.
天然产物及其衍生物的具有挑战性的有机合成与药理应用 - 第二部分。
Curr Pharm Des. 2016;22(12):1559-60. doi: 10.2174/138161282212160329130153.
4
Yeast as a tool to select inhibitors of the cullin deneddylating enzyme Csn5.酵母作为筛选泛素连接酶Csn5去泛素化酶抑制剂的工具。
J Enzyme Inhib Med Chem. 2016 Dec;31(6):1632-7. doi: 10.3109/14756366.2016.1160901. Epub 2016 Mar 30.
5
Butein inhibits cell proliferation and induces cell cycle arrest in acute lymphoblastic leukemia via FOXO3a/p27kip1 pathway.紫铆因通过FOXO3a/p27kip1通路抑制急性淋巴细胞白血病细胞的增殖并诱导细胞周期停滞。
Oncotarget. 2016 Apr 5;7(14):18651-64. doi: 10.18632/oncotarget.7624.
6
Prolyl-isomerase Pin1 controls Notch3 protein expression and regulates T-ALL progression.脯氨酰异构酶Pin1控制Notch3蛋白表达并调节T细胞急性淋巴细胞白血病的进展。
Oncogene. 2016 Sep 8;35(36):4741-51. doi: 10.1038/onc.2016.5. Epub 2016 Feb 15.
7
One Hundred Faces of Cyclopamine.环杷明的百面之观
Curr Pharm Des. 2016;22(12):1658-81. doi: 10.2174/1381612822666160112130157.
8
Editorial: Challenging Organic Syntheses and Pharmacological Applications of Natural Products and their Derivatives.社论:天然产物及其衍生物具有挑战性的有机合成与药理应用
Curr Pharm Des. 2015;21(38):5451-2. doi: 10.2174/138161282138151112192352.
9
Targeting Notch, Hedgehog, and Wnt pathways in cancer stem cells: clinical update.靶向癌症干细胞中的Notch、Hedgehog和Wnt信号通路:临床进展
Nat Rev Clin Oncol. 2015 Aug;12(8):445-64. doi: 10.1038/nrclinonc.2015.61. Epub 2015 Apr 7.
10
NMR spectroscopic method for the assignment of 3,5-dioxygenated aromatic rings in natural products.NMR 光谱法在天然产物中 3,5-二氧代芳环的分配。
J Nat Prod. 2015 Apr 24;78(4):705-11. doi: 10.1021/np5008679. Epub 2015 Mar 31.