Suppr超能文献

一名年轻患者中模拟单纯囊肿的卵巢腺肉瘤。

Ovarian adenosarcoma simulating a simple cyst in a young patient.

作者信息

da Fonseca Leonardo Gomes, Felipe-Silva Aloísio, da Silva Samanta Cabral Severino, Margarido Paulo Francisco Ramos, Abdo Elias, Hoff Paulo Marcelo Gehm

机构信息

Department of Clinical Oncology - Instituto do Câncer do Estado de São Paulo - São Paulo/SP - Brazil.

Anatomic Pathology Service - Hospital Universitário - Universidade de São Paulo, São Paulo/SP - Brazil.

出版信息

Autops Case Rep. 2014 Jun 30;4(2):55-60. doi: 10.4322/acr.2014.011. eCollection 2014 Apr-Jun.

Abstract

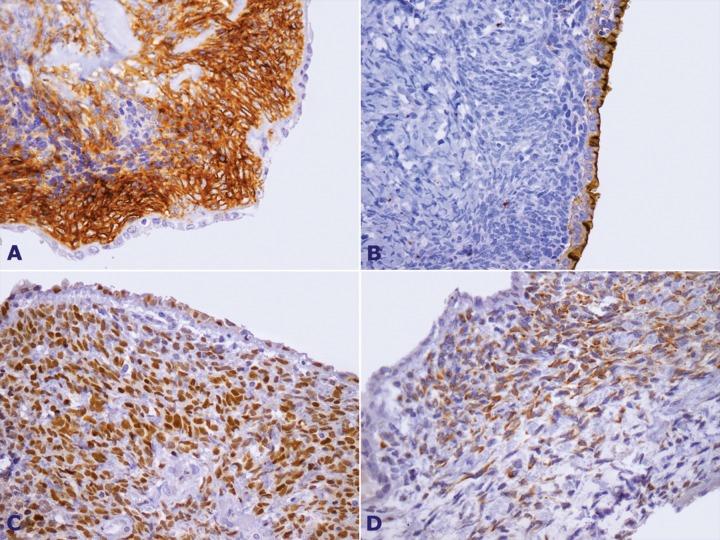
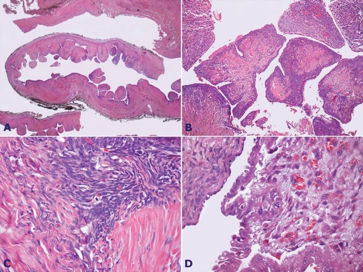
Müllerian adenosarcoma is a rare, mixed tumor that can occur throughout the female genital tract, but is most commonly found in the uterus. Ovarian adenosarcoma is rarer and has a poorer prognosis than uterine adenosarcoma. Data on the clinicopathological features of ovarian adenosarcoma are limited, and, due to its rarity, the management is controversial. The authors report a case of a 25-year-old patient who presented with recurrent abdominal pain. Sonography and laparotomy showed an ovarian cyst, and pathologic examination confirmed the diagnosis of cystic low-grade adenosarcoma. The patient remains free of recurrence 6 months after diagnosis. The authors call attention to the differential diagnosis of ovarian masses, especially in young patients, and to the lack of evidence on the management of this neoplasm in the literature.

摘要

苗勒管腺肉瘤是一种罕见的混合性肿瘤,可发生于女性生殖道的任何部位,但最常见于子宫。卵巢腺肉瘤更为罕见,预后比子宫腺肉瘤更差。关于卵巢腺肉瘤临床病理特征的数据有限,由于其罕见性,其治疗存在争议。作者报告了一例25岁反复腹痛的患者。超声检查和剖腹手术显示为卵巢囊肿,病理检查确诊为囊性低级别腺肉瘤。该患者诊断后6个月无复发。作者提醒注意卵巢肿物的鉴别诊断,尤其是年轻患者,同时也指出文献中缺乏关于该肿瘤治疗的证据。

https://cdn.ncbi.nlm.nih.gov/pmc/blobs/3ebf/5448303/4d8b9ee533f4/autopsy-04-02055-g01.jpg

文献检索

告别复杂PubMed语法,用中文像聊天一样搜索,搜遍4000万医学文献。AI智能推荐,让科研检索更轻松。

立即免费搜索

文件翻译

保留排版,准确专业,支持PDF/Word/PPT等文件格式,支持 12+语言互译。

免费翻译文档

深度研究

AI帮你快速写综述,25分钟生成高质量综述,智能提取关键信息,辅助科研写作。

立即免费体验