Suppr超能文献

Recurrent Lateral Ventricular Enterogenous Cyst: A Report of an Extreme Rare Case.

作者信息

Mondle Md Shamsuzzaman, Alam Md Shamsul, Ahmad Misbah Uddin, Yusuf Md Abdullah

机构信息

Department of Neurosurgery, Shaheed Taj Uddin Ahmed Medical College, Gazipur, Bangladesh.

Department of Neurosurgery, Bangabandhu Sheikh Mujib Medical University, Dhaka, Bangladesh.

出版信息

Case Rep Surg. 2017;2017:3098676. doi: 10.1155/2017/3098676. Epub 2017 May 18.

Abstract

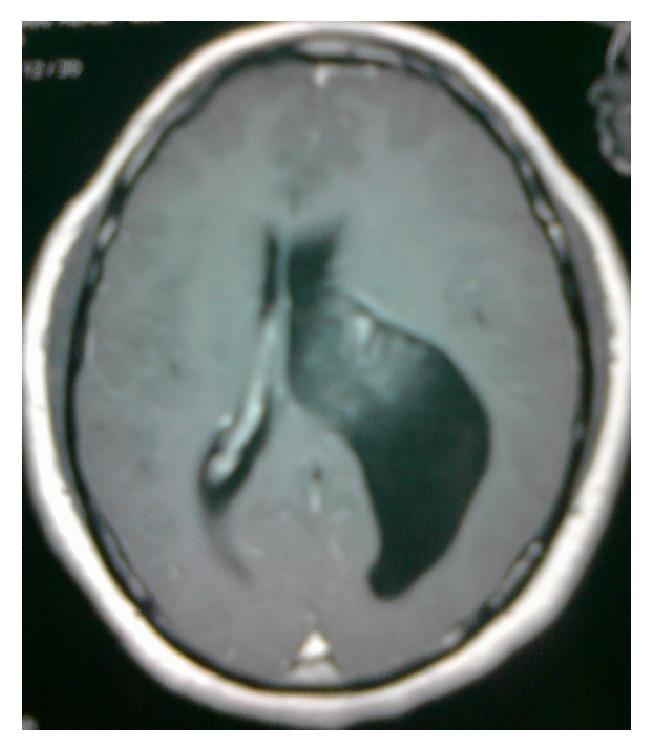
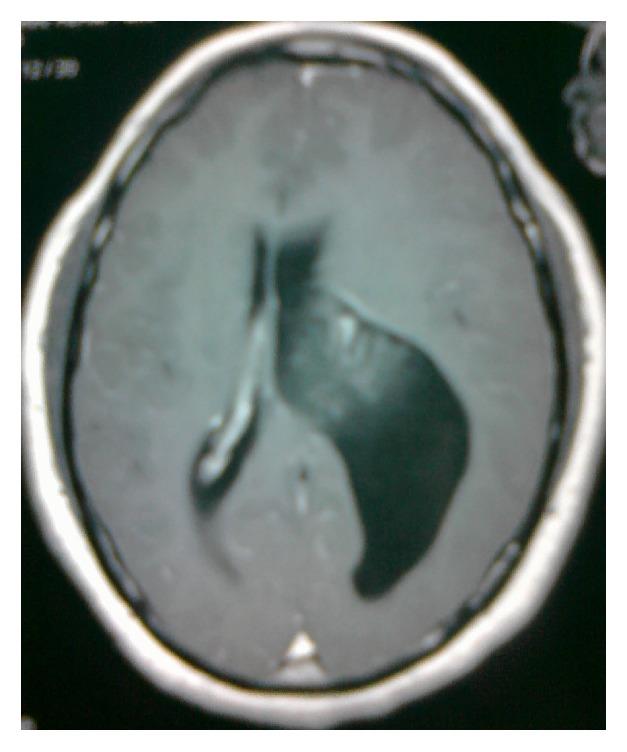
The patient was a 45-year-old man with a progressive headache. Evaluation in detail revealed it as a case of left lateral ventricular space occupying lesion (SOL) resembling choroid plexus papilloma. A left parietal craniotomy was done and the lesion was removed completely through intraparietal approach. Surgical removal resulted in complete symptomatic relief. Histopathology revealed that it was a case of the enterogenous cyst. One year after surgery, the patient again experienced the same symptom and the images revealed recurrence of the lesion. The patient has undergone 2nd surgery and histopathology was the same as before. The patient was given radiotherapy and now he is completely relieved and well. Although intracranial enterogenous cyst is not uncommon, intraventricular enterogenous cyst as well as recurrent intraventricular enterogenous cyst is a rare entity.

摘要
https://cdn.ncbi.nlm.nih.gov/pmc/blobs/3e73/5451783/d3fc39718674/CRIS2017-3098676.001.jpg

文献检索

告别复杂PubMed语法,用中文像聊天一样搜索,搜遍4000万医学文献。AI智能推荐,让科研检索更轻松。

立即免费搜索

文件翻译

保留排版,准确专业,支持PDF/Word/PPT等文件格式,支持 12+语言互译。

免费翻译文档

深度研究

AI帮你快速写综述,25分钟生成高质量综述,智能提取关键信息,辅助科研写作。

立即免费体验