Suppr超能文献

乳糜泻:从病理生理学到治疗

Celiac disease: From pathophysiology to treatment.

作者信息

Parzanese Ilaria, Qehajaj Dorina, Patrinicola Federica, Aralica Merica, Chiriva-Internati Maurizio, Stifter Sanja, Elli Luca, Grizzi Fabio

机构信息

Ilaria Parzanese, Luca Elli, Gastroenterology and Endoscopy Unit, Fondazione IRCCS Cà Granda, Ospedale Maggiore Policlinico, Department of Pathophysiology and Transplantation, University of Milan, 20122 Milano, Italy.

出版信息

World J Gastrointest Pathophysiol. 2017 May 15;8(2):27-38. doi: 10.4291/wjgp.v8.i2.27.

Abstract

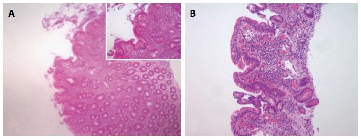
Celiac disease, also known as "celiac sprue", is a chronic inflammatory disorder of the small intestine, produced by the ingestion of dietary gluten products in susceptible people. It is a multifactorial disease, including genetic and environmental factors. Environmental trigger is represented by gluten while the genetic predisposition has been identified in the major histocompatibility complex region. Celiac disease is not a rare disorder like previously thought, with a global prevalence around 1%. The reason of its under-recognition is mainly referable to the fact that about half of affected people do not have the classic gastrointestinal symptoms, but they present nonspecific manifestations of nutritional deficiency or have no symptoms at all. Here we review the most recent data concerning epidemiology, pathogenesis, clinical presentation, available diagnostic tests and therapeutic management of celiac disease.

摘要

乳糜泻,也称为“麸质过敏性肠病”,是一种小肠慢性炎症性疾病,由易感人群摄入含麸质的饮食产品引起。它是一种多因素疾病,包括遗传和环境因素。环境触发因素是麸质,而遗传易感性已在主要组织相容性复合体区域中得到确认。乳糜泻并非像以前认为的那样是一种罕见疾病,全球患病率约为1%。其未被充分认识的原因主要是因为约一半的患者没有典型的胃肠道症状,而是表现为营养缺乏的非特异性表现或根本没有症状。在此,我们综述了有关乳糜泻的流行病学、发病机制、临床表现、现有诊断测试和治疗管理的最新数据。

https://cdn.ncbi.nlm.nih.gov/pmc/blobs/f48b/5437500/00f95f05e7e1/WJGP-8-27-g001.jpg

文献AI研究员

20分钟写一篇综述,助力文献阅读效率提升50倍。

立即体验

用中文搜PubMed

大模型驱动的PubMed中文搜索引擎

马上搜索

文档翻译

学术文献翻译模型,支持多种主流文档格式。

立即体验