Suppr超能文献

用阿那白滞素治疗慢性自身免疫性脑膜脑炎和周期性发热综合征。

Chronic Autoimmune Meningoencephalitis and Periodic Fever Syndrome Treated with Anakinra.

作者信息

Novroski Alyssa-Rae, Baldwin Kelly J

机构信息

Department of Neurology, Geisinger Medical Center, Danville, Pennsylvania, USA.

出版信息

Case Rep Neurol. 2017 May 5;9(1):91-97. doi: 10.1159/000472147. eCollection 2017 Jan-Apr.

Abstract

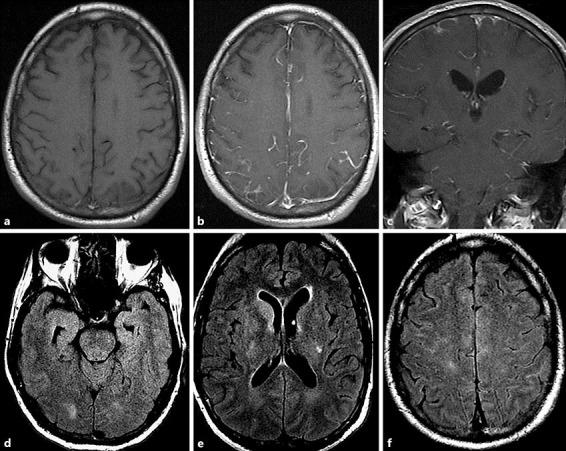
We report the case of a 63-year-old male diagnosed with chronic autoimmune mediated meningoencephalitis and periodic cyclical fever syndrome. After 2 years of failed conventional treatment and recurrent hospitalizations, anakinra treatment (an interleukin-1 [IL-1] receptor antagonist) was trialed which resulted in full recovery. As evidenced by this case, anakinra can be used to treat chronic autoimmune meningitis, which can often be refractory to treatment.

摘要

我们报告了一例63岁男性患者,诊断为慢性自身免疫介导的脑膜脑炎和周期性循环发热综合征。在传统治疗失败且反复住院2年后,试用了阿那白滞素治疗(一种白细胞介素-1 [IL-1] 受体拮抗剂),结果患者完全康复。以此病例为证,阿那白滞素可用于治疗慢性自身免疫性脑膜炎,而这种疾病通常治疗困难。

https://cdn.ncbi.nlm.nih.gov/pmc/blobs/e25d/5437444/cee0cb479037/crn-0009-0091-g01.jpg

相似文献

1
Chronic Autoimmune Meningoencephalitis and Periodic Fever Syndrome Treated with Anakinra.
Case Rep Neurol. 2017 May 5;9(1):91-97. doi: 10.1159/000472147. eCollection 2017 Jan-Apr.
3
Treatment with anakinra in the hyperimmunoglobulinemia D/periodic fever syndrome.
Rheumatol Int. 2006 Nov;27(1):97-100. doi: 10.1007/s00296-006-0164-x. Epub 2006 Jul 27.
6
Interleukin-1 receptor antagonist (anakinra) for Schnitzler syndrome.
J Dermatolog Treat. 2016 Oct;27(5):436-8. doi: 10.3109/09546634.2015.1136048. Epub 2016 Feb 10.
7
Cochlear implantation in a child with CINCA syndrome who also has wide vestibular aqueducts.
Cochlear Implants Int. 2012 Aug;13(3):173-6. doi: 10.1179/1754762811Y.0000000005. Epub 2011 Jun 29.
8
Anakinra for Recurrent Fevers in Systemic Lupus Erythematosus.
Cureus. 2018 Dec 27;10(12):e3782. doi: 10.7759/cureus.3782.
9
Ocular modifications in a young girl with cryopyrin-associated periodic syndromes responding to interleukin-1 receptor antagonist anakinra.
J Ophthalmic Inflamm Infect. 2011 Sep;1(3):133-6. doi: 10.1007/s12348-010-0018-2. Epub 2011 Apr 9.
10
Hydrocephalus in CINCA syndrome treated with anakinra.
Childs Nerv Syst. 2006 Apr;22(4):334-7. doi: 10.1007/s00381-006-1280-3. Epub 2006 Mar 9.

引用本文的文献

1
A Case of Primary Autoimmune Meningitis with Hydrocephalus.
Ann Indian Acad Neurol. 2023 Jul-Aug;26(4):583-585. doi: 10.4103/aian.aian_149_23. Epub 2023 Sep 11.
2
Meningoencephalitis associated with GAD65 autoimmunity.
Front Immunol. 2023 Mar 9;14:1120894. doi: 10.3389/fimmu.2023.1120894. eCollection 2023.
3
Immunotherapy for Refractory Autoimmune Encephalitis.
Front Immunol. 2021 Dec 16;12:790962. doi: 10.3389/fimmu.2021.790962. eCollection 2021.
4
Aseptic Μeningitis in Hereditary Autoinflammatory Diseases.
Cureus. 2020 May 22;12(5):e8244. doi: 10.7759/cureus.8244.

本文引用的文献

1
Evidence-based provisional clinical classification criteria for autoinflammatory periodic fevers.
Ann Rheum Dis. 2015 May;74(5):799-805. doi: 10.1136/annrheumdis-2014-206580. Epub 2015 Jan 30.
2
Evaluation and treatment of chronic meningitis.
Neurohospitalist. 2014 Oct;4(4):185-95. doi: 10.1177/1941874414528940.
3
Lighting the fires within: the cell biology of autoinflammatory diseases.
Nat Rev Immunol. 2012 Jul 25;12(8):570-80. doi: 10.1038/nri3261.

文献AI研究员

20分钟写一篇综述,助力文献阅读效率提升50倍。

立即体验

用中文搜PubMed

大模型驱动的PubMed中文搜索引擎

马上搜索

文档翻译

学术文献翻译模型,支持多种主流文档格式。

立即体验