Suppr超能文献

肝细胞癌肾转移灶自发性破裂

Spontaneous Rupture of Renal Metastasis from Hepatocellular Carcinoma.

作者信息

Kinoshita Osamu, Ichijo Yusuke, Yoneda Masayuki, Ikai Atsushi, Yamashita Tetsuro

机构信息

Department of Surgery, Maizuru Medical Center, Kyoto, Japan.

Department of Radiology, Kyoto Prefectural University of Medicine, Kyoto, Japan.

出版信息

Case Rep Surg. 2017;2017:8607061. doi: 10.1155/2017/8607061. Epub 2017 May 22.

Abstract

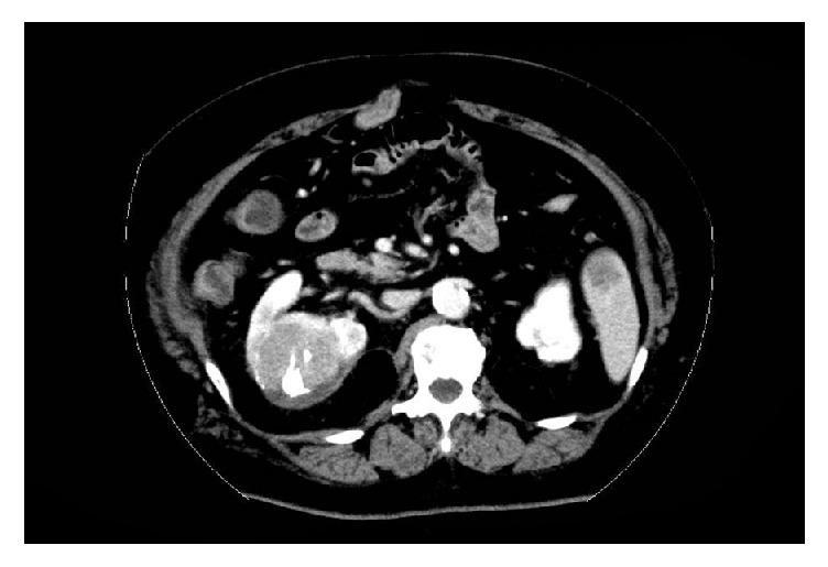
We report a rare life-threatening case of spontaneous rupture of renal metastasis from hepatocellular carcinoma (HCC) that was managed by emergent transcatheter arterial embolization (TAE). A 76-year-old woman diagnosed with HCC presented with acute back pain in her right side and was transferred to our hospital. Initial enhanced computed tomography revealed retroperitoneal hemorrhage from the right kidney, which was retrospectively diagnosed as a spontaneous rupture of the metastatic renal tumor from the primary HCC. Detailed examination identified an active retroperitoneal hemorrhage from the lesion and the patient's condition became hemodynamically unstable; hence emergent TAE was performed. The hospitalization period after the TAE was uneventful and sorafenib was subsequently administered. Unfortunately, two months after the TAE, the tumor locally progressed within the retroperitoneal space. Tumors were controlled by repeated TAE as the patient did not want to undergo a nephrectomy. Consequently, she survived for more than one year after emergent TAE, exhibiting low levels of tumor marker. After rupture of the metastatic renal HCC, tumors were expected to progress into the retroperitoneal space, and nephrectomy was the next possible radical treatment to offer the best chance of long-term disease control.

摘要

我们报告了一例罕见的、危及生命的肝细胞癌(HCC)肾转移灶自发性破裂病例,该病例通过紧急经导管动脉栓塞术(TAE)进行治疗。一名76岁被诊断为HCC的女性因右侧急性背痛就诊,并被转至我院。初次增强计算机断层扫描显示右肾腹膜后出血,经回顾性诊断为原发性HCC肾转移瘤自发性破裂。详细检查发现病灶处有活动性腹膜后出血,患者血流动力学不稳定;因此进行了紧急TAE。TAE术后住院期间情况平稳,随后给予索拉非尼治疗。不幸的是,TAE术后两个月,肿瘤在腹膜后间隙局部进展。由于患者不愿接受肾切除术,通过重复TAE控制了肿瘤。结果,她在紧急TAE术后存活了一年多,肿瘤标志物水平较低。肾转移性HCC破裂后,肿瘤预计会向腹膜后间隙进展,肾切除术是下一个可能的根治性治疗方法,有望提供最佳的长期疾病控制机会。

https://cdn.ncbi.nlm.nih.gov/pmc/blobs/21e1/5458372/ca40555bd510/CRIS2017-8607061.001.jpg

文献AI研究员

20分钟写一篇综述,助力文献阅读效率提升50倍。

立即体验

用中文搜PubMed

大模型驱动的PubMed中文搜索引擎

马上搜索

文档翻译

学术文献翻译模型,支持多种主流文档格式。

立即体验